相关产品推荐更多 >
万千商家帮你免费找货
0 人在求购买到急需产品
- 详细信息
- 文献和实验
- 技术资料
- 抗体名:
CHD4 (5F1) Mouse mAb抗体
- 抗体英文名:
CHD4 (5F1) Mouse mAb
- 靶点:
CHD4
- 浓度:
1 mg/ml
- 应用范围:
IP, WB
- 适应物种:
Human
- 保质期:
6-12个月
- 抗原来源:
详询
- 目录编号:
orb1563343
- 级别:
科研级
- 库存:
88
- 供应商:
biorbyt
- 标记物:
Unconjugated
- 克隆性:
Monoclonal
- 保存条件:
参考说明书
- 形态:
Liquid
- 亚型:
IgG2b
- 免疫原:
Purified recombinant human CHD4 protein fragments expressed in E.coli.
- 规格:
20 ul
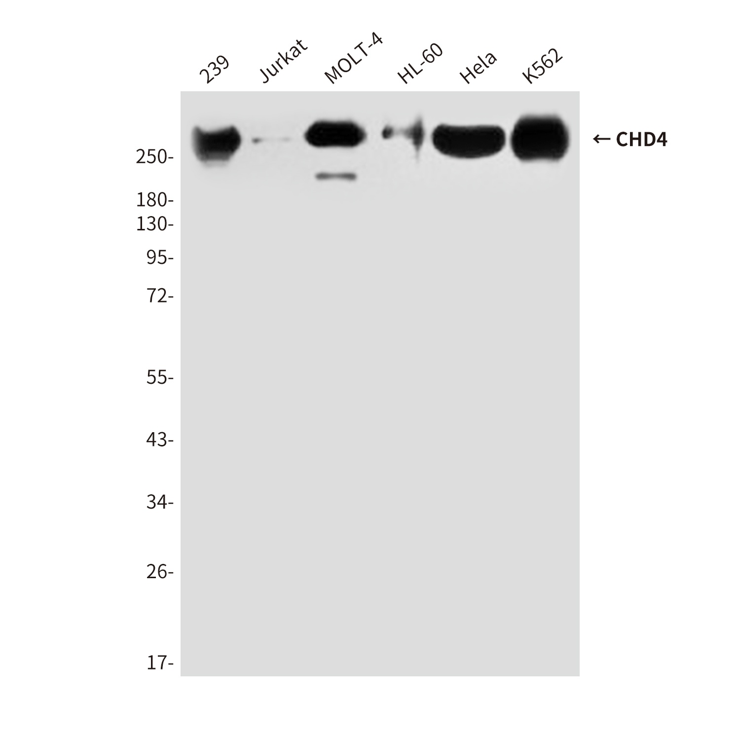
别名:CHD4; Chromodomain-helicase-DNA-binding protein 4; CHD-4; ATP-dependent helicase CHD4; Mi-2 autoantigen 218 kDa protein; Mi2-beta
免疫原:Purified recombinant human CHD4 protein fragments expressed in E.coli.
克隆性:5F1-A11-C9
分子量:Calculated MW: 218 kDa; Observed MW: 260 kDa
应用稀释比例:WB: 1/500-1/1000 IP: 1/20
防腐剂:Liquid in PBS containing 50% glycerol, 0.5% rAlbumin and 0.02% sodium azide, pH 7.3.
纯化:Affinity Purified
保存说明:Maintain refrigerated at 2-8°C for up to 2 weeks. For long term storage store at -20°C in small aliquots to prevent freeze-thaw cycles.
UniProt ID:Q14839
Note:For research use only.


风险提示:丁香通仅作为第三方平台,为商家信息发布提供平台空间。用户咨询产品时请注意保护个人信息及财产安全,合理判断,谨慎选购商品,商家和用户对交易行为负责。对于医疗器械类产品,请先查证核实企业经营资质和医疗器械产品注册证情况。
文献和实验Limited understanding of the mechanisms underlying self-renewal and differentiation of spermatogonial stem cells hampers our ability to develop new therapeutic and contraceptive approaches. Mouse models of spermatogonial stem cell development
Single Cell RT-PCR on Mouse Embryos: A General Approach for Developmental Biology
Preimplantation development is a complicated process, which involves many genes. We have investigated the expression patterns of 17 developmentally important genes and isoforms in early mouse embryos as well as in single cells of the mouse
1 个关键药物,实现小鼠全能干细胞体外捕获和长期维持,北大杜鹏 Cell 报道新技术
。最近的研究表明,剪接体也可以直接调控转录的起始、延伸和终止;除此之外,在许多不同的癌症中,几个关键剪接因子的突变在肿瘤发生中起着重要的作用。然而,剪接体在干细胞命运转变和早期胚胎发育中的可生理相关性尚不清楚。 2021 年 5 月 14 日,北京大学杜鹏等团队在国际顶级期刊 Cell 在线发表了题为 Mouse totipotent stem cells captured and maintained through spliceosomal repression 的研究性文章, 报道了小鼠
技术资料暂无技术资料 索取技术资料










