相关产品推荐更多 >
万千商家帮你免费找货
0 人在求购买到急需产品
- 详细信息
- 技术资料
- 抗体名:
Sortilin Rabbit mAb抗体
- 抗体英文名:
Sortilin Rabbit mAb
- 靶点:
SORT1
- 浓度:
0.3 mg/ml
- 应用范围:
IHC-P, WB
- 适应物种:
Human, Rat
- 保质期:
6-12个月
- 抗原来源:
详询
- 目录编号:
orb1563627
- 级别:
科研级
- 库存:
88
- 供应商:
biorbyt
- 标记物:
Unconjugated
- 克隆性:
Monoclonal
- 保存条件:
参考说明书
- 形态:
Liquid
- 亚型:
IgG
- 免疫原:
Recombinant protein of human Sortilin/NT3
- 规格:
20 ul
产品描述:Sortilin Rabbit mAb
别名:100 kDa NT receptor; Glycoprotein 95; Gp95; LDLCQ6; Neurotensin receptor 3; NT3; NTR3; SORT 1; Sortilin 1
免疫原:Recombinant protein of human Sortilin/NT3
克隆性:R02-6B4
分子量:Calculated MW: 92 kDa; Observed MW: 92 kDa
应用稀释比例:WB: 1/500-1/1000 IHC: 1/50-1/100
防腐剂:50mM Tris-Glycine(pH 7.4), 0.15M NaCl, 40%Glycerol, 0.01% sodium azide and 0.05% rAlbumin.
纯化:Affinity Purified
保存说明:Maintain refrigerated at 2-8°C for up to 2 weeks. For long term storage store at -20°C in small aliquots to prevent freeze-thaw cycles.
UniProt ID:Q99523
Note:For research use only.



别名:100 kDa NT receptor; Glycoprotein 95; Gp95; LDLCQ6; Neurotensin receptor 3; NT3; NTR3; SORT 1; Sortilin 1
免疫原:Recombinant protein of human Sortilin/NT3
克隆性:R02-6B4
分子量:Calculated MW: 92 kDa; Observed MW: 92 kDa
应用稀释比例:WB: 1/500-1/1000 IHC: 1/50-1/100
防腐剂:50mM Tris-Glycine(pH 7.4), 0.15M NaCl, 40%Glycerol, 0.01% sodium azide and 0.05% rAlbumin.
纯化:Affinity Purified
保存说明:Maintain refrigerated at 2-8°C for up to 2 weeks. For long term storage store at -20°C in small aliquots to prevent freeze-thaw cycles.
UniProt ID:Q99523
Note:For research use only.

Western blot analysis of Sortilin/NT3 in C6 lysates using Sortilin antibody.

Western blot analysis of Sortilin/NT3 in Hela, A549, MCF-7 lysates using Sortilin/NT3 antibody.

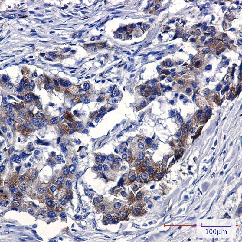
Immunohistochemistry analysis of paraffin-embedded Human lung cancer using Sortilin/NT3 antibody. High-pressure and temperature Sodium Citrate pH 6.0 was used for antigen retrieval.
风险提示:丁香通仅作为第三方平台,为商家信息发布提供平台空间。用户咨询产品时请注意保护个人信息及财产安全,合理判断,谨慎选购商品,商家和用户对交易行为负责。对于医疗器械类产品,请先查证核实企业经营资质和医疗器械产品注册证情况。
技术资料暂无技术资料 索取技术资料
Sortilin Rabbit mAb抗体,orb1563627,biorbyt
¥1560










