相关产品推荐更多 >
万千商家帮你免费找货
0 人在求购买到急需产品
- 详细信息
- 技术资料
- 抗体名:
Citrate Synthetase Rabbit mAb抗体
- 抗体英文名:
Citrate Synthetase Rabbit mAb
- 靶点:
CS
- 浓度:
0.3 mg/ml
- 应用范围:
ICC, IF, IHC-Fr, IHC-P, IP, WB
- 适应物种:
Human, Rat
- 保质期:
6-12个月
- 抗原来源:
详询
- 目录编号:
orb1563904
- 级别:
科研级
- 库存:
88
- 供应商:
biorbyt
- 标记物:
Unconjugated
- 克隆性:
Monoclonal
- 保存条件:
参考说明书
- 形态:
Liquid
- 亚型:
IgG
- 免疫原:
A synthetic peptide of human Citrate synthetase
- 规格:
20 ul
产品描述:Citrate Synthetase Rabbit mAb
别名:Citrate synthase; Citrate synthase; mitochondrial; Cs
免疫原:A synthetic peptide of human Citrate synthetase
克隆性:R08-4I1
分子量:Calculated MW: 52 kDa; Observed MW: 45 kDa
应用稀释比例:WB: 1/500-1/1000 IHC: 1/50-1/100 IF: 1/50-1/200 IP: 1/20
防腐剂:50mM Tris-Glycine(pH 7.4), 0.15M NaCl, 40%Glycerol, 0.01% sodium azide and 0.05% rAlbumin.
纯化:Affinity Purified
保存说明:Maintain refrigerated at 2-8°C for up to 2 weeks. For long term storage store at -20°C in small aliquots to prevent freeze-thaw cycles.
UniProt ID:O75390
Note:For research use only.



别名:Citrate synthase; Citrate synthase; mitochondrial; Cs
免疫原:A synthetic peptide of human Citrate synthetase
克隆性:R08-4I1
分子量:Calculated MW: 52 kDa; Observed MW: 45 kDa
应用稀释比例:WB: 1/500-1/1000 IHC: 1/50-1/100 IF: 1/50-1/200 IP: 1/20
防腐剂:50mM Tris-Glycine(pH 7.4), 0.15M NaCl, 40%Glycerol, 0.01% sodium azide and 0.05% rAlbumin.
纯化:Affinity Purified
保存说明:Maintain refrigerated at 2-8°C for up to 2 weeks. For long term storage store at -20°C in small aliquots to prevent freeze-thaw cycles.
UniProt ID:O75390
Note:For research use only.

Immunocytochemistry analysis of Citrate Synthetase (green) in Hela using Citrate Synthetase antibody, and DAPI (blue).

Western blot analysis of Citrate synthetase in U2OS, C6 lysates using Citrate synthetase antibody.

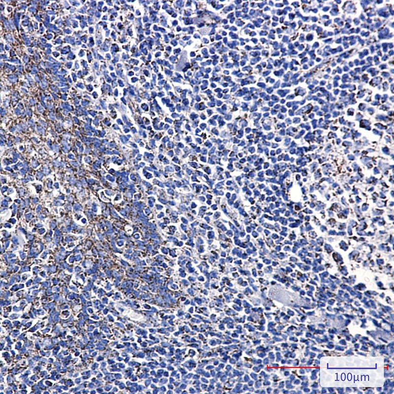
Immunohistochemistry analysis of paraffin-embedded Human tonsil using Citrate synthetase antibody. High-pressure and temperature Sodium Citrate pH 6.0 was used for antigen retrieval.
风险提示:丁香通仅作为第三方平台,为商家信息发布提供平台空间。用户咨询产品时请注意保护个人信息及财产安全,合理判断,谨慎选购商品,商家和用户对交易行为负责。对于医疗器械类产品,请先查证核实企业经营资质和医疗器械产品注册证情况。
技术资料暂无技术资料 索取技术资料
Citrate Synthetase Rabbit mAb抗体,orb1563904,biorbyt
¥1560









