相关产品推荐更多 >
万千商家帮你免费找货
0 人在求购买到急需产品
- 详细信息
- 文献和实验
- 技术资料
- 抗体名:
delta 1 Catenin Rabbit mAb抗体
- 抗体英文名:
delta 1 Catenin Rabbit mAb
- 靶点:
CTNND1
- 浓度:
0.3 mg/ml
- 应用范围:
IHC-P, IP, WB
- 适应物种:
Human, Mouse, Rat
- 保质期:
6-12个月
- 抗原来源:
详询
- 目录编号:
orb1564994
- 级别:
科研级
- 库存:
88
- 供应商:
biorbyt
- 标记物:
Unconjugated
- 克隆性:
Monoclonal
- 保存条件:
参考说明书
- 形态:
Liquid
- 亚型:
IgG
- 免疫原:
A synthetic peptide of human delta 1 Catenin
- 规格:
20 ul
产品描述:delta 1 Catenin Rabbit mAb
别名:CAS; p120; BCDS2; CTNND; P120CAS; P120CTN; p120(CAS); p120(CTN)
免疫原:A synthetic peptide of human delta 1 Catenin
克隆性:R01-4G3
分子量:Calculated MW: 108 kDa; Observed MW: 108 kDa
应用稀释比例:WB: 1/500-1/1000 IHC: 1/50-1/100 IP: 1/20
防腐剂:50mM Tris-Glycine(pH 7.4), 0.15M NaCl, 40%Glycerol, 0.01% sodium azide and 0.05% rAlbumin.
纯化:Affinity Purified
保存说明:Maintain refrigerated at 2-8°C for up to 2 weeks. For long term storage store at -20°C in small aliquots to prevent freeze-thaw cycles.
UniProt ID:O60716
Note:For research use only.


别名:CAS; p120; BCDS2; CTNND; P120CAS; P120CTN; p120(CAS); p120(CTN)
免疫原:A synthetic peptide of human delta 1 Catenin
克隆性:R01-4G3
分子量:Calculated MW: 108 kDa; Observed MW: 108 kDa
应用稀释比例:WB: 1/500-1/1000 IHC: 1/50-1/100 IP: 1/20
防腐剂:50mM Tris-Glycine(pH 7.4), 0.15M NaCl, 40%Glycerol, 0.01% sodium azide and 0.05% rAlbumin.
纯化:Affinity Purified
保存说明:Maintain refrigerated at 2-8°C for up to 2 weeks. For long term storage store at -20°C in small aliquots to prevent freeze-thaw cycles.
UniProt ID:O60716
Note:For research use only.

Western blot analysis of delta 1 Catenin in C6, 3T3, Hela lysates using delta 1 Catenin antibody.

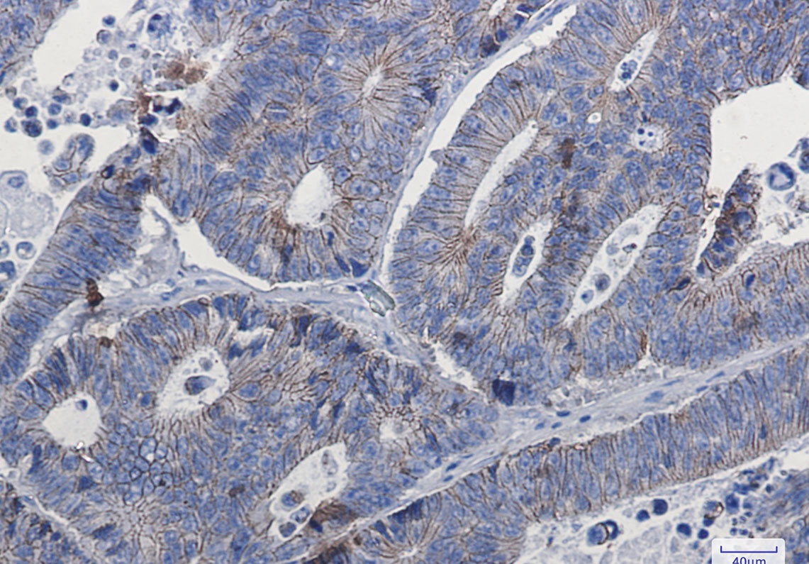
Immunohistochemistry analysis of paraffin-embedded Human colon cancer using delta 1 Catenin antibody. High-pressure and temperature Sodium Citrate pH 6.0 was used for antigen retrieval.
风险提示:丁香通仅作为第三方平台,为商家信息发布提供平台空间。用户咨询产品时请注意保护个人信息及财产安全,合理判断,谨慎选购商品,商家和用户对交易行为负责。对于医疗器械类产品,请先查证核实企业经营资质和医疗器械产品注册证情况。
文献和实验相关实验
祝贺〖雅裕睿安〗成为Signalway Antibody(SAB)独家
祝贺〖上海雅裕 〗成为 Signalway Antibody 品牌 (SAB) 的独家总代理。 促销【 ABCD 】细则如下: 【 A 】 买两支 SAB 抗体免费获得 8G 优盘 活动时间:即日起,至 2011 年
技术资料暂无技术资料 索取技术资料
delta 1 Catenin Rabbit mAb抗体,orb1564994,biorbyt
¥1560











