相关产品推荐更多 >
万千商家帮你免费找货
0 人在求购买到急需产品
- 详细信息
- 文献和实验
- 技术资料
- 抗体名:
PBR Rabbit mAb抗体
- 抗体英文名:
PBR Rabbit mAb
- 靶点:
TSPO
- 浓度:
0.3 mg/ml
- 应用范围:
ICC, IF, IHC-Fr, IHC-P, IP, WB
- 适应物种:
Human, Mouse
- 保质期:
6-12个月
- 抗原来源:
详询
- 目录编号:
orb1565430
- 级别:
科研级
- 库存:
88
- 供应商:
biorbyt
- 标记物:
Unconjugated
- 克隆性:
Monoclonal
- 保存条件:
参考说明书
- 形态:
Liquid
- 亚型:
IgG
- 免疫原:
A synthetic peptide of human PBR
- 规格:
20 ul
产品描述:PBR Rabbit mAb
别名:TSPO; BZRP; MBR; Translocator protein; Mitochondrial benzodiazepine receptor; PKBS; Peripheral-type benzodiazepine receptor; PBR
免疫原:A synthetic peptide of human PBR
克隆性:R01-7E6
分子量:Calculated MW: 11 kDa; Observed MW: 19 kDa
应用稀释比例:WB: 1/500-1/1000 IHC: 1/50-1/100 IF: 1/50-1/200 IP: 1/20
防腐剂:50mM Tris-Glycine(pH 7.4), 0.15M NaCl, 40%Glycerol, 0.01% sodium azide and 0.05% rAlbumin.
纯化:Affinity Purified
保存说明:Maintain refrigerated at 2-8°C for up to 2 weeks. For long term storage store at -20°C in small aliquots to prevent freeze-thaw cycles.
UniProt ID:B1AH88
Note:For research use only.



别名:TSPO; BZRP; MBR; Translocator protein; Mitochondrial benzodiazepine receptor; PKBS; Peripheral-type benzodiazepine receptor; PBR
免疫原:A synthetic peptide of human PBR
克隆性:R01-7E6
分子量:Calculated MW: 11 kDa; Observed MW: 19 kDa
应用稀释比例:WB: 1/500-1/1000 IHC: 1/50-1/100 IF: 1/50-1/200 IP: 1/20
防腐剂:50mM Tris-Glycine(pH 7.4), 0.15M NaCl, 40%Glycerol, 0.01% sodium azide and 0.05% rAlbumin.
纯化:Affinity Purified
保存说明:Maintain refrigerated at 2-8°C for up to 2 weeks. For long term storage store at -20°C in small aliquots to prevent freeze-thaw cycles.
UniProt ID:B1AH88
Note:For research use only.

Western blot analysis of PBR/TSPO in 3T3, Hela lysates using PBR antibody.

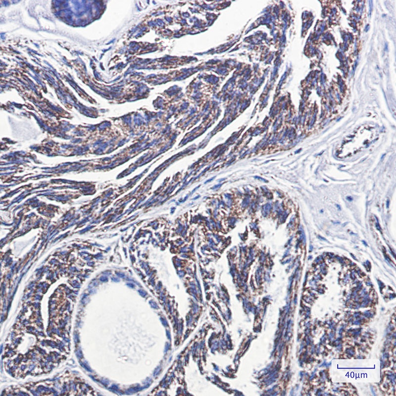
Immunohistochemistry analysis of paraffin-embedded Human breast cancer using PBR antibody. High-pressure and temperature Sodium Citrate pH 6.0 was used for antigen retrieval.

Immunocytochemistry analysis of PBR/TSPO (green) in Hela using PBR/TSPO antibody, and DAPI (blue).
风险提示:丁香通仅作为第三方平台,为商家信息发布提供平台空间。用户咨询产品时请注意保护个人信息及财产安全,合理判断,谨慎选购商品,商家和用户对交易行为负责。对于医疗器械类产品,请先查证核实企业经营资质和医疗器械产品注册证情况。
文献和实验相关实验
Not only that, but such large DNA fragments are not well tolerated in typical E. coli cloning vectors such as pBR322. Bacteriophage lambda vectors are commonly used for construction of genomic libraries Bacteriophage l is an E. coli phage with a type
技术资料暂无技术资料 索取技术资料
PBR Rabbit mAb抗体,orb1565430,biorbyt
¥1560










