相关产品推荐更多 >
万千商家帮你免费找货
0 人在求购买到急需产品
- 详细信息
- 文献和实验
- 技术资料
- 抗体名:
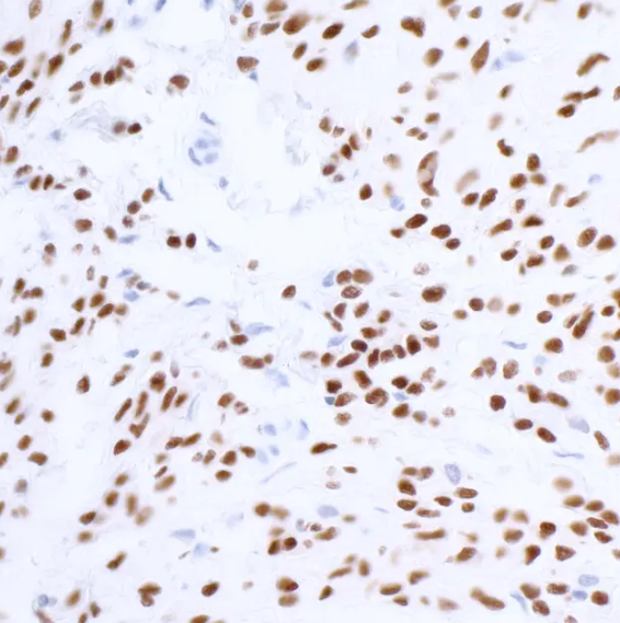
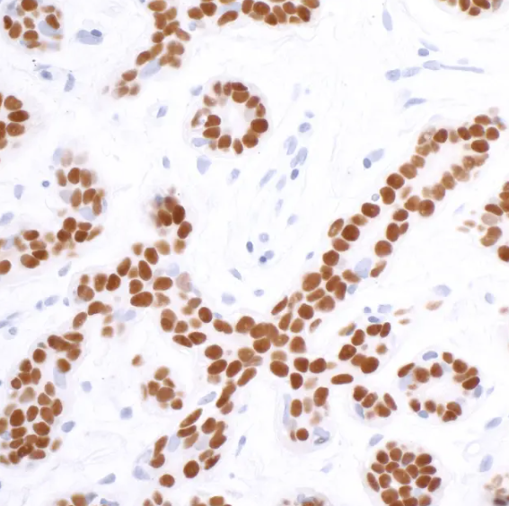
Rabbit anti-SOX10 Recombinant Monoclonal Antibody抗体
- 抗体英文名:
Rabbit anti-SOX10 Recombinant Monoclonal Antibody
- 靶点:
SOX10
- 浓度:
50 µg/ml
- 应用范围:
ICC, IF, IHC, IP, WB
- 宿主:
Rabbit
- 适应物种:
Human, Mouse
- 保质期:
6-12个月
- 抗原来源:
详询
- 目录编号:
orb1519802
- 级别:
科研级
- 库存:
88
- 供应商:
biorbyt
- 标记物:
Unconjugated
- 克隆性:
Recombinant
- 保存条件:
参考说明书
- 形态:
Whole IgG
- 免疫原:
Between 416 and C-terminus
- 规格:
100 ul
别名:transcription factor SOX-10; SRY-related HMG-box gene 10; WS4C; WS4; SRY (sex determining region Y)-box 10; PCWH; dominant megacolon, mouse, human homolog of; DOM; WS2E
免疫原:Between 416 and C-terminus
克隆性:BLR080G
应用稀释比例:(ICC) 1:100 to 1:500. Epitope retrieval with citrate buffer pH6.0 is recommended for FFPE cell sections. (IHC) 1:100 to 1:500. Epitope retrieval with citrate buffer pH6.0 is recommended for FFPE tissue sections. Immunoprecipitation (IP) 20 µl/mg lysate. Multiplex Immunofluorescence (mIF) 1:250. Western Blot (WB) 1:1000
应用注释:All western blot analysis is performed using 5% Milk-TBST for blocking and as antibody diluent. Primary antibody is incubated overnight
纯度:Recombinant antibody was purified from cell culture supernatant
防腐剂:Borate Buffered Saline (BBS) pH 8.2 with 0.1% rAlbumin and 0.09% Sodium Azide
保存说明:2 - 8°C
NCBI:NP_008872.1
UniProt ID:P56693
Note:For research use only.




风险提示:丁香通仅作为第三方平台,为商家信息发布提供平台空间。用户咨询产品时请注意保护个人信息及财产安全,合理判断,谨慎选购商品,商家和用户对交易行为负责。对于医疗器械类产品,请先查证核实企业经营资质和医疗器械产品注册证情况。
文献和实验monoclonal anti-HA 16B12 (MMS101R, BAbCo, used at 1:200 to 1:1000 dilution) mouse monoclonal anti-HA 12CA5 (12CA5, Boehringer, used at 1:200 dilution) rabbit polyclonal anti-HA (RS1010C, BAbCo, used at 1:200 dilution) Cy3-conjugated affinity
until examination. Antibodies mouse monoclonal anti-HA 16B12 (MMS101R, BAbCo, used at 1:200 to 1:1000 dilution) mouse monoclonal anti-HA 12CA5 (12CA5, Boehringer, used at 1:200 dilution) rabbit polyclonal anti-HA (RS1010C, BAbCo, used
motif, causes Huntington’s disease (HD). Our group has produced monoclonal and recombinant single-chain antibodies (intrabodies) that can be used for these purposes and to perturb the function of Htt in living cells. Studies with anti-Htt intrabodies
技术资料暂无技术资料 索取技术资料











