相关产品推荐更多 >
万千商家帮你免费找货
0 人在求购买到急需产品
- 详细信息
- 技术资料
- 抗体名:
Mouse anti-CD45RO Monoclonal Antibody抗体
- 抗体英文名:
Mouse anti-CD45RO Monoclonal Antibody
- 靶点:
CD45RO
- 浓度:
50 µg/ml
- 应用范围:
FC, ICC, IF, IHC, WB
- 宿主:
Mouse
- 适应物种:
Human
- 保质期:
6-12个月
- 抗原来源:
详询
- 目录编号:
orb1520122
- 级别:
科研级
- 库存:
88
- 供应商:
biorbyt
- 标记物:
Unconjugated
- 克隆性:
Monoclonal
- 保存条件:
参考说明书
- 形态:
Whole IgG
- 亚型:
IgG2a
- 免疫原:
Cultured T-cells from an IL-2-dependent T-cell line
- 规格:
100 ul
产品描述:CD45 is a protein tyrosine-protein phosphatase required for T-cell activation through the antigen receptor. CD45 acts as a positive regulator of T-cell coactivation upon binding to DPP4. The first PTPase domain has enzymatic activity, while the second one seems to affect the substrate specificity of the first one. Upon T-cell activation, CD45 recruits and dephosphorylates SKAP1 and FYN
别名:L-CA; protein tyrosine phosphatase, receptor type, c polypeptide; T200 leukocyte common antigen; T200 glycoprotein; receptor-type tyrosine-protein phosphatase C; LY5; Leukocyte common antigen; GP180; CD45R; B220; CD45 antigen; LCA; CD45; CD antigen CD45; T200
免疫原:Cultured T-cells from an IL-2-dependent T-cell line
克隆性:UCHL-1
应用稀释比例:Flow-Cyt Live or cells fixed in 4% formaldehyde and permeabilized with 90% methanol. 5 µl per 1 x 10^6 cells. Immunocytochemistry (ICC) 1:100 - 1:500. Epitope retrieval with citrate buffer pH 6.0 is recommended for FFPE cell sections. Immunohistochemistry (IHC) 1:100 - 1:500. Epitope retrieval with citrate buffer pH 6.0 is recommended for FFPE tissue sections. IHC-IF 1:100 to 1:500. Epitope retrieval with citrate buffer pH6.0 is recommended for FFPE tissue sections.. Multiplex Immunofluorescence (mIF) 1:250. Western Blot (WB) 1:250
应用注释:All western blot analysis is performed using 5% Milk-TBST for blocking and as antibody diluent. Primary antibody is incubated overnight
纯度:The antibody was purified from cell culture supernatant
防腐剂:Phosphate Buffered Saline (PBS) pH 8.2 with 0.1% rAlbumin and 0.09% Sodium Azide
保存说明:2 - 8°C
NCBI:NP_002829.3
UniProt ID:P08575
Note:For research use only.




别名:L-CA; protein tyrosine phosphatase, receptor type, c polypeptide; T200 leukocyte common antigen; T200 glycoprotein; receptor-type tyrosine-protein phosphatase C; LY5; Leukocyte common antigen; GP180; CD45R; B220; CD45 antigen; LCA; CD45; CD antigen CD45; T200
免疫原:Cultured T-cells from an IL-2-dependent T-cell line
克隆性:UCHL-1
应用稀释比例:Flow-Cyt Live or cells fixed in 4% formaldehyde and permeabilized with 90% methanol. 5 µl per 1 x 10^6 cells. Immunocytochemistry (ICC) 1:100 - 1:500. Epitope retrieval with citrate buffer pH 6.0 is recommended for FFPE cell sections. Immunohistochemistry (IHC) 1:100 - 1:500. Epitope retrieval with citrate buffer pH 6.0 is recommended for FFPE tissue sections. IHC-IF 1:100 to 1:500. Epitope retrieval with citrate buffer pH6.0 is recommended for FFPE tissue sections.. Multiplex Immunofluorescence (mIF) 1:250. Western Blot (WB) 1:250
应用注释:All western blot analysis is performed using 5% Milk-TBST for blocking and as antibody diluent. Primary antibody is incubated overnight
纯度:The antibody was purified from cell culture supernatant
防腐剂:Phosphate Buffered Saline (PBS) pH 8.2 with 0.1% rAlbumin and 0.09% Sodium Azide
保存说明:2 - 8°C
NCBI:NP_002829.3
UniProt ID:P08575
Note:For research use only.

Detection of human CD45RO by western blot. Samples: Whole cell lysate (15 and 50 µg) from Jurkat cells prepared using NETN lysis buffer. Antibody: mouse anti-CD45RO antibody used at 1:250. Secondary: HRP-conjugated goat anti-mouse IgG. Detection: Chemiluminescence with an exposure time of 3 minutes

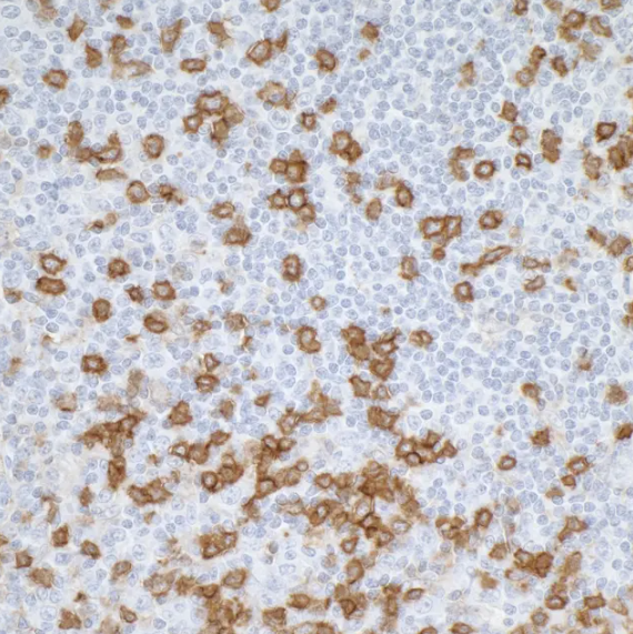
Detection of human CD45RO by immunohistochemistry. Sample: FFPE section of human tonsil. Antibody: Mouse monoclonal anti-CD45RO antibody used at a dilution of 1:250. Secondary: HRP-conjugated goat anti-mouse IgG. Substrate: DAB. Counterstain: Hematoxylin (blue)

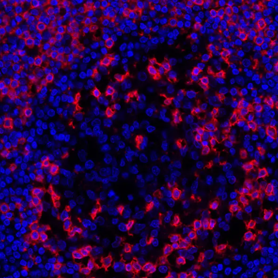
Detection of human CD45RO (red) by immunohistochemistry. Sample: FFPE section of human lung carcinoma. Antibody: Mouse anti-CD45RO monoclonal antibody used at 1:250. Substrate: Opal™. Counterstain: DAPI (blue)

Detection of human CD45RO (shaded) in Jurkat cells by flow cytometry. Antibody: Mouse anti-CD45RO recombinant monoclonal or isotype control (unshaded). Secondary: DyLight® 488-conjugated goat anti-mouse IgG
风险提示:丁香通仅作为第三方平台,为商家信息发布提供平台空间。用户咨询产品时请注意保护个人信息及财产安全,合理判断,谨慎选购商品,商家和用户对交易行为负责。对于医疗器械类产品,请先查证核实企业经营资质和医疗器械产品注册证情况。
技术资料暂无技术资料 索取技术资料
Mouse anti-CD45RO Monoclonal Antibody抗体,orb1520122,biorbyt
¥8710










