相关产品推荐更多 >

Annexin A10 Rabbit mAb Antibody 抗体,orb1922219,Biorbyt
¥2211
RND3 Antibody - C-terminal region : Biotin 抗体,orb2097667,Biorbyt
¥8216
F-Actin Antibody (BF680) 抗体,orb1592075,Biorbyt
¥4796
MCM7 Antibody - N-terminal region : HRP 抗体,orb2131518,Biorbyt
¥7345
Cyclophilin B (6H1) Mouse mAb抗体,orb1563214,biorbyt
¥1560
万千商家帮你免费找货
0 人在求购买到急需产品
- 详细信息
- 技术资料
- 抗体名:
Claudin 18.2 Recombinant Rabbit Monoclonal Antibody抗体
- 抗体英文名:
Claudin 18.2 Recombinant Rabbit Monoclonal Antibody
- 靶点:
CLDN18
- 浓度:
1mg/ml
- 应用范围:
IF, IHC-Fr, IHC-P
- 宿主:
Rabbit
- 适应物种:
Human, Mouse, Rat
- 保质期:
6-12个月
- 抗原来源:
详询
- 目录编号:
orb1499340
- 级别:
科研级
- 库存:
88
- 供应商:
biorbyt
- 标记物:
Unconjugated
- 克隆性:
Recombinant
- 保存条件:
参考说明书
- 形态:
Liquid
- 亚型:
IgG
- 免疫原:
KLH conjugated synthetic peptide derived from human Claudin-18.2
- 规格:
25 ul
产品描述:Claudin 18.2 Recombinant Rabbit Monoclonal Antibody
别名:CLD18_HUMAN; Claudin-18; Claudin18; CLDN18; UNQ778/PRO1572; SFTA5; SFTPJ; CLDN18.2; Claudin-18.2; Claudin18.2;
免疫原:KLH conjugated synthetic peptide derived from human Claudin-18.2
预测反应性:Mouse
克隆性:R7G12
分子量:28 kDa
应用稀释比例:IHC-P=1:100-500, IHC-F=1:100-500, IF=1:100-500
防腐剂:0.01M TBS (pH7.4) with 1% rAlbumin, 0.02% Proclin300 and 50% Glycerol.
纯化:Affinity purified by Protein A
保存说明:Maintain refrigerated at 2-8°C for up to 2 weeks. For long term storage store at -20°C in small aliquots to prevent freeze-thaw cycles.
UniProt ID:P56856
Note:For research use only.



别名:CLD18_HUMAN; Claudin-18; Claudin18; CLDN18; UNQ778/PRO1572; SFTA5; SFTPJ; CLDN18.2; Claudin-18.2; Claudin18.2;
免疫原:KLH conjugated synthetic peptide derived from human Claudin-18.2
预测反应性:Mouse
克隆性:R7G12
分子量:28 kDa
应用稀释比例:IHC-P=1:100-500, IHC-F=1:100-500, IF=1:100-500
防腐剂:0.01M TBS (pH7.4) with 1% rAlbumin, 0.02% Proclin300 and 50% Glycerol.
纯化:Affinity purified by Protein A
保存说明:Maintain refrigerated at 2-8°C for up to 2 weeks. For long term storage store at -20°C in small aliquots to prevent freeze-thaw cycles.
UniProt ID:P56856
Note:For research use only.

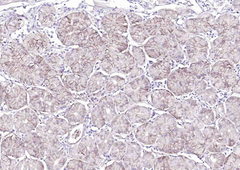
paraffin embedded (Human stomach), Antigen retrieval by boiling in sodium citrate buffer (pH6.0) for 15 min, Block endogenous peroxidase by 3% hydrogen peroxide for 20 minutes, Blocking buffer (normal goat serum) at 37°C for 30 min, Antibody incubation with (Claudin 18.2) Monoclonal Antibody, Unconjugated (orb1499340) at 1:200 overnight at 4°C, followed by operating according to SP Kit (Rabbit) instructionsand DAB staining.

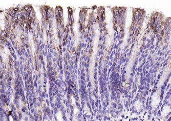
Fixative-fixed, paraffin embedded (mouse stomach), Antigen retrieval by boiling in sodium EDTA buffer (9.0) for 15 min, Block endogenous peroxidase by 3% hydrogen peroxide for 20 minutes, Blocking buffer (normal goat serum) at 37°C for 30 min, Antibody incubation with (Claudin 18.2) Monoclonal Antibody, Unconjugated (orb1499340) at 1:200 overnight at 4°C, followed by operating according to SP Kit (Rabbit) instructionsand DAB staining.

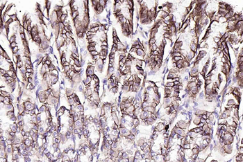
Fixative-fixed, paraffin embedded (rat stomach), Antigen retrieval by boiling in sodium EDTA buffer (9.0) for 15 min, Block endogenous peroxidase by 3% hydrogen peroxide for 20 minutes, Blocking buffer (normal goat serum) at 37°C for 30 min, Antibody incubation with (Claudin 18.2) Monoclonal Antibody, Unconjugated (orb1499340) at 1:200 overnight at 4°C, followed by operating according to SP Kit (Rabbit) instructionsand DAB staining.
风险提示:丁香通仅作为第三方平台,为商家信息发布提供平台空间。用户咨询产品时请注意保护个人信息及财产安全,合理判断,谨慎选购商品,商家和用户对交易行为负责。对于医疗器械类产品,请先查证核实企业经营资质和医疗器械产品注册证情况。
技术资料暂无技术资料 索取技术资料
Claudin 18.2 Recombinant Rabbit Monoclonal Antibody抗体,orb1499340,biorbyt
¥2210





