相关产品推荐更多 >
万千商家帮你免费找货
0 人在求购买到急需产品
- 详细信息
- 技术资料
- 抗体名:
Phospho-V-Myb+C-Myb (Ser11) Recombinant Rabbit Monoclonal Antibody抗体
- 抗体英文名:
Phospho-V-Myb+C-Myb (Ser11) Recombinant Rabbit Monoclonal Antibody
- 靶点:
MYB
- 浓度:
1mg/ml
- 应用范围:
ICC, IF, IHC-Fr, IHC-P, WB
- 宿主:
Rabbit
- 适应物种:
Human
- 保质期:
6-12个月
- 抗原来源:
详询
- 目录编号:
orb1499349
- 级别:
科研级
- 库存:
88
- 供应商:
biorbyt
- 标记物:
Unconjugated
- 克隆性:
Recombinant
- 保存条件:
参考说明书
- 形态:
Liquid
- 亚型:
IgG
- 免疫原:
KLH conjugated synthesised phosphopeptide derived from human MYB around the phosphorylation site of Ser11
- 规格:
50 ul
产品描述:Phospho-V-Myb+C-Myb (Ser11) Recombinant Rabbit Monoclonal Antibody
别名:Avian myeloblastosis viral(v-myb) oncogene homolog; C myb; c-Myb; MYB_HUMAN; Proto-oncogene c-Myb; Transcriptional activator Myb; v-myb avian myeloblastosis viral oncogene homolog.
免疫原:KLH conjugated synthesised phosphopeptide derived from human MYB around the phosphorylation site of Ser11
分子量:84 kDa
应用稀释比例:WB=1:500-2000, IHC-P=1:100-500, IHC-F=1:100-500, ICC/IF=1:50-200, IF=1:50-200
防腐剂:0.01M TBS (pH7.4) with 1% rAlbumin, 0.02% Proclin300 and 50% Glycerol.
纯化:Affinity purified by Protein A
保存说明:Maintain refrigerated at 2-8°C for up to 2 weeks. For long term storage store at -20°C in small aliquots to prevent freeze-thaw cycles.
UniProt ID:P10242
Note:For research use only.


别名:Avian myeloblastosis viral(v-myb) oncogene homolog; C myb; c-Myb; MYB_HUMAN; Proto-oncogene c-Myb; Transcriptional activator Myb; v-myb avian myeloblastosis viral oncogene homolog.
免疫原:KLH conjugated synthesised phosphopeptide derived from human MYB around the phosphorylation site of Ser11
分子量:84 kDa
应用稀释比例:WB=1:500-2000, IHC-P=1:100-500, IHC-F=1:100-500, ICC/IF=1:50-200, IF=1:50-200
防腐剂:0.01M TBS (pH7.4) with 1% rAlbumin, 0.02% Proclin300 and 50% Glycerol.
纯化:Affinity purified by Protein A
保存说明:Maintain refrigerated at 2-8°C for up to 2 weeks. For long term storage store at -20°C in small aliquots to prevent freeze-thaw cycles.
UniProt ID:P10242
Note:For research use only.

ICC staining of P-V-Myb+C-Myb (S11) in AGS cells (green). Formalin fixed cells were permeabilized with 0.1% Triton X-100 in TBS for 10 minutes at room temperature and blocked with 1% Blocker BSA for 15 minutes at room temperature. Cells were probed with the primary antibody (orb1499349, 1/50) for 1 hour at room temperature, washed with PBS. Alexa Fluor®488 Goat anti-Rabbit IgG was used as the secondary antibody at 1/1000 dilution. The nuclear counter stain is DAPI (blue).

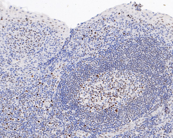
Immunohistochemical analysis of paraffin-embedded human tonsil tissue using anti-P-V-Myb+C-Myb (S11) antibody. The section was pre-treated using heat mediated antigen retrieval with sodium citrate buffer (pH 6.0) for 20 minutes. The tissues were blocked in 5% BSA for 30 minutes at room temperature, washed with ddH2O and PBS, and then probed with the primary antibody (orb1499349, 1/200) for 30 minutes at room temperature. The detection was performed using an HRP conjugated compact polymer system. DAB was used as the chromogen. Tissues were counterstained with hematoxylin and mounted with DPX.
风险提示:丁香通仅作为第三方平台,为商家信息发布提供平台空间。用户咨询产品时请注意保护个人信息及财产安全,合理判断,谨慎选购商品,商家和用户对交易行为负责。对于医疗器械类产品,请先查证核实企业经营资质和医疗器械产品注册证情况。
技术资料暂无技术资料 索取技术资料
Phospho-V-Myb+C-Myb (Ser11) Recombinant Rabbit Monoclonal Antibody抗体,orb1499349,biorbyt
¥4160










