相关产品推荐更多 >
万千商家帮你免费找货
0 人在求购买到急需产品
- 详细信息
- 技术资料
- 抗体名:
TCF7L2 Recombinant Rabbit Monoclonal Antibody抗体
- 抗体英文名:
TCF7L2 Recombinant Rabbit Monoclonal Antibody
- 靶点:
TCF7L2
- 浓度:
1mg/ml
- 应用范围:
FC, ICC, IF, IHC-Fr, IHC-P, WB
- 宿主:
Rabbit
- 适应物种:
Human, Mouse, Rat
- 保质期:
6-12个月
- 抗原来源:
详询
- 目录编号:
orb1499390
- 级别:
科研级
- 库存:
88
- 供应商:
biorbyt
- 标记物:
Unconjugated
- 克隆性:
Recombinant
- 保存条件:
参考说明书
- 形态:
Liquid
- 亚型:
IgG
- 免疫原:
KLH conjugated synthetic peptide derived from human TCF7L2
- 规格:
50 ul
产品描述:TCF7L2 Recombinant Rabbit Monoclonal Antibody
别名:E2 2; HMG box transcription factor 4; hTCF 4; Immunoglobulin transcription factor 2; ITF2; SEF2 1; SEF2 1A; SEF2 1B; SEF2; T cell factor 4; T cell specific HMG box; T cell specific transcription factor 4; TCF 4; TCF4; TCF7L2; TCF7L2 protein; hTCF-4; T-cell factor 4; T-cell-specific transcription factor 4; TCF-4; TF7L2_HUMAN; Transcription factor 7-like 2; Transcription factor 4; Transcription factor 7 like 2; Transcription factor 7 like 2 T cell specific HMG box.
免疫原:KLH conjugated synthetic peptide derived from human TCF7L2
预测反应性:Mouse, Rat
克隆性:2C2
分子量:68 kDa
应用稀释比例:WB=1:500-2000, IHC-P=1:50-200, IHC-F=1:50-200, ICC/IF=1:50-200, IF=1:50-200, Flow-Cyt=1:50-100
防腐剂:0.01M TBS (pH7.4) with 1% rAlbumin, 0.02% Proclin300 and 50% Glycerol.
纯化:Affinity purified by Protein A
保存说明:Maintain refrigerated at 2-8°C for up to 2 weeks. For long term storage store at -20°C in small aliquots to prevent freeze-thaw cycles.
UniProt ID:Q9NQB0
Note:For research use only.








别名:E2 2; HMG box transcription factor 4; hTCF 4; Immunoglobulin transcription factor 2; ITF2; SEF2 1; SEF2 1A; SEF2 1B; SEF2; T cell factor 4; T cell specific HMG box; T cell specific transcription factor 4; TCF 4; TCF4; TCF7L2; TCF7L2 protein; hTCF-4; T-cell factor 4; T-cell-specific transcription factor 4; TCF-4; TF7L2_HUMAN; Transcription factor 7-like 2; Transcription factor 4; Transcription factor 7 like 2; Transcription factor 7 like 2 T cell specific HMG box.
免疫原:KLH conjugated synthetic peptide derived from human TCF7L2
预测反应性:Mouse, Rat
克隆性:2C2
分子量:68 kDa
应用稀释比例:WB=1:500-2000, IHC-P=1:50-200, IHC-F=1:50-200, ICC/IF=1:50-200, IF=1:50-200, Flow-Cyt=1:50-100
防腐剂:0.01M TBS (pH7.4) with 1% rAlbumin, 0.02% Proclin300 and 50% Glycerol.
纯化:Affinity purified by Protein A
保存说明:Maintain refrigerated at 2-8°C for up to 2 weeks. For long term storage store at -20°C in small aliquots to prevent freeze-thaw cycles.
UniProt ID:Q9NQB0
Note:For research use only.

Blank control (black line): HepG2. Primary Antibody (green line): Mouse Anti-TCF7L2 antibody (orb1499390), Dilution: 1:50, Secondary Antibody (white blue line): Goat anti-Mouse IgG-AF488, Dilution: 0.5 ug/Test. Isotype control (orange line): Normal Rabbit IgG, Protocol, The cells were fixed with 4% PFA (10 min at room temperature) and then permeabilized with 90% ice-cold methanol for 20 min at -20°C, The cells were then incubated in 5% BSA to block non-specific protein-protein interactions for 30 min at room temperature. Cells stained with Primary Antibody for 30 min at room temperature. The secondary antibody used for 40 min at room temperature. Acquisition of 20000 events was performed.

Flow cytometric analysis of TCF7L2 was done on Jurkat cells. The cells were fixed, permeabilized and stained with the primary antibody (orb1499390, 1/50) (red). After incubation of the primary antibody at room temperature for an hour, the cells were stained with a Alexa Fluor 488-conjugated Goat anti-Rabbit IgG Secondary antibody at 1/1000 dilution for 30 minutes. Unlabelled sample was used as a control (cells without incubation with primary antibody, black).

ICC staining of TCF7L2 in D3 cells (green). Formalin fixed cells were permeabilized with 0.1% Triton X-100 in TBS for 10 minutes at room temperature and blocked with 1% Blocker BSA for 15 minutes at room temperature. Cells were probed with the primary antibody (orb1499390, 1/50) for 1 hour at room temperature, washed with PBS. Alexa Fluor®488 Goat anti-Rabbit IgG was used as the secondary antibody at 1/1000 dilution. The nuclear counter stain is DAPI (blue).

ICC staining of TCF7L2 in Hela cells (green). Formalin fixed cells were permeabilized with 0.1% Triton X-100 in TBS for 10 minutes at room temperature and blocked with 1% Blocker BSA for 15 minutes at room temperature. Cells were probed with the primary antibody (orb1499390, 1/50) for 1 hour at room temperature, washed with PBS. Alexa Fluor®488 Goat anti-Rabbit IgG was used as the secondary antibody at 1/1000 dilution. The nuclear counter stain is DAPI (blue).

ICC staining of TCF7L2 in SW480 cells (green). Formalin fixed cells were permeabilized with 0.1% Triton X-100 in TBS for 10 minutes at room temperature and blocked with 1% Blocker BSA for 15 minutes at room temperature. Cells were probed with the primary antibody (orb1499390, 1/50) for 1 hour at room temperature, washed with PBS. Alexa Fluor®488 Goat anti-Rabbit IgG was used as the secondary antibody at 1/1000 dilution. The nuclear counter stain is DAPI (blue).

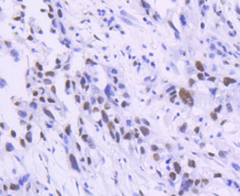
Immunohistochemical analysis of paraffin-embedded human breast carcinoma tissue using anti-TCF7L2 antibody. The section was pre-treated using heat mediated antigen retrieval with Tris-EDTA buffer (pH 8.0-8.4) for 20 minutes. The tissues were blocked in 5% BSA for 30 minutes at room temperature, washed with ddH2O and PBS, and then probed with the primary antibody (orb1499390, 1/50) for 30 minutes at room temperature. The detection was performed using an HRP conjugated compact polymer system. DAB was used as the chromogen. Tissues were counterstained with hematoxylin and mounted with DPX.

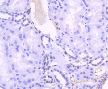
Immunohistochemical analysis of paraffin-embedded human kidney tissue using anti-TCF7L2 antibody. The section was pre-treated using heat mediated antigen retrieval with Tris-EDTA buffer (pH 8.0-8.4) for 20 minutes. The tissues were blocked in 5% BSA for 30 minutes at room temperature, washed with ddH2O and PBS, and then probed with the primary antibody (orb1499390, 1/50) for 30 minutes at room temperature. The detection was performed using an HRP conjugated compact polymer system. DAB was used as the chromogen. Tissues were counterstained with hematoxylin and mounted with DPX.

Western blot analysis of TCF7L2 on JAR cell lysates. Proteins were transferred to a PVDF membrane and blocked with 5% BSA in PBS for 1 hour at room temperature. The primary antibody (orb1499390, 1/500) was used in 5% BSA at room temperature for 2 hours. Goat Anti-Rabbit IgG - HRP Secondary Antibody at 1:5000 dilution was used for 1 hour at room temperature.
风险提示:丁香通仅作为第三方平台,为商家信息发布提供平台空间。用户咨询产品时请注意保护个人信息及财产安全,合理判断,谨慎选购商品,商家和用户对交易行为负责。对于医疗器械类产品,请先查证核实企业经营资质和医疗器械产品注册证情况。
技术资料暂无技术资料 索取技术资料
TCF7L2 Recombinant Rabbit Monoclonal Antibody抗体,orb1499390,biorbyt
¥4160










