相关产品推荐更多 >

ABCB7 Antibody抗体,orb1259832,biorbyt
¥10400
TACC3 Rabbit mAb抗体,orb1563615,biorbyt
¥1560
Anti-TNFRSF10B / TRAILR2 / CD262 Reference Antibody (conatumumab) 抗体,orb1818464,Biorbyt
¥7293
C21orf69 Antibody - N-terminal region : HRP 抗体,orb2117480,Biorbyt
¥8216
PCDHGB1 Rabbit Polyclonal Antibody抗体,orb1046,biorbyt
¥3120
万千商家帮你免费找货
0 人在求购买到急需产品
- 详细信息
- 技术资料
- 抗体名:
Ku80 Recombinant Rabbit Monoclonal Antibody抗体
- 抗体英文名:
Ku80 Recombinant Rabbit Monoclonal Antibody
- 靶点:
XRCC5
- 浓度:
1mg/ml
- 应用范围:
ICC, IF, IHC-Fr, IHC-P, WB
- 宿主:
Rabbit
- 适应物种:
Human
- 保质期:
6-12个月
- 抗原来源:
详询
- 目录编号:
orb1499391
- 级别:
科研级
- 库存:
88
- 供应商:
biorbyt
- 标记物:
Unconjugated
- 克隆性:
Recombinant
- 保存条件:
参考说明书
- 形态:
Liquid
- 亚型:
IgG
- 免疫原:
A synthesized peptide derived from human Ku80 (700-732/732aa)
- 规格:
50 ul
产品描述:Ku80 Recombinant Rabbit Monoclonal Antibody
别名:86 kDa subunit of Ku antigen; ATP dependent DNA helicase 2 subunit 2; ATP dependent DNA helicase II 80 kDa subunit; ATP dependent DNA helicase II 86 Kd subunit; ATP dependent DNA helicase II; ATP-dependent DNA helicase 2 subunit 2; ATP-dependent DNA helicase II 80 kDa subunit; CTC box binding factor 85 kDa; CTC box-binding factor 85 kDa subunit; CTC85; CTCBF; DNA repair protein XRCC5; KARP 1; KARP1; Ku 80; Ku autoantigen 80kDa; Ku86; Ku86 autoantigen related protein 1; KUB 2; KUB2; Lupus Ku autoantigen protein p86; NFIV; Nuclear factor IV; Thyroid lupus autoantigen; Thyroid-lupus autoantigen; TLAA; X ray repair complementing defective repair in Chinese hamster cells 5(double strand break rejoining); X-ray repair complementing defective repair in Chinese hamster cells 5(double-strand-break rejoining); X-ray repair cross-complementing protein 5; Xray repair complementing defective repair in Chinese hamster cells 5; XRCC 5; XRCC5; XRCC5_HUMAN.
免疫原:A synthesized peptide derived from human Ku80 (700-732/732aa)
预测反应性:Human
克隆性:9C2
分子量:83 kDa
应用稀释比例:WB=1:500-2000, IHC-P=1:100-500, IHC-F=1:100-500, ICC/IF=1:50-200, IF=1:100-500
防腐剂:0.01M TBS (pH7.4) with 1% rAlbumin, 0.02% Proclin300 and 50% Glycerol.
纯化:Affinity purified by Protein A
保存说明:Maintain refrigerated at 2-8°C for up to 2 weeks. For long term storage store at -20°C in small aliquots to prevent freeze-thaw cycles.
UniProt ID:P13010
Note:For research use only.








别名:86 kDa subunit of Ku antigen; ATP dependent DNA helicase 2 subunit 2; ATP dependent DNA helicase II 80 kDa subunit; ATP dependent DNA helicase II 86 Kd subunit; ATP dependent DNA helicase II; ATP-dependent DNA helicase 2 subunit 2; ATP-dependent DNA helicase II 80 kDa subunit; CTC box binding factor 85 kDa; CTC box-binding factor 85 kDa subunit; CTC85; CTCBF; DNA repair protein XRCC5; KARP 1; KARP1; Ku 80; Ku autoantigen 80kDa; Ku86; Ku86 autoantigen related protein 1; KUB 2; KUB2; Lupus Ku autoantigen protein p86; NFIV; Nuclear factor IV; Thyroid lupus autoantigen; Thyroid-lupus autoantigen; TLAA; X ray repair complementing defective repair in Chinese hamster cells 5(double strand break rejoining); X-ray repair complementing defective repair in Chinese hamster cells 5(double-strand-break rejoining); X-ray repair cross-complementing protein 5; Xray repair complementing defective repair in Chinese hamster cells 5; XRCC 5; XRCC5; XRCC5_HUMAN.
免疫原:A synthesized peptide derived from human Ku80 (700-732/732aa)
预测反应性:Human
克隆性:9C2
分子量:83 kDa
应用稀释比例:WB=1:500-2000, IHC-P=1:100-500, IHC-F=1:100-500, ICC/IF=1:50-200, IF=1:100-500
防腐剂:0.01M TBS (pH7.4) with 1% rAlbumin, 0.02% Proclin300 and 50% Glycerol.
纯化:Affinity purified by Protein A
保存说明:Maintain refrigerated at 2-8°C for up to 2 weeks. For long term storage store at -20°C in small aliquots to prevent freeze-thaw cycles.
UniProt ID:P13010
Note:For research use only.

ICC staining of Ku80 in A549 cells (green). Formalin fixed cells were permeabilized with 0.1% Triton X-100 in TBS for 10 minutes at room temperature and blocked with 1% Blocker BSA for 15 minutes at room temperature. Cells were probed with the primary antibody (orb1499391, 1/50) for 1 hour at room temperature, washed with PBS. Alexa Fluor®488 Goat anti-Rabbit IgG was used as the secondary antibody at 1/1000 dilution. The nuclear counter stain is DAPI (blue).

ICC staining of Ku80 in Hela cells (green). Formalin fixed cells were permeabilized with 0.1% Triton X-100 in TBS for 10 minutes at room temperature and blocked with 1% Blocker BSA for 15 minutes at room temperature. Cells were probed with the primary antibody (orb1499391, 1/50) for 1 hour at room temperature, washed with PBS. Alexa Fluor®488 Goat anti-Rabbit IgG was used as the secondary antibody at 1/1000 dilution. The nuclear counter stain is DAPI (blue).

ICC staining of Ku80 in SW480 cells (green). Formalin fixed cells were permeabilized with 0.1% Triton X-100 in TBS for 10 minutes at room temperature and blocked with 1% Blocker BSA for 15 minutes at room temperature. Cells were probed with the primary antibody (orb1499391, 1/50) for 1 hour at room temperature, washed with PBS. Alexa Fluor®488 Goat anti-Rabbit IgG was used as the secondary antibody at 1/1000 dilution. The nuclear counter stain is DAPI (blue).

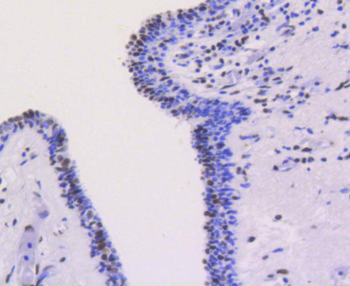
Immunohistochemical analysis of paraffin-embedded human breast carcinoma tissue with Rabbit anti-Ku80 antibody (orb1499391) at 1/50 dilution. The section was pre-treated using heat mediated antigen retrieval with Tris-EDTA buffer (pH 8.0-8.4) for 20 minutes. The tissues were blocked in 1% BSA for 20 minutes at room temperature, washed with ddH2O and PBS, and then probed with the primary antibody (orb1499391) at 1/50 dilution for 1 hour at room temperature. The detection was performed using an HRP conjugated compact polymer system. DAB was used as the chromogen. Tissues were counterstained with hematoxylin and mounted with DPX.

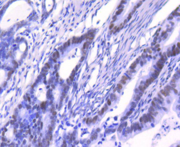
Immunohistochemical analysis of paraffin-embedded human colon cancer tissue with Rabbit anti-Ku80 antibody (orb1499391) at 1/50 dilution. The section was pre-treated using heat mediated antigen retrieval with Tris-EDTA buffer (pH 8.0-8.4) for 20 minutes. The tissues were blocked in 1% BSA for 20 minutes at room temperature, washed with ddH2O and PBS, and then probed with the primary antibody (orb1499391) at 1/50 dilution for 1 hour at room temperature. The detection was performed using an HRP conjugated compact polymer system. DAB was used as the chromogen. Tissues were counterstained with hematoxylin and mounted with DPX.

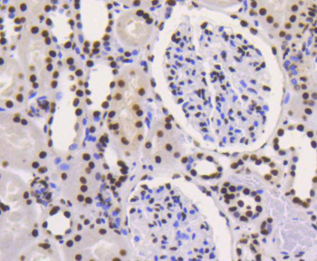
Immunohistochemical analysis of paraffin-embedded human kideny tissue using anti-Ku80 antibody. Counter stained with hematoxylin. Immunohistochemical analysis of paraffin-embedded human kideny tissue with Rabbit anti-Ku80 antibody (orb1499391) at 1/50 dilution. The section was pre-treated using heat mediated antigen retrieval with Tris-EDTA buffer (pH 8.0-8.4) for 20 minutes. The tissues were blocked in 1% BSA for 20 minutes at room temperature, washed with ddH2O and PBS, and then probed with the primary antibody (orb1499391) at 1/50 dilution for 1 hour at room temperature. The detection was performed using an HRP conjugated compact polymer system. DAB was used as the chromogen. Tissues were counterstained with hematoxylin and mounted with DPX.

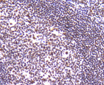
Immunohistochemical analysis of paraffin-embedded human tonsil tissue with Rabbit anti-Ku80 antibody (orb1499391) at 1/50 dilution. The section was pre-treated using heat mediated antigen retrieval with Tris-EDTA buffer (pH 8.0-8.4) for 20 minutes. The tissues were blocked in 1% BSA for 20 minutes at room temperature, washed with ddH2O and PBS, and then probed with the primary antibody (orb1499391) at 1/50 dilution for 1 hour at room temperature. The detection was performed using an HRP conjugated compact polymer system. DAB was used as the chromogen. Tissues were counterstained with hematoxylin and mounted with DPX.

Western blot analysis of Ku80 on different lysates. Proteins were transferred to a PVDF membrane and blocked with 5% BSA in PBS for 1 hour at room temperature. The primary antibody (orb1499391, 1/500) was used in 5% BSA at room temperature for 2 hours. Goat Anti-Rabbit IgG - HRP Secondary Antibody (HA1001) at 1:5000 dilution was used for 1 hour at room temperature. Positive control: Lane 1: MCF-7 cell lysate, Lane 2: A549 cell lysate.
风险提示:丁香通仅作为第三方平台,为商家信息发布提供平台空间。用户咨询产品时请注意保护个人信息及财产安全,合理判断,谨慎选购商品,商家和用户对交易行为负责。对于医疗器械类产品,请先查证核实企业经营资质和医疗器械产品注册证情况。
技术资料暂无技术资料 索取技术资料
Ku80 Recombinant Rabbit Monoclonal Antibody抗体,orb1499391,biorbyt
¥4160





