相关产品推荐更多 >

ARL6IP5 Antibody (Center) 抗体,orb1934059,Biorbyt
¥7293
Functional IL-1R2 (mouse) Antibody, mAb (recombinant) 抗体,orb1788493,Biorbyt
¥7670
FAM76B Antibody - N-terminal region : HRP 抗体,orb2108837,Biorbyt
¥8216
Wnt6 Rabbit Polyclonal Antibody抗体,orb101095,biorbyt
¥3120
CD160 Antibody (Cy7) 抗体,orb1600831,Biorbyt
¥4796
万千商家帮你免费找货
0 人在求购买到急需产品
- 详细信息
- 文献和实验
- 技术资料
- 抗体名:
Neuritin Antibody抗体
- 抗体英文名:
Neuritin Antibody
- 靶点:
NRN1
- 浓度:
1 mg/mL
- 应用范围:
ELISA, IF, IHC-P, WB
- 适应物种:
Human, Mouse
- 保质期:
6-12个月
- 抗原来源:
详询
- 目录编号:
orb1239665
- 级别:
科研级
- 库存:
88
- 供应商:
biorbyt
- 标记物:
Unconjugated
- 克隆性:
Polyclonal
- 形态:
Liquid
- 亚型:
IgG
- 免疫原:
Neuritin antibody was raised against a 20 amino acid synthetic peptide from near the center of human neuritin.The immunogen is located within amino acids 70 - 120 of Neuritin.
- 规格:
0.02 mg
产品描述:Neuritin Antibody
别名:Neuritin Antibody: NRN, dJ380B8.2, NRN, Neuritin
免疫原:Neuritin antibody was raised against a 20 amino acid synthetic peptide from near the center of human neuritin.The 免疫原 is located within amino acids 70 - 120 of Neuritin.
预测反应性:Bovine, Rat
分子量:Predicted: 16 kDa Observed: 15 kDa
应用注释:Neuritin antibody can be used for detection of Neuritin by Western blot at 5 and 10 μg/mL. Antibody can also be used for immunohistochemistry starting at 2.5 μg/mL. For immunofluorescence start at 20 μg/mL.Antibody validated: Western Blot in human samples; Immunohistochemistry in human and mouse samples and Immunofluorescence in human and mouse samples. All other applications and species not yet tested.
防腐剂:Neuritin Antibody is supplied in PBS containing 0.02% sodium azide.
纯化:Neuritin Antibody is affinity chromatography purified via peptide column.
保存说明:Maintain refrigerated at 2-8°C for up to 2 weeks. For long term storage store at -20°C in small aliquots to prevent freeze-thaw cycles.
NCBI:NP_057672
UniProt ID:Q9NPD7
Note:For research use only.





别名:Neuritin Antibody: NRN, dJ380B8.2, NRN, Neuritin
免疫原:Neuritin antibody was raised against a 20 amino acid synthetic peptide from near the center of human neuritin.The 免疫原 is located within amino acids 70 - 120 of Neuritin.
预测反应性:Bovine, Rat
分子量:Predicted: 16 kDa Observed: 15 kDa
应用注释:Neuritin antibody can be used for detection of Neuritin by Western blot at 5 and 10 μg/mL. Antibody can also be used for immunohistochemistry starting at 2.5 μg/mL. For immunofluorescence start at 20 μg/mL.Antibody validated: Western Blot in human samples; Immunohistochemistry in human and mouse samples and Immunofluorescence in human and mouse samples. All other applications and species not yet tested.
防腐剂:Neuritin Antibody is supplied in PBS containing 0.02% sodium azide.
纯化:Neuritin Antibody is affinity chromatography purified via peptide column.
保存说明:Maintain refrigerated at 2-8°C for up to 2 weeks. For long term storage store at -20°C in small aliquots to prevent freeze-thaw cycles.
NCBI:NP_057672
UniProt ID:Q9NPD7
Note:For research use only.

Western blot analysis of neuritin in Daudi cell lysate with neuritin antibody at (A) 5 and (B) 10 µg/mL.

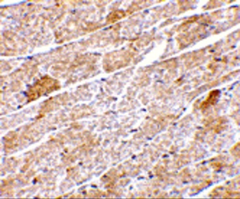
Immunohistochemistry of Neuritin in mouse heart tissue with Neuritin antibody at 5 µg/mL.

Immunofluorescence of Neuritin in Mouse Heart cells with Neuritin antibody at 20 µg/mL.

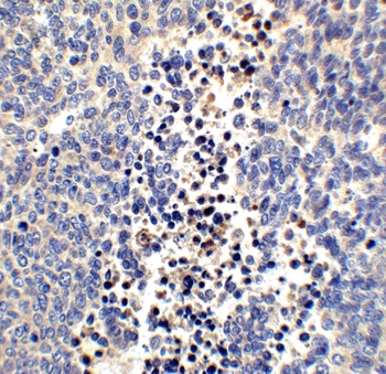
Immunohistochemistry of Neuritin in human brain tissue with Neuritin antibody at 2.5 µg/ml.

Immunofluorescence of Neuritin in human brain tissue with Neuritin antibody at 20 µg/mL. Green: Neuritin Antibody (orb1239665) Blue: DAPI staining.
风险提示:丁香通仅作为第三方平台,为商家信息发布提供平台空间。用户咨询产品时请注意保护个人信息及财产安全,合理判断,谨慎选购商品,商家和用户对交易行为负责。对于医疗器械类产品,请先查证核实企业经营资质和医疗器械产品注册证情况。
文献和实验相关实验
人 Neuritin 酶联免疫分析(ELISA) 试剂盒使用说明书 本试剂仅供研究使用 目的:本试剂盒用于测定人血清,血浆及相关液体样本 中Neuritin 的含量。 实验原理: 本试剂盒应用双抗体夹心法测定标本中人 Neuritin 水平。用纯化的 Neuritin 抗体 包被微孔板,制成固相抗体,往包被单抗的微孔中加入 Neuritin ,再与 HRP 标记的 Neuritin 抗体结合,形成抗体
技术资料暂无技术资料 索取技术资料
Neuritin Antibody抗体,orb1239665,biorbyt
¥3770






