相关产品推荐更多 >
万千商家帮你免费找货
0 人在求购买到急需产品
- 详细信息
- 技术资料
- 抗体名:
PAK2 Antibody抗体
- 抗体英文名:
PAK2 Antibody
- 靶点:
PAK2
- 浓度:
1 mg/mL
- 应用范围:
ELISA, IF, IHC-P, WB
- 适应物种:
Human, Mouse, Rat
- 保质期:
6-12个月
- 抗原来源:
详询
- 目录编号:
orb1239715
- 级别:
科研级
- 库存:
88
- 供应商:
biorbyt
- 标记物:
Unconjugated
- 克隆性:
Polyclonal
- 形态:
Liquid
- 亚型:
IgG
- 免疫原:
Anti-PAK2 antibody (orb1239715) was raised against a peptide corresponding to 14 amino acids near the amino terminus of human PAK2. The immunogen is located within amino acids 20-70 of PAK2.
- 规格:
0.02 mg
产品描述:PAK2 Antibody
别名:PAK2 Antibody: PAK65, PAKgammaGamma-PAK, PAK-2
免疫原:Anti-PAK2 antibody (orb1239715) was raised against a peptide corresponding to 14 amino acids near the amino terminus of human PAK2. The 免疫原 is located within amino acids 20-70 of PAK2.
预测反应性:Rabbit
分子量:Predicted: 58kDObserved: 58 kD
防腐剂:PAK2 Antibody is supplied in PBS containing 0.02% sodium azide.
纯化:PAK2 Antibody is affinity chromatography purified via peptide column.
保存说明:Maintain refrigerated at 2-8°C for up to 2 weeks. For long term storage store at -20°C in small aliquots to prevent freeze-thaw cycles.
NCBI:NP_002568
UniProt ID:Q13177
Note:For research use only.






别名:PAK2 Antibody: PAK65, PAKgammaGamma-PAK, PAK-2
免疫原:Anti-PAK2 antibody (orb1239715) was raised against a peptide corresponding to 14 amino acids near the amino terminus of human PAK2. The 免疫原 is located within amino acids 20-70 of PAK2.
预测反应性:Rabbit
分子量:Predicted: 58kDObserved: 58 kD
防腐剂:PAK2 Antibody is supplied in PBS containing 0.02% sodium azide.
纯化:PAK2 Antibody is affinity chromatography purified via peptide column.
保存说明:Maintain refrigerated at 2-8°C for up to 2 weeks. For long term storage store at -20°C in small aliquots to prevent freeze-thaw cycles.
NCBI:NP_002568
UniProt ID:Q13177
Note:For research use only.

Western Blot Validation in Jurkat Lysate. Loading: 15 µg of lysates per lane. Antibodies: PAK2 orb1239715 (A: 0.5 µg/mL, B: 1 µg/mL and C: 2 µg/mL), 1h incubation at RT in 5% NFDM/TBST. Secondary: Goat anti-rabbit IgG HRP conjugate at 1:10000 dilution.

Independent Antibody Validation (IAV) via Protein Expression Profile in Cell Lines. Loading: 15 µg of lysates per lane. Antibodies: PAK2 orb1239707 (1 µg/mL), PAK2 orb1239715 (1 µg/mL) and beta-actin (1 µg/mL), 1h incubation at RT in 5% NFDM/TBST. Secondary: Goat anti-rabbit IgG HRP conjugate at 1:10000 dilution.

Western Blot Validation in Human Cell Lines. Loading: 15 µg of lysates per lane. Antibodies: PAK2 orb1239715 (1 µg/mL), 1h incubation at RT in 5% NFDM/TBST. Secondary: Goat anti-rabbit IgG HRP conjugate at 1:10000 dilution.

Western Blot Validation in Mouse Tissues. Loading: 15 µg of lysates per lane. Antibodies: PAK2 orb1239715 (1 µg/mL per lane), 1h incubation at RT in 5% NFDM/TBST. Secondary: Goat anti-rabbit IgG HRP conjugate at 1:10000 dilution.

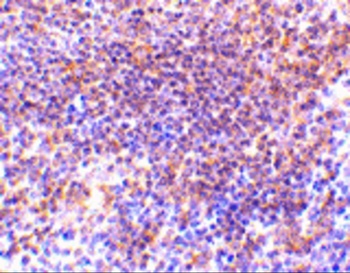
Immunohistochemistry Validation of PAK2 in Mouse Spleen Tissue. Immunohistochemical analysis of paraffin-embedded mouse kidney tissue using anti-PAK2 antibody (orb1239715) at 10 µg/ml. Tissue was fixed with formaldehyde and blocked with 10% serum for 1 h at RT; antigen retrieval was by heat mediation with a citrate buffer (pH6). Samples were incubated with primary antibody overnight at 4°C. A goat anti-rabbit IgG H&L (HRP) at 1/250 was used as secondary. Counter stained with Hematoxylin.

Immunofluorescence Validation of PAK2 in Mouse Spleen Tissue. Immunofluorescent analysis of 4% Fixative-fixed mouse spleen tissue labeling PAK2 with orb1239715 at 20 µg/mL, followed by goat anti-rabbit IgG secondary antibody at 1/500 dilution (red).
风险提示:丁香通仅作为第三方平台,为商家信息发布提供平台空间。用户咨询产品时请注意保护个人信息及财产安全,合理判断,谨慎选购商品,商家和用户对交易行为负责。对于医疗器械类产品,请先查证核实企业经营资质和医疗器械产品注册证情况。
技术资料暂无技术资料 索取技术资料
PAK2 Antibody抗体,orb1239715,biorbyt
¥3770









