相关产品推荐更多 >

Human lambda light chain Antibody (FITC) 抗体,orb1735740,Biorbyt
¥7657
ANKRD32 Antibody (N-term) 抗体,orb1930521,Biorbyt
¥7293
Anti-TGM2 / Transglutaminase 2 Reference Antibody 抗体,orb1805561,Biorbyt
¥781
PLD3 Antibody(N-term) 抗体,orb1932107,Biorbyt
¥7293
AGAP5 Antibody - middle region : Biotin 抗体,orb2087401,Biorbyt
¥8216
万千商家帮你免费找货
0 人在求购买到急需产品
- 详细信息
- 技术资料
- 抗体名:
GOLPH2 Antibody抗体
- 抗体英文名:
GOLPH2 Antibody
- 靶点:
GOLM1
- 浓度:
1 mg/mL
- 应用范围:
ELISA, IF, IHC-P, WB
- 适应物种:
Human, Mouse, Rat
- 保质期:
6-12个月
- 抗原来源:
详询
- 目录编号:
orb1239740
- 级别:
科研级
- 库存:
88
- 供应商:
biorbyt
- 标记物:
Unconjugated
- 克隆性:
Polyclonal
- 形态:
Liquid
- 亚型:
IgG
- 免疫原:
GOLPH2 antibody was raised against an 18 amino acid synthetic peptide from near the center of human GOLPH2.The immunogen is located within amino acids 130 - 180 of GOLPH2.
- 规格:
0.02 mg
产品描述:GOLPH2 Antibody
别名:GOLPH2 Antibody: GP73, HEL46, GOLPH2, C9orf155, PSEC0257, bA379P1.3, PSEC0242, UNQ686/PRO1326, Golgi membrane protein 1, Golgi membrane protein GP73
免疫原:GOLPH2 antibody was raised against an 18 amino acid synthetic peptide from near the center of human GOLPH2.The 免疫原 is located within amino acids 130 - 180 of GOLPH2.
分子量:Predicted: 67 kDa Observed: 70 kDa
应用注释:GOLPH2 antibody can be used for detection of GOLPH2 by Western blot at 0.25 - 0.5 μg/mL. Antibody can also be used for immunohistochemistry starting at 2.5 μg/mL. For immunofluorescence start at 20 μg/mL.Antibody validated: Western Blot in rat samples; Immunohistochemistry in rat samples and Immunofluorescence in rat samples. All other applications and species not yet tested.
防腐剂:GOLPH2 Antibody is supplied in PBS containing 0.02% sodium azide.
纯化:GOLPH2 Antibody is affinity chromatography purified via peptide column.
保存说明:Maintain refrigerated at 2-8°C for up to 2 weeks. For long term storage store at -20°C in small aliquots to prevent freeze-thaw cycles.
NCBI:EAW62705
UniProt ID:Q8NBJ4
Note:For research use only.



别名:GOLPH2 Antibody: GP73, HEL46, GOLPH2, C9orf155, PSEC0257, bA379P1.3, PSEC0242, UNQ686/PRO1326, Golgi membrane protein 1, Golgi membrane protein GP73
免疫原:GOLPH2 antibody was raised against an 18 amino acid synthetic peptide from near the center of human GOLPH2.The 免疫原 is located within amino acids 130 - 180 of GOLPH2.
分子量:Predicted: 67 kDa Observed: 70 kDa
应用注释:GOLPH2 antibody can be used for detection of GOLPH2 by Western blot at 0.25 - 0.5 μg/mL. Antibody can also be used for immunohistochemistry starting at 2.5 μg/mL. For immunofluorescence start at 20 μg/mL.Antibody validated: Western Blot in rat samples; Immunohistochemistry in rat samples and Immunofluorescence in rat samples. All other applications and species not yet tested.
防腐剂:GOLPH2 Antibody is supplied in PBS containing 0.02% sodium azide.
纯化:GOLPH2 Antibody is affinity chromatography purified via peptide column.
保存说明:Maintain refrigerated at 2-8°C for up to 2 weeks. For long term storage store at -20°C in small aliquots to prevent freeze-thaw cycles.
NCBI:EAW62705
UniProt ID:Q8NBJ4
Note:For research use only.

Western blot analysis of GOLPH2 in rat brain tissue lysate with GOLPH2 antibody at (A) 0.25 and (B) 0.5 µg/mL.

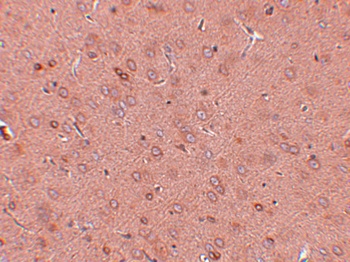
Immunohistochemistry of GOLPH2 in rat brain tissue with GOLPH2 antibody at 2.5 µg/mL.

Immunofluorescence of GOLPH2 in rat brain tissue with GOLPH2 antibody at 20 µg/mL.
风险提示:丁香通仅作为第三方平台,为商家信息发布提供平台空间。用户咨询产品时请注意保护个人信息及财产安全,合理判断,谨慎选购商品,商家和用户对交易行为负责。对于医疗器械类产品,请先查证核实企业经营资质和医疗器械产品注册证情况。
技术资料暂无技术资料 索取技术资料
GOLPH2 Antibody抗体,orb1239740,biorbyt
¥3770





