相关产品推荐更多 >
万千商家帮你免费找货
0 人在求购买到急需产品
- 详细信息
- 技术资料
- 抗体名:
GDPD5 Antibody抗体
- 抗体英文名:
GDPD5 Antibody
- 靶点:
GDPD5
- 浓度:
1 mg/mL
- 应用范围:
ELISA, IF, IHC-P, WB
- 适应物种:
Human, Mouse, Rat
- 保质期:
6-12个月
- 抗原来源:
详询
- 目录编号:
orb1239758
- 级别:
科研级
- 库存:
88
- 供应商:
biorbyt
- 标记物:
Unconjugated
- 克隆性:
Polyclonal
- 形态:
Liquid
- 亚型:
IgG
- 免疫原:
GDPD5 antibody was raised against an 18 amino acid peptide near the amino terminus of human GDPD5.The immunogen is located within the first 50 amino acids of GDPD5.
- 规格:
0.02 mg
产品描述:GDPD5 Antibody
别名:GDPD5 Antibody: GDE2, PP1665, GDE2, PP6037, PP9363, UNQ1850/PRO3580, Glycerophosphodiester phosphodiesterase domain-containing protein 5, Glycerophosphodiester phosphodiesterase 2
免疫原:GDPD5 antibody was raised against an 18 amino acid peptide near the amino terminus of human GDPD5.The 免疫原 is located within the first 50 amino acids of GDPD5.
预测反应性:Gallus
分子量:Predicted: 40, 67 kDa Observed: 52 kDa
应用注释:GDPD5 antibody can be used for detection of GDPD5 by Western blot at 1 - 2 μg/ml. Antibody can also be used for Immunohistochemistry at 5 μg/mL. For Immunoflorescence start at 20 μg/mL.Antibody validated: Western Blot in mouse samples; Immunohistochemistry in human samples and Immunofluorescence in human samples. All other applications and species not yet tested.
防腐剂:GDPD5 Antibody is supplied in PBS containing 0.02% sodium azide.
纯化:GDPD5 antibody is affinity chromatography purified via peptide column.
保存说明:Maintain refrigerated at 2-8°C for up to 2 weeks. For long term storage store at -20°C in small aliquots to prevent freeze-thaw cycles.
NCBI:NP_110419
UniProt ID:Q8WTR4
Note:For research use only.



别名:GDPD5 Antibody: GDE2, PP1665, GDE2, PP6037, PP9363, UNQ1850/PRO3580, Glycerophosphodiester phosphodiesterase domain-containing protein 5, Glycerophosphodiester phosphodiesterase 2
免疫原:GDPD5 antibody was raised against an 18 amino acid peptide near the amino terminus of human GDPD5.The 免疫原 is located within the first 50 amino acids of GDPD5.
预测反应性:Gallus
分子量:Predicted: 40, 67 kDa Observed: 52 kDa
应用注释:GDPD5 antibody can be used for detection of GDPD5 by Western blot at 1 - 2 μg/ml. Antibody can also be used for Immunohistochemistry at 5 μg/mL. For Immunoflorescence start at 20 μg/mL.Antibody validated: Western Blot in mouse samples; Immunohistochemistry in human samples and Immunofluorescence in human samples. All other applications and species not yet tested.
防腐剂:GDPD5 Antibody is supplied in PBS containing 0.02% sodium azide.
纯化:GDPD5 antibody is affinity chromatography purified via peptide column.
保存说明:Maintain refrigerated at 2-8°C for up to 2 weeks. For long term storage store at -20°C in small aliquots to prevent freeze-thaw cycles.
NCBI:NP_110419
UniProt ID:Q8WTR4
Note:For research use only.

Western blot analysis of GDPD5 in mouse kidney tissue lysate with GDPD5 antibody at 1 µg/ml in (A) the absence and (B) the presence of blocking peptide.

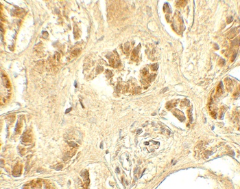
Immunohistochemistry of GDPD5 in human kidney tissue with GDPD5 antibody at 5 µg/mL.

Immunofluorescence of GDPD5 in human kidney tissue with GDPD5 antibody at 20 µg/mL.
风险提示:丁香通仅作为第三方平台,为商家信息发布提供平台空间。用户咨询产品时请注意保护个人信息及财产安全,合理判断,谨慎选购商品,商家和用户对交易行为负责。对于医疗器械类产品,请先查证核实企业经营资质和医疗器械产品注册证情况。
技术资料暂无技术资料 索取技术资料
GDPD5 Antibody抗体,orb1239758,biorbyt
¥3770











