相关产品推荐更多 >
万千商家帮你免费找货
0 人在求购买到急需产品
- 详细信息
- 文献和实验
- 技术资料
- 抗体名:
PD1 Antibody [7H6]抗体
- 抗体英文名:
PD1 Antibody [7H6]
- 靶点:
PDCD1
- 浓度:
1 mg/mL
- 应用范围:
ELISA, FC, ICC, IF, IHC-P, WB
- 适应物种:
Human
- 保质期:
6-12个月
- 抗原来源:
详询
- 目录编号:
orb1239763
- 级别:
科研级
- 库存:
88
- 供应商:
biorbyt
- 标记物:
Unconjugated
- 克隆性:
Monoclonal
- 形态:
Liquid
- 亚型:
IgG1
- 免疫原:
PD-1 antibody was raised against the extracellular domain of human PD-1.
- 规格:
0.02 mg
产品描述:PD1 Antibody [7H6]
别名:PD-1 Antibody: PD1, PD-1, CD279, SLEB2, hPD-1, hPD-l, hSLE1, PD1, Programmed cell death protein 1, Protein PD-1, PDCD1, PDCD-1
免疫原:PD-1 antibody was raised against the extracellular domain of human PD-1.
克隆性:7H6
分子量:Predicted: 32 kDa Observed: 38 kDa
应用注释:PD-1 antibody can be used for detection of PD-1 by Western blot at 1 μg/mL. Antibody can also be used for immunohistochemistry starting at 5 μg/mL. For immunofluorescence start at 20 μg/mL.Antibody validated: Western Blot in human samples; Immunohistochemistry in human samples; Immunocytochemistry in human samples; Immunofluorescence in human samples and Flow Cytometry in human samples. All other applications and species not yet tested.
防腐剂:PD-1 Antibody is supplied in PBS containing 0.02% sodium azide and 50% glycerol.
纯化:PD-1 Antibody is supplied as protein A purified IgG1.
保存说明:Maintain refrigerated at 2-8°C for up to 2 weeks. For long term storage store at -20°C in small aliquots to prevent freeze-thaw cycles.
NCBI:NP_005009
UniProt ID:Q15116
Note:For research use only.








别名:PD-1 Antibody: PD1, PD-1, CD279, SLEB2, hPD-1, hPD-l, hSLE1, PD1, Programmed cell death protein 1, Protein PD-1, PDCD1, PDCD-1
免疫原:PD-1 antibody was raised against the extracellular domain of human PD-1.
克隆性:7H6
分子量:Predicted: 32 kDa Observed: 38 kDa
应用注释:PD-1 antibody can be used for detection of PD-1 by Western blot at 1 μg/mL. Antibody can also be used for immunohistochemistry starting at 5 μg/mL. For immunofluorescence start at 20 μg/mL.Antibody validated: Western Blot in human samples; Immunohistochemistry in human samples; Immunocytochemistry in human samples; Immunofluorescence in human samples and Flow Cytometry in human samples. All other applications and species not yet tested.
防腐剂:PD-1 Antibody is supplied in PBS containing 0.02% sodium azide and 50% glycerol.
纯化:PD-1 Antibody is supplied as protein A purified IgG1.
保存说明:Maintain refrigerated at 2-8°C for up to 2 weeks. For long term storage store at -20°C in small aliquots to prevent freeze-thaw cycles.
NCBI:NP_005009
UniProt ID:Q15116
Note:For research use only.

Western blot analysis of PD-1 in transfected 293 cell lysate with PD-1 antibody at 1 μg/mL.

Immunohistochemistry of PD-1 in (A) human tonsil tissue, (B) human lymph node tissue, and (C) human spleen tissue with PD-1 antibody at 5 μg/mL. (D) Immunohistochemistry in human tonsil tissue with control mouse IgG staining at 5 μg/mL.

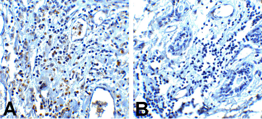
Immunohistochemistry of PD-1 in (A) human breast cancer tissue and (B) human normal breast tissue with PD-1 antibody at 5 μg/mL.

Immunocytochemistry of PD-1 in transfected 293 cells with PD-1 antibody at 5 μg/mL. Lower left: Immunocytochemistry in transfected 293 cells with control mouse IgG antibody at 5 μg/mL.

Immunofluorescence of PD-1 in transfected 293 cells with PD-1 antibody at 5 μg/mL. Lower left: Immunofluorescence in transfected 293 cells with control mouse IgG antibody at 5 μg/mL. Red: PD1 Antibody [7H6] (orb1239763) Blue: DAPI staining

Western blot analysis of PD-1 in overexpressing 293 cells using orb1239745, orb1239769, and orb1239763 antibody at 1, 0.5, and 0.25 μg/ml, respectively.

Flow cytometry analysis of PD-1 overexpressing 293 cells using orb1239763 at 1 μg/ml. Blue: untransfected cells, Yellow: PD-1 transfected cells.

Titration curve analysis of PD-1 mAbs to detect recombinant PD-1 in ELISA with orb1239745, orb1239769, orb1239763, orb1239738, and orb1239734 abs at decreasing concentrations.
风险提示:丁香通仅作为第三方平台,为商家信息发布提供平台空间。用户咨询产品时请注意保护个人信息及财产安全,合理判断,谨慎选购商品,商家和用户对交易行为负责。对于医疗器械类产品,请先查证核实企业经营资质和医疗器械产品注册证情况。
文献和实验相关实验
Nature 综述导读:FDA 批准第 100 个抗体药物!抗体药物的研究方向在哪里?
批准了第 50 种抗体,距离第一个抗体已经过去了 29 年。2021 年 4 月,随着葛兰素史克 PD1 阻断剂 dostarlimab 的批准,抗体药物仅用了 6 年多的时间就达到了 100 个,进入了「百抗」新时代(图五)。 图五 Nature Reviews Drug Discovery 20, 10 (2021) 上面提到的 100 个抗体并不是单纯经典的单克隆的裸抗体(naked antibody),其中也包括了抗体片段已经工程化修饰抗体的各种偶联形式。其中包括有抗体药物偶联(ADC
技术资料暂无技术资料 索取技术资料
PD1 Antibody [7H6]抗体,orb1239763,biorbyt
¥3770











