相关产品推荐更多 >
万千商家帮你免费找货
0 人在求购买到急需产品
- 详细信息
- 技术资料
- 抗体名:
PDL2 Antibody [7C7]抗体
- 抗体英文名:
PDL2 Antibody [7C7]
- 靶点:
PDCD1LG2
- 浓度:
1 mg/mL
- 应用范围:
ELISA, FC, ICC, IF, IHC-P, WB
- 适应物种:
Human
- 保质期:
6-12个月
- 抗原来源:
详询
- 目录编号:
orb1239859
- 级别:
科研级
- 库存:
88
- 供应商:
biorbyt
- 标记物:
Unconjugated
- 克隆性:
Monoclonal
- 形态:
Liquid
- 亚型:
IgG1
- 免疫原:
PD-L2 antibody was raised against the extracellular domain of human PD-L2.
- 规格:
0.02 mg
产品描述:PDL2 Antibody [7C7]
别名:PD-L2 Antibody: B7DC, Btdc, PDL2, CD273, PD-L2, PDCD1L2, bA574F11.2, B7DC, Programmed cell death 1 ligand 2, Butyrophilin B7-DC, PD-1 ligand 2
免疫原:PD-L2 antibody was raised against the extracellular domain of human PD-L2.
克隆性:7C7
分子量:Predicted: 30 kDa Observed: 38 kDa
应用注释:PD-L2 antibody can be used for detection of PD-L2 by Western blot at 0.5 - 1 μg/mL. Antibody can also be used for immunohistochemistry starting at 2 μg/mL. For immunofluorescence start at 20 μg/mL.Antibody validated: Western Blot in human samples; Immunohistochemistry in human samples; Immunocytochemistry in human samples; Immunofluorescence in human samples and Flow Cytometry in mouse samples. All other applications and species not yet tested.
防腐剂:PD-L2 Antibody is supplied in PBS containing 0.02% sodium azide and 50% glycerol.
纯化:PD-L2 Antibody is supplied as protein A purified IgG1.
保存说明:Maintain refrigerated at 2-8°C for up to 2 weeks. For long term storage store at -20°C in small aliquots to prevent freeze-thaw cycles.
NCBI:NP_079515
UniProt ID:P9BQ51
Note:For research use only.
![PDL2 Antibody [7C7]抗体,orb12398](https://img1.dxycdn.com/p/s14/2025/1204/389/8695722518140746991.gif)
![PDL2 Antibody [7C7]抗体,orb12398](https://img1.dxycdn.com/p/s14/2025/1204/466/2551575850140746991.gif)
![PDL2 Antibody [7C7]抗体,orb12398](https://img1.dxycdn.com/p/s14/2025/1204/483/8843817937040746991.gif)
![PDL2 Antibody [7C7]抗体,orb12398](https://img1.dxycdn.com/p/s14/2025/1204/468/6319312065140746991.gif)
![PDL2 Antibody [7C7]抗体,orb12398](https://img1.dxycdn.com/p/s14/2025/1204/753/4832785649040746991.gif)
![PDL2 Antibody [7C7]抗体,orb12398](https://img1.dxycdn.com/p/s14/2025/1204/534/6925101670140746991.gif)
![PDL2 Antibody [7C7]抗体,orb12398](https://img1.dxycdn.com/p/s14/2025/1204/844/0004498735140746991.gif)
![PDL2 Antibody [7C7]抗体,orb12398](https://img1.dxycdn.com/p/s14/2025/1204/961/6986927189040746991.gif)
别名:PD-L2 Antibody: B7DC, Btdc, PDL2, CD273, PD-L2, PDCD1L2, bA574F11.2, B7DC, Programmed cell death 1 ligand 2, Butyrophilin B7-DC, PD-1 ligand 2
免疫原:PD-L2 antibody was raised against the extracellular domain of human PD-L2.
克隆性:7C7
分子量:Predicted: 30 kDa Observed: 38 kDa
应用注释:PD-L2 antibody can be used for detection of PD-L2 by Western blot at 0.5 - 1 μg/mL. Antibody can also be used for immunohistochemistry starting at 2 μg/mL. For immunofluorescence start at 20 μg/mL.Antibody validated: Western Blot in human samples; Immunohistochemistry in human samples; Immunocytochemistry in human samples; Immunofluorescence in human samples and Flow Cytometry in mouse samples. All other applications and species not yet tested.
防腐剂:PD-L2 Antibody is supplied in PBS containing 0.02% sodium azide and 50% glycerol.
纯化:PD-L2 Antibody is supplied as protein A purified IgG1.
保存说明:Maintain refrigerated at 2-8°C for up to 2 weeks. For long term storage store at -20°C in small aliquots to prevent freeze-thaw cycles.
NCBI:NP_079515
UniProt ID:P9BQ51
Note:For research use only.
![PDL2 Antibody [7C7]抗体,orb12398](https://img1.dxycdn.com/p/s14/2025/1204/389/8695722518140746991.gif)
Western blot analysis of PD-L2 in overexpressing HEK293 cells PD-L2 antibody at 0.5 and 1 μg/ml
![PDL2 Antibody [7C7]抗体,orb12398](https://img1.dxycdn.com/p/s14/2025/1204/466/2551575850140746991.gif)
Immunocytochemistry of PD-L2 in transfected HEK293 cells with PD-L2 antibody at 5 μg/mL. Lower left: Immunocytochemistry in transfected HEK293 cells with control mouse IgG antibody at 5 μg/mL.
![PDL2 Antibody [7C7]抗体,orb12398](https://img1.dxycdn.com/p/s14/2025/1204/483/8843817937040746991.gif)
Immunofluorescence of PD-L2 in transfected HEK293 cells with PD-L2 antibody at 20 μg/mL. Green: PDL2 Antibody [7C7] (orb1239859) Blue: DAPI staining
![PDL2 Antibody [7C7]抗体,orb12398](https://img1.dxycdn.com/p/s14/2025/1204/468/6319312065140746991.gif)
Immunofluorescence of PD-L2 in human tonsil tissue with PD-L2 antibody at 20 μg/mL. Green: PDL2 Antibody [7C7] (orb1239859) Blue: DAPI staining
![PDL2 Antibody [7C7]抗体,orb12398](https://img1.dxycdn.com/p/s14/2025/1204/753/4832785649040746991.gif)
Immunofluorescence of PD-L2 in human colon carcinoma tissue with PD-L2 antibody at 20 μg/mL. Green: PDL2 Antibody [7C7] (orb1239859) Blue: DAPI staining
![PDL2 Antibody [7C7]抗体,orb12398](https://img1.dxycdn.com/p/s14/2025/1204/534/6925101670140746991.gif)
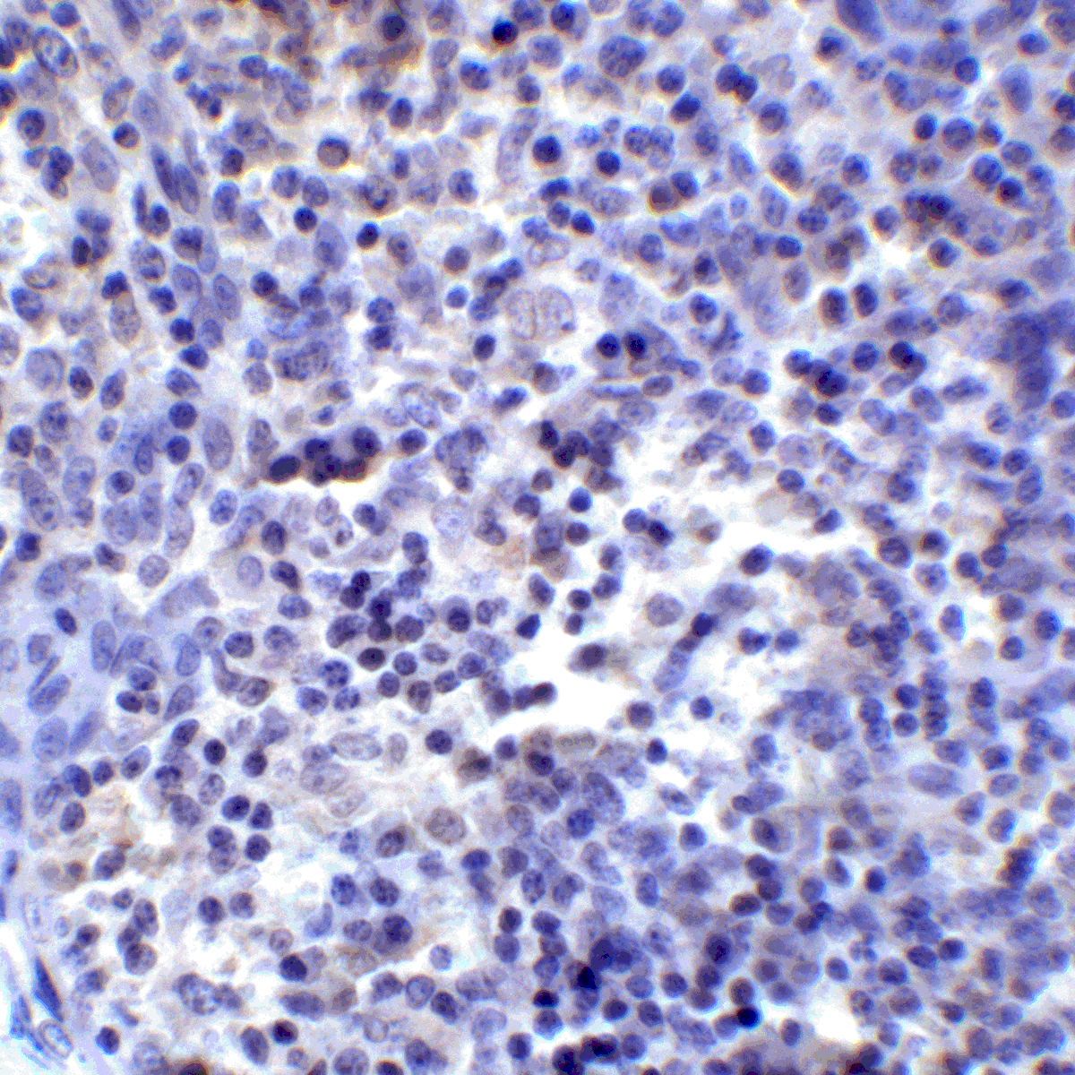
Immunohistochemistry of PD-L2 in human tonsil tissue with PD-L2 antibody at 2 μg/mL.
![PDL2 Antibody [7C7]抗体,orb12398](https://img1.dxycdn.com/p/s14/2025/1204/844/0004498735140746991.gif)
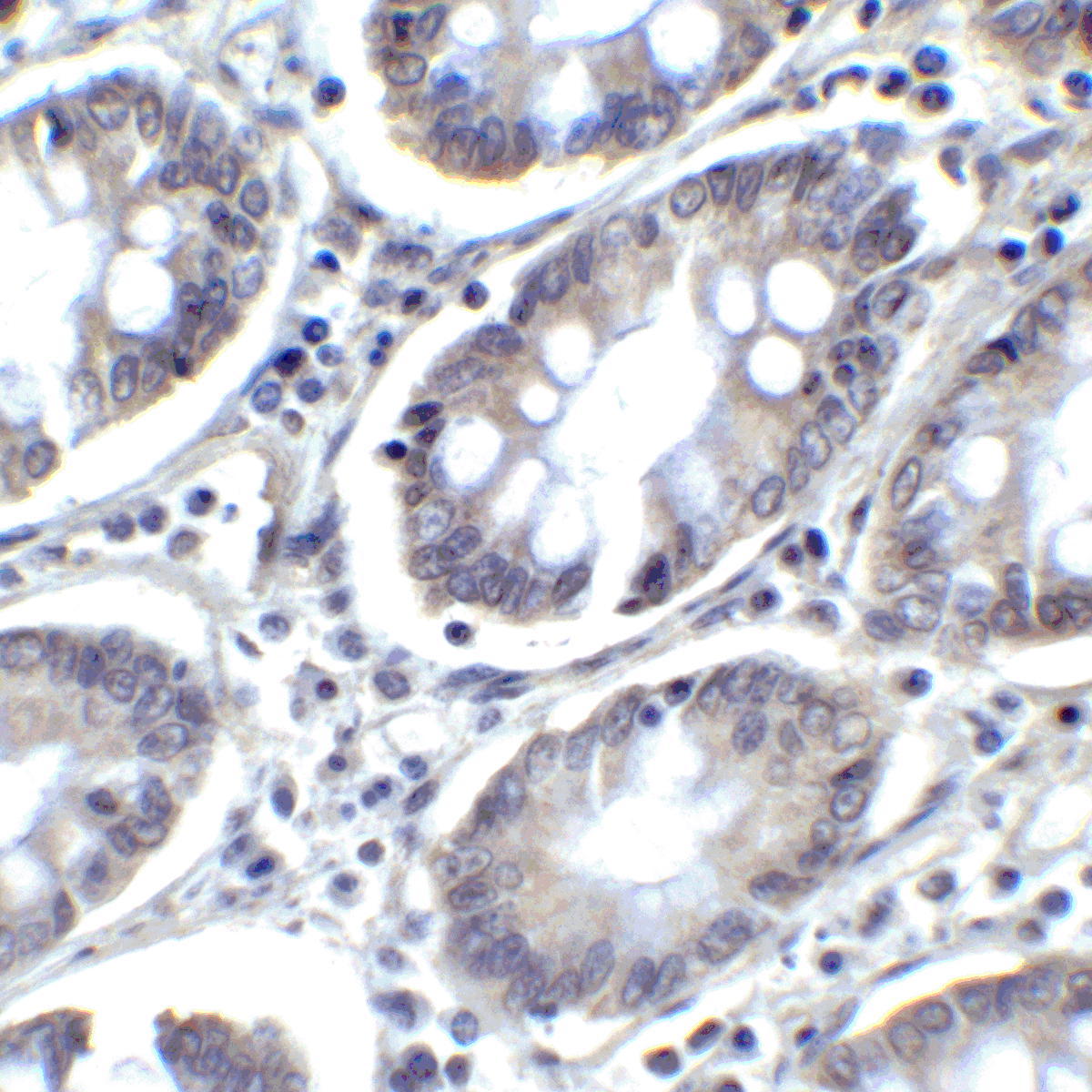
Immunohistochemistry of PD-L2 in human colon carcinoma tissue with PD-L2 antibody at 2 μg/mL.
![PDL2 Antibody [7C7]抗体,orb12398](https://img1.dxycdn.com/p/s14/2025/1204/961/6986927189040746991.gif)
Flow cytometry analysis of PD-L2 overexpressing HEK293 cells using PD-L2 antibody and control mouse IgG antibody at 10 μg/ml. Blue: Untransfected HEK293 cells. Yellow: PD-L2 overexpressing HEK293 cells.
风险提示:丁香通仅作为第三方平台,为商家信息发布提供平台空间。用户咨询产品时请注意保护个人信息及财产安全,合理判断,谨慎选购商品,商家和用户对交易行为负责。对于医疗器械类产品,请先查证核实企业经营资质和医疗器械产品注册证情况。
技术资料暂无技术资料 索取技术资料
PDL2 Antibody [7C7]抗体,orb1239859,biorbyt
¥3770


![PDL2 Antibody [7C7]抗体,orb1239859,biorbyt](https://img1.dxycdn.com/p/s14/2025/1204/083/6393812890632146991.jpg)







