相关产品推荐更多 >
万千商家帮你免费找货
0 人在求购买到急需产品
- 详细信息
- 技术资料
- 抗体名:
CIKS Antibody抗体
- 抗体英文名:
CIKS Antibody
- 靶点:
TRAF3IP2
- 浓度:
1 mg/ml
- 应用范围:
ELISA, IF, IHC-P, WB
- 适应物种:
Human
- 保质期:
6-12个月
- 抗原来源:
详询
- 目录编号:
orb1239977
- 级别:
科研级
- 库存:
88
- 供应商:
biorbyt
- 标记物:
Unconjugated
- 克隆性:
Polyclonal
- 形态:
Liquid
- 亚型:
IgG
- 免疫原:
CIKS antibody was raised against a 15 amino acid peptide near the carboxy terminus of human CIKS.The immunogen is located within the last 50 amino acids of CIKS.
- 规格:
0.02 mg
产品描述:CIKS Antibody
别名:CIKS Antibody: ACT1, CIKS, C6orf2, C6orf4, C6orf5, C6orf6, CANDF8, PSORS13, Adapter protein CIKS, Nuclear factor NF-kappa-B activator 1, ACT1
免疫原:CIKS antibody was raised against a 15 amino acid peptide near the carboxy terminus of human CIKS.The 免疫原 is located within the last 50 amino acids of CIKS.
分子量:63 kDa
应用注释:CIKS antibody can be used for detection of CIKS by Western blot at 1 μg/mL. A band at approximately 63 kDa can be detected. Antibody can also be used for immunohistochemistry starting at 5 μg/mL. For immunofluorescence start at 20 μg/mL.Antibody validated: Western Blot in human samples; Immunohistochemistry in human samples and Immunofluorescence in human samples. All other applications and species not yet tested.
防腐剂:CIKS Antibody is supplied in PBS containing 0.02% sodium azide.
纯化:CIKS Antibody is affinity chromatography purified via peptide column.
保存说明:Maintain refrigerated at 2-8°C for up to 2 weeks. For long term storage store at -20°C in small aliquots to prevent freeze-thaw cycles.
NCBI:AF274303
UniProt ID:O43734
Note:For research use only.



别名:CIKS Antibody: ACT1, CIKS, C6orf2, C6orf4, C6orf5, C6orf6, CANDF8, PSORS13, Adapter protein CIKS, Nuclear factor NF-kappa-B activator 1, ACT1
免疫原:CIKS antibody was raised against a 15 amino acid peptide near the carboxy terminus of human CIKS.The 免疫原 is located within the last 50 amino acids of CIKS.
分子量:63 kDa
应用注释:CIKS antibody can be used for detection of CIKS by Western blot at 1 μg/mL. A band at approximately 63 kDa can be detected. Antibody can also be used for immunohistochemistry starting at 5 μg/mL. For immunofluorescence start at 20 μg/mL.Antibody validated: Western Blot in human samples; Immunohistochemistry in human samples and Immunofluorescence in human samples. All other applications and species not yet tested.
防腐剂:CIKS Antibody is supplied in PBS containing 0.02% sodium azide.
纯化:CIKS Antibody is affinity chromatography purified via peptide column.
保存说明:Maintain refrigerated at 2-8°C for up to 2 weeks. For long term storage store at -20°C in small aliquots to prevent freeze-thaw cycles.
NCBI:AF274303
UniProt ID:O43734
Note:For research use only.

Western blot analysis of CIKS expression in human placenta tissue lysate with CIKS antibody at 1 µg/ml.

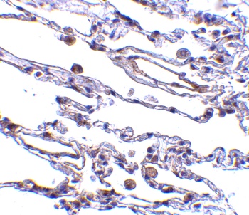
Immunohistochemistry of CIKS in human lung tissue with CIKS antibody at 5 µg/mL.

Immunofluorescence of CIKS in Human Lung cells with CIKS antibody at 20 µg/mL.
风险提示:丁香通仅作为第三方平台,为商家信息发布提供平台空间。用户咨询产品时请注意保护个人信息及财产安全,合理判断,谨慎选购商品,商家和用户对交易行为负责。对于医疗器械类产品,请先查证核实企业经营资质和医疗器械产品注册证情况。
技术资料暂无技术资料 索取技术资料
CIKS Antibody抗体,orb1239977,biorbyt
¥3770










