相关产品推荐更多 >

Human IgM heavy chain Antibody (FITC) 抗体,orb1735732,Biorbyt
¥6669
TRMT11 Antibody (C-term) 抗体,orb1930526,Biorbyt
¥7293
Anti-F3 / Factor III / Tissue Factor / CD142 Reference Antibody 抗体,orb1805556,Biorbyt
¥781
LEO1 Antibody (N-term) 抗体,orb1932104,Biorbyt
¥7293
AGAP4 Antibody - C-terminal region : FITC 抗体,orb2087403,Biorbyt
¥8216
万千商家帮你免费找货
0 人在求购买到急需产品
- 详细信息
- 技术资料
- 抗体名:
CIDE-A Antibody抗体
- 抗体英文名:
CIDE-A Antibody
- 靶点:
CIDEA
- 浓度:
1 mg/ml
- 应用范围:
ELISA, IF, IHC-P, WB
- 适应物种:
Human
- 保质期:
6-12个月
- 抗原来源:
详询
- 目录编号:
orb1239982
- 级别:
科研级
- 库存:
88
- 供应商:
biorbyt
- 标记物:
Unconjugated
- 克隆性:
Polyclonal
- 形态:
Liquid
- 亚型:
IgG
- 免疫原:
CIDE-A antibody was raised against a 18 amino acid peptide near the carboxy terminus of human CIDE-A.The immunogen is located within the last 50 amino acids of CIDE-A.
- 规格:
0.02 mg
产品描述:CIDE-A Antibody
别名:CIDE-A Antibody: CIDE-A, Cell death activator CIDE-A, Cell death-inducing DFFA-like effector A
免疫原:CIDE-A antibody was raised against a 18 amino acid peptide near the carboxy terminus of human CIDE-A.The 免疫原 is located within the last 50 amino acids of CIDE-A.
分子量:23 kDa
应用注释:CIDE-A antibody can be used for detection of CIDE-A by Western blot at 2 μg/mL. An approximately 23 kDa band can be detected. Antibody can also be used for immunohistochemistry starting at 5 μg/mL. For immunofluorescence start at 20 μg/mL.Antibody validated: Western Blot in human samples; Immunohistochemistry in human samples and Immunofluorescence in human samples. All other applications and species not yet tested.
防腐剂:CIDE-A Antibody is supplied in PBS containing 0.02% sodium azide.
纯化:CIDE-A Antibody is affinity chromatography purified via peptide column.
保存说明:Maintain refrigerated at 2-8°C for up to 2 weeks. For long term storage store at -20°C in small aliquots to prevent freeze-thaw cycles.
NCBI:AF041378
UniProt ID:O60543
Note:For research use only.



别名:CIDE-A Antibody: CIDE-A, Cell death activator CIDE-A, Cell death-inducing DFFA-like effector A
免疫原:CIDE-A antibody was raised against a 18 amino acid peptide near the carboxy terminus of human CIDE-A.The 免疫原 is located within the last 50 amino acids of CIDE-A.
分子量:23 kDa
应用注释:CIDE-A antibody can be used for detection of CIDE-A by Western blot at 2 μg/mL. An approximately 23 kDa band can be detected. Antibody can also be used for immunohistochemistry starting at 5 μg/mL. For immunofluorescence start at 20 μg/mL.Antibody validated: Western Blot in human samples; Immunohistochemistry in human samples and Immunofluorescence in human samples. All other applications and species not yet tested.
防腐剂:CIDE-A Antibody is supplied in PBS containing 0.02% sodium azide.
纯化:CIDE-A Antibody is affinity chromatography purified via peptide column.
保存说明:Maintain refrigerated at 2-8°C for up to 2 weeks. For long term storage store at -20°C in small aliquots to prevent freeze-thaw cycles.
NCBI:AF041378
UniProt ID:O60543
Note:For research use only.

Western blot analysis of CIDE-A in human brain tissue lysate in the absence (A) or presence (B) of peptide (orb1239982P) with CIDE-A antibody at 1:2000 dilution.

Immunofluorescence of CIDE-A in Human Brain cells with CIDE-A antibody at 20 µg/mL.

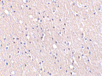
Immunohistochemistry of CIDE-A in human brain tissue with CIDE-A antibody at 5 µg/mL.
风险提示:丁香通仅作为第三方平台,为商家信息发布提供平台空间。用户咨询产品时请注意保护个人信息及财产安全,合理判断,谨慎选购商品,商家和用户对交易行为负责。对于医疗器械类产品,请先查证核实企业经营资质和医疗器械产品注册证情况。
技术资料暂无技术资料 索取技术资料
CIDE-A Antibody抗体,orb1239982,biorbyt
¥3770





