相关产品推荐更多 >
万千商家帮你免费找货
0 人在求购买到急需产品
- 详细信息
- 技术资料
- 抗体名:
TIGIT Antibody [4A11]抗体
- 抗体英文名:
TIGIT Antibody [4A11]
- 靶点:
TIGIT
- 浓度:
1 mg/mL
- 应用范围:
ELISA, FC, ICC, IF, IHC-P, WB
- 适应物种:
Human
- 保质期:
6-12个月
- 抗原来源:
详询
- 目录编号:
orb1240140
- 级别:
科研级
- 库存:
88
- 供应商:
biorbyt
- 标记物:
Unconjugated
- 克隆性:
Monoclonal
- 形态:
Liquid
- 亚型:
IgG1
- 免疫原:
TIGIT antibody was raised against the extracellular domain of human TIGIT
- 规格:
0.02 mg
产品描述:TIGIT Antibody [4A11]
别名:TIGIT Antibody: T-cell immunoreceptor with Ig and ITIM domains, VSIG9, VSTM3, WUCAM
免疫原:TIGIT antibody was raised against the extracellular domain of human TIGIT
克隆性:4A11
分子量:Predicted: 26 kDa Observed: 47 kDa
应用注释:TIGIT antibody can be used for immunohistochemistry starting at 2 μg/mL. For immunofluorescence start at 1 μg/mL. For flow cytometry at 1 μg/ml. For immunocytochemistry at 1 μg/mL. For Western blot at 1 μg/mL. Antibody validated: Western Blot in human samples; Immunohistochemistry in human samples; Immunocytochemistry in human samples; Immunofluorescence in human samples and Flow Cytometry in human samples. All other applications and species not yet tested.
防腐剂:TIGIT Antibody is supplied in PBS containing 0.02% sodium azide and 50% glycerol.
纯化:TIGIT Antibody is supplied as protein A purified IgG1.
保存说明:Maintain refrigerated at 2-8°C for up to 2 weeks. For long term storage store at -20°C in small aliquots to prevent freeze-thaw cycles.
NCBI:NP_776160
UniProt ID:Q495A1
Note:For research use only.
![TIGIT Antibody [4A11]抗体,orb124](https://img1.dxycdn.com/p/s14/2025/1204/207/2952492199463746991.jpg)
![TIGIT Antibody [4A11]抗体,orb124](https://img1.dxycdn.com/p/s14/2025/1204/951/4648383619363746991.gif)
![TIGIT Antibody [4A11]抗体,orb124](https://img1.dxycdn.com/p/s14/2025/1204/621/6710732347263746991.gif)
![TIGIT Antibody [4A11]抗体,orb124](https://img1.dxycdn.com/p/s14/2025/1204/482/2990438809363746991.gif)
![TIGIT Antibody [4A11]抗体,orb124](https://img1.dxycdn.com/p/s14/2025/1204/532/4878367856363746991.gif)
![TIGIT Antibody [4A11]抗体,orb124](https://img1.dxycdn.com/p/s14/2025/1204/576/6372960866263746991.gif)
![TIGIT Antibody [4A11]抗体,orb124](https://img1.dxycdn.com/p/s14/2025/1204/765/0407677291363746991.jpg)
![TIGIT Antibody [4A11]抗体,orb124](https://img1.dxycdn.com/p/s14/2025/1204/092/2958554643263746991.jpg)
别名:TIGIT Antibody: T-cell immunoreceptor with Ig and ITIM domains, VSIG9, VSTM3, WUCAM
免疫原:TIGIT antibody was raised against the extracellular domain of human TIGIT
克隆性:4A11
分子量:Predicted: 26 kDa Observed: 47 kDa
应用注释:TIGIT antibody can be used for immunohistochemistry starting at 2 μg/mL. For immunofluorescence start at 1 μg/mL. For flow cytometry at 1 μg/ml. For immunocytochemistry at 1 μg/mL. For Western blot at 1 μg/mL. Antibody validated: Western Blot in human samples; Immunohistochemistry in human samples; Immunocytochemistry in human samples; Immunofluorescence in human samples and Flow Cytometry in human samples. All other applications and species not yet tested.
防腐剂:TIGIT Antibody is supplied in PBS containing 0.02% sodium azide and 50% glycerol.
纯化:TIGIT Antibody is supplied as protein A purified IgG1.
保存说明:Maintain refrigerated at 2-8°C for up to 2 weeks. For long term storage store at -20°C in small aliquots to prevent freeze-thaw cycles.
NCBI:NP_776160
UniProt ID:Q495A1
Note:For research use only.
![TIGIT Antibody [4A11]抗体,orb124](https://img1.dxycdn.com/p/s14/2025/1204/207/2952492199463746991.jpg)
Western blot analysis of TIGIT in over expressing HEK293 cells using orb1240140 antibody at (A) 0.25 μg/ml, (B) 0.5 μg/ml, and (C) 1 μg/ml.
![TIGIT Antibody [4A11]抗体,orb124](https://img1.dxycdn.com/p/s14/2025/1204/951/4648383619363746991.gif)
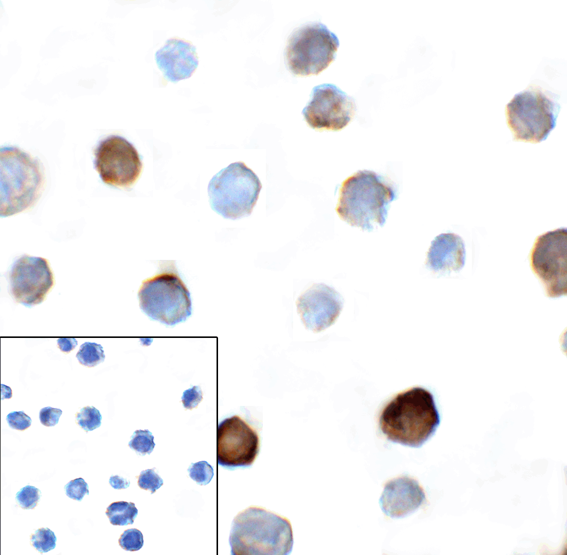
Immunocytochemistry of TIGIT in over expressing HEK293 cells using TIGIT antibody and control mouse IgG antibody (left corner box) at 1 μg/ml.
![TIGIT Antibody [4A11]抗体,orb124](https://img1.dxycdn.com/p/s14/2025/1204/621/6710732347263746991.gif)
Immunofluorescence of TIGIT in over expressing HEK293 cells using TIGIT Antibody at 1 μg/ml. Green: TIGIT Antibody [4A11] (orb1240140) Blue: DAPI staining
![TIGIT Antibody [4A11]抗体,orb124](https://img1.dxycdn.com/p/s14/2025/1204/482/2990438809363746991.gif)
Immunofluorescence of TIGIT in human stomach carcinoma tissue using TIGIT Antibody at 5 μg/ml. Green: TIGIT Antibody [4A11] (orb1240140) Blue: DAPI staining
![TIGIT Antibody [4A11]抗体,orb124](https://img1.dxycdn.com/p/s14/2025/1204/532/4878367856363746991.gif)
Immunohistochemistry of TIGIT in human stomach carcinoma tissue using TIGIT Antibody and control mouse IgG (corner box) at 2 μg/ml.
![TIGIT Antibody [4A11]抗体,orb124](https://img1.dxycdn.com/p/s14/2025/1204/576/6372960866263746991.gif)
Flow cytometry analysis of TIGIT over expressing HEK293 cells using TIGIT antibody at 1 μg/ml. Blue: untransfected HEK293 cells. Yellow: TIGIT over expressing HEK293 cells.
![TIGIT Antibody [4A11]抗体,orb124](https://img1.dxycdn.com/p/s14/2025/1204/765/0407677291363746991.jpg)
Titration curve analysis of TIGIT mAbs to detect recombinant TIGIT in ELISA with orb1240147, orb1240136, orb1240137, orb1240140, orb1240146 and orb1240115 antibodies at decreasing concentrations.
![TIGIT Antibody [4A11]抗体,orb124](https://img1.dxycdn.com/p/s14/2025/1204/092/2958554643263746991.jpg)
A sandwich ELISA was performed using the anti-TIGIT mAb orb1240140 (5 μg/ml) as the capture antibody. Biotin-labeled anti-TIGIT mAb orb1238175 (1 μg/ml) and streptavidin-HRP (0.1 μg/ml) were used for detection. Detection range is from 10 ng to 40 pg.
风险提示:丁香通仅作为第三方平台,为商家信息发布提供平台空间。用户咨询产品时请注意保护个人信息及财产安全,合理判断,谨慎选购商品,商家和用户对交易行为负责。对于医疗器械类产品,请先查证核实企业经营资质和医疗器械产品注册证情况。
技术资料暂无技术资料 索取技术资料
TIGIT Antibody [4A11]抗体,orb1240140,biorbyt
¥3770


![TIGIT Antibody [4A11]抗体,orb1240140,biorbyt](https://img1.dxycdn.com/p/s14/2025/1204/083/6393812890632146991.jpg)







