相关产品推荐更多 >
万千商家帮你免费找货
0 人在求购买到急需产品
- 详细信息
- 技术资料
- 抗体名:
TIM3 Antibody [2A6]抗体
- 抗体英文名:
TIM3 Antibody [2A6]
- 靶点:
HAVCR2
- 浓度:
1 mg/mL
- 应用范围:
ELISA, FC, ICC, IF, IHC-P, WB
- 适应物种:
Human
- 保质期:
6-12个月
- 抗原来源:
详询
- 目录编号:
orb1240157
- 级别:
科研级
- 库存:
88
- 供应商:
biorbyt
- 标记物:
Unconjugated
- 克隆性:
Monoclonal
- 形态:
Liquid
- 亚型:
IgG1,k
- 免疫原:
TIM-3 antibody was raised against the extracellular domain of human TIM-3
- 规格:
0.02 mg
产品描述:TIM3 Antibody [2A6]
别名:TIM-3 Antibody: Hepatitis A virus cellular receptor, HAVCR2, TIM3, CD366, KIM-3, TIMD3, TIMD-3
免疫原:TIM-3 antibody was raised against the extracellular domain of human TIM-3
克隆性:2A6
分子量:Predicted: 33 kDa Observed: 37 kDa
应用注释:TIM-3 antibody can be used for ELISA starting at 0.1 μg/mL. For Western blot start at 1 μg/mL. For Immunocytochemistry start at 1 μg/mL. For Immunofluorescence start at 10 μg/mL. For Immunohistochemistry start at 5 μg/mL. For Flow Cytometry start at 0.1 μg/ml.
防腐剂:TIM-3 Antibody is supplied in PBS containing 0.02% sodium azide and 50% glycerol.
纯化:TIM-3 Antibody is supplied as protein A purified IgG1.
保存说明:Maintain refrigerated at 2-8°C for up to 2 weeks. For long term storage store at -20°C in small aliquots to prevent freeze-thaw cycles.
NCBI:NP_116171
UniProt ID:Q8TDQ0
Note:For research use only.
![TIM3 Antibody [2A6]抗体,orb12401](https://img1.dxycdn.com/p/s14/2025/1204/046/0614296928993746991.gif)
![TIM3 Antibody [2A6]抗体,orb12401](https://img1.dxycdn.com/p/s14/2025/1204/363/0270325783993746991.gif)
![TIM3 Antibody [2A6]抗体,orb12401](https://img1.dxycdn.com/p/s14/2025/1204/299/6798769707993746991.gif)
![TIM3 Antibody [2A6]抗体,orb12401](https://img1.dxycdn.com/p/s14/2025/1204/715/8277561962004746991.gif)
![TIM3 Antibody [2A6]抗体,orb12401](https://img1.dxycdn.com/p/s14/2025/1204/701/4496095678004746991.gif)
![TIM3 Antibody [2A6]抗体,orb12401](https://img1.dxycdn.com/p/s14/2025/1204/648/4876042545004746991.gif)
别名:TIM-3 Antibody: Hepatitis A virus cellular receptor, HAVCR2, TIM3, CD366, KIM-3, TIMD3, TIMD-3
免疫原:TIM-3 antibody was raised against the extracellular domain of human TIM-3
克隆性:2A6
分子量:Predicted: 33 kDa Observed: 37 kDa
应用注释:TIM-3 antibody can be used for ELISA starting at 0.1 μg/mL. For Western blot start at 1 μg/mL. For Immunocytochemistry start at 1 μg/mL. For Immunofluorescence start at 10 μg/mL. For Immunohistochemistry start at 5 μg/mL. For Flow Cytometry start at 0.1 μg/ml.
防腐剂:TIM-3 Antibody is supplied in PBS containing 0.02% sodium azide and 50% glycerol.
纯化:TIM-3 Antibody is supplied as protein A purified IgG1.
保存说明:Maintain refrigerated at 2-8°C for up to 2 weeks. For long term storage store at -20°C in small aliquots to prevent freeze-thaw cycles.
NCBI:NP_116171
UniProt ID:Q8TDQ0
Note:For research use only.
![TIM3 Antibody [2A6]抗体,orb12401](https://img1.dxycdn.com/p/s14/2025/1204/046/0614296928993746991.gif)
Western blot analysis of TIM-3 in overexpressing HEK293 cells TIM-3 antibody at (A) 0.25, (B) 0.5, and (C) 1 μg/ml
![TIM3 Antibody [2A6]抗体,orb12401](https://img1.dxycdn.com/p/s14/2025/1204/363/0270325783993746991.gif)
Immunocytochemistry of TIM-3 in transfected HEK293 cells with TIM-3 antibody at 1 μg/mL. Lower left: Immunocytochemistry in transfected HEK293 cells with control mouse IgG antibody at 1 μg/mL.
![TIM3 Antibody [2A6]抗体,orb12401](https://img1.dxycdn.com/p/s14/2025/1204/299/6798769707993746991.gif)
Immunofluorescence of TIM-3 in transfected HEK293 cells with TIM-3 antibody at 10 μg/mL. Green: TIM-3 Antibody [2A6] (orb1240157) Blue: DAPI staining
![TIM3 Antibody [2A6]抗体,orb12401](https://img1.dxycdn.com/p/s14/2025/1204/715/8277561962004746991.gif)
Immunofluorescence of TIM-3 in human colon carcinoma tissue with TIM-3 antibody at 20 μg/mL. Green: TIM-3 Antibody [2A6] (orb1240157) Blue: DAPI staining
![TIM3 Antibody [2A6]抗体,orb12401](https://img1.dxycdn.com/p/s14/2025/1204/701/4496095678004746991.gif)
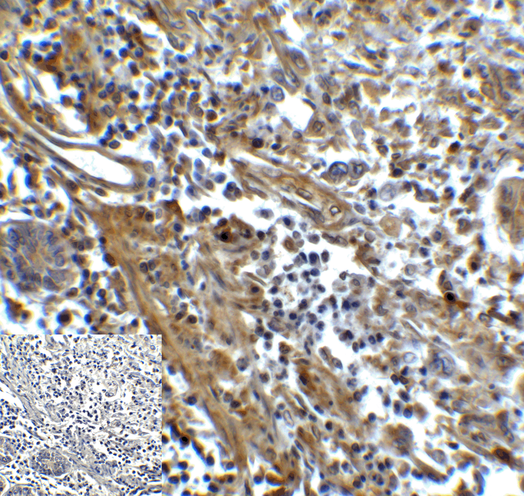
Immunohistochemistry of TIM-3 in human colon carcinoma tissue with TIM-3 antibody at 5 μg/mL.
![TIM3 Antibody [2A6]抗体,orb12401](https://img1.dxycdn.com/p/s14/2025/1204/648/4876042545004746991.gif)
Flow cytometry analysis of TIM-3 overexpressing HEK293 cells using TIM-3 antibody and control mouse IgG antibody at 0.1 μg/ml. Blue: Untransfected HEK293 cells. Yellow: TIM-3 overexpressing HEK293 cells.
风险提示:丁香通仅作为第三方平台,为商家信息发布提供平台空间。用户咨询产品时请注意保护个人信息及财产安全,合理判断,谨慎选购商品,商家和用户对交易行为负责。对于医疗器械类产品,请先查证核实企业经营资质和医疗器械产品注册证情况。
技术资料暂无技术资料 索取技术资料
TIM3 Antibody [2A6]抗体,orb1240157,biorbyt
¥3770


![TIM3 Antibody [2A6]抗体,orb1240157,biorbyt](https://img1.dxycdn.com/p/s14/2025/1204/083/6393812890632146991.jpg)







