相关产品推荐更多 >
万千商家帮你免费找货
0 人在求购买到急需产品
- 详细信息
- 技术资料
- 抗体名:
INPP4B Antibody抗体
- 抗体英文名:
INPP4B Antibody
- 靶点:
INPP4B
- 浓度:
1 mg/mL
- 应用范围:
ELISA, ICC, WB
- 适应物种:
Human, Mouse, Rat
- 保质期:
6-12个月
- 抗原来源:
详询
- 目录编号:
orb1239643
- 级别:
科研级
- 库存:
88
- 供应商:
biorbyt
- 标记物:
Unconjugated
- 克隆性:
Polyclonal
- 形态:
Liquid
- 亚型:
IgG
- 免疫原:
INPP4B antibody was raised against a 17 amino acid peptide near the amino terminus of human INPP4B.The immunogen is located within the last 50 amino acids of INPP4B.
- 规格:
0.02 mg
产品描述:INPP4B Antibody
别名:Inositol polyphosphate-4-phosphatase type II 105kDa
免疫原:INPP4B antibody was raised against a 17 amino acid peptide near the amino terminus of human INPP4B.The 免疫原 is located within the last 50 amino acids of INPP4B.
分子量:Predicted: 102 kDa Observed: 100 kDa
应用注释:INPP4B antibody can be used for detection of INPP4B by Western blot at 1 - 2 μg/ml. Antibody can also be used for immunocytochemistry starting at 2.5 μg/mL. Antibody validated: Western Blot in mouse samples and Immunocytochemistry in mouse samples. All other applications and species not yet tested.
防腐剂:INPP4B antibody is supplied in PBS containing 0.02% sodium azide.
纯化:INPP4B antibody is affinity chromatography purified via peptide column.
保存说明:Maintain refrigerated at 2-8°C for up to 2 weeks. For long term storage store at -20°C in small aliquots to prevent freeze-thaw cycles.
NCBI:NP_003857
UniProt ID:Q9BS68
Note:For research use only.


别名:Inositol polyphosphate-4-phosphatase type II 105kDa
免疫原:INPP4B antibody was raised against a 17 amino acid peptide near the amino terminus of human INPP4B.The 免疫原 is located within the last 50 amino acids of INPP4B.
分子量:Predicted: 102 kDa Observed: 100 kDa
应用注释:INPP4B antibody can be used for detection of INPP4B by Western blot at 1 - 2 μg/ml. Antibody can also be used for immunocytochemistry starting at 2.5 μg/mL. Antibody validated: Western Blot in mouse samples and Immunocytochemistry in mouse samples. All other applications and species not yet tested.
防腐剂:INPP4B antibody is supplied in PBS containing 0.02% sodium azide.
纯化:INPP4B antibody is affinity chromatography purified via peptide column.
保存说明:Maintain refrigerated at 2-8°C for up to 2 weeks. For long term storage store at -20°C in small aliquots to prevent freeze-thaw cycles.
NCBI:NP_003857
UniProt ID:Q9BS68
Note:For research use only.

Western blot analysis of INPP4B in 3T3 cell lysate with INPP4B antibody at 1 µg/ml.

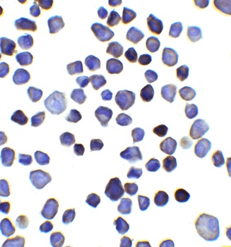
Immunocytochemistry of INPP4B in 3T3 cells with INPP4B antibody at 2.5 µg/ml.
风险提示:丁香通仅作为第三方平台,为商家信息发布提供平台空间。用户咨询产品时请注意保护个人信息及财产安全,合理判断,谨慎选购商品,商家和用户对交易行为负责。对于医疗器械类产品,请先查证核实企业经营资质和医疗器械产品注册证情况。
技术资料暂无技术资料 索取技术资料
INPP4B Antibody抗体,orb1239643,biorbyt
¥3770










