相关产品推荐更多 >
万千商家帮你免费找货
0 人在求购买到急需产品
- 详细信息
- 技术资料
- 抗体名:
NCOA4 (IN) Antibody抗体
- 抗体英文名:
NCOA4 (IN) Antibody
- 靶点:
NCOA4
- 浓度:
1 mg/mL
- 应用范围:
ELISA, IF, IHC, WB
- 适应物种:
Human, Mouse, Rat
- 保质期:
6-12个月
- 抗原来源:
详询
- 目录编号:
orb1238076
- 级别:
科研级
- 库存:
88
- 供应商:
biorbyt
- 标记物:
Unconjugated
- 克隆性:
Polyclonal
- 形态:
Liquid
- 亚型:
IgG
- 免疫原:
Anti-NCOA4 antibody (orb1238076) was raised against a peptide corresponding to 13 amino acids near the center of human NCOA4. The immunogen is located within 420-470 amino acids of NCOA4.
- 规格:
0.02 mg
产品描述:NCOA4 (IN) Antibody
别名:NCOA4 Antibody: Nuclear receptor coactivator 4, NCoA-4, Androgen receptor coactivator 70 kDa protein, 70 kDa AR-activator, 70 kDa androgen receptor coactivator, Androgen receptor-associated protein of 70 kDa, Ret-activating protein ELE1, ARA70, ELE1, RFG
免疫原:Anti-NCOA4 antibody (orb1238076) was raised against a peptide corresponding to 13 amino acids near the center of human NCOA4. The 免疫原 is located within 420-470 amino acids of NCOA4.
预测反应性:Canine, Equine, Monkey, Primate
分子量:Predicted: 70-74 kDObserved: 70-74 kD
防腐剂:NCOA4 Antibody is supplied in PBS containing 0.02% sodium azide.
纯化:NCOA4 Antibody is affinity chromatography purified via peptide column.
保存说明:Maintain refrigerated at 2-8°C for up to 2 weeks. For long term storage store at -20°C in small aliquots to prevent freeze-thaw cycles.
NCBI:Q13772
UniProt ID:Q13772
Note:For research use only.







别名:NCOA4 Antibody: Nuclear receptor coactivator 4, NCoA-4, Androgen receptor coactivator 70 kDa protein, 70 kDa AR-activator, 70 kDa androgen receptor coactivator, Androgen receptor-associated protein of 70 kDa, Ret-activating protein ELE1, ARA70, ELE1, RFG
免疫原:Anti-NCOA4 antibody (orb1238076) was raised against a peptide corresponding to 13 amino acids near the center of human NCOA4. The 免疫原 is located within 420-470 amino acids of NCOA4.
预测反应性:Canine, Equine, Monkey, Primate
分子量:Predicted: 70-74 kDObserved: 70-74 kD
防腐剂:NCOA4 Antibody is supplied in PBS containing 0.02% sodium azide.
纯化:NCOA4 Antibody is affinity chromatography purified via peptide column.
保存说明:Maintain refrigerated at 2-8°C for up to 2 weeks. For long term storage store at -20°C in small aliquots to prevent freeze-thaw cycles.
NCBI:Q13772
UniProt ID:Q13772
Note:For research use only.

Western Blot Validation in Human Cell Lines. Loading: 15 µg of lysates per lane. Antibodies: NCOA4 orb1238076, 0.5 µg/mL, 1 h incubation at RT in 5% NFDM/TBST. Secondary: Goat anti-rabbit IgG HRP conjugate at 1:10000 dilution.

Western Blot Validation in Mouse Tissues. Loading: 15 µg of lysates per lane. Antibodies: NCOA4 orb1238076, 1 µg/mL, 1 h incubation at RT in 5% NFDM/TBST. Secondary: Goat anti-rabbit IgG HRP conjugate at 1:10000 dilution.

Western Blot Validation in Rat Tissues. Loading: 15 µg of lysates per lane. Antibodies: NCOA4 orb1238076, 1 µg/mL, 1 h incubation at RT in 5% NFDM/TBST. Secondary: Goat anti-rabbit IgG HRP conjugate at 1:10000 dilution.

Immunofluorescence Validation of NCOA4 in Daudi Cells. Immunofluorescent analysis of 4% Fixative-fixed Daudi cells labeling NCOA4 with orb1238076 at 20 µg/mL, followed by goat anti-rabbit IgG secondary antibody at 1/500 dilution (green) and DAPI staining (blue).

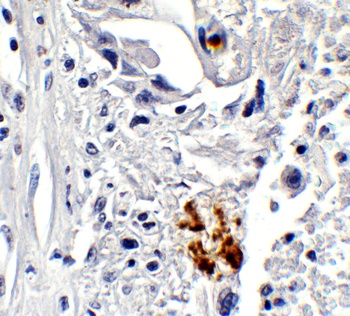
Immunohistochemistry Validation of NCOA4 in Human lung. Immunohistochemical analysis of paraffin-embedded human mouse tissue using anti-NCOA4 antibody (orb1238076) at 1 µg/mL. Tissue was fixed with formaldehyde and blocked with 10% serum for 1 h at RT; antigen retrieval was by heat mediation with a citrate buffer (pH6). Samples were incubated with primary antibody overnight at 4 ˚C. A goat anti-rabbit IgG H&L (HRP) at 1/250 was used as secondary. Counter stained with Hematoxylin.

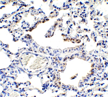
Immunohistochemistry Validation of NCOA4 in Mouse lung. Immunohistochemical analysis of paraffin-embedded mouse tissue using anti-NCOA4 antibody (orb1238076) at 1 µg/mL. Tissue was fixed with formaldehyde and blocked with 10% serum for 1 h at RT; antigen retrieval was by heat mediation with a citrate buffer (pH6). Samples were incubated with primary antibody overnight at 4 ˚C. A goat anti-rabbit IgG H&L (HRP) at 1/250 was used as secondary. Counter stained with Hematoxylin.

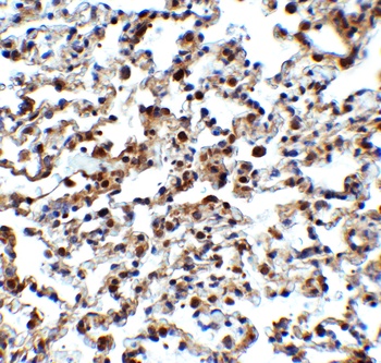
Immunohistochemistry Validation of NCOA4 in Rat lung. Immunohistochemical analysis of paraffin-embedded rat tissue using anti-NCOA4 antibody (orb1238076) at 1 µg/mL. Tissue was fixed with formaldehyde and blocked with 10% serum for 1 h at RT; antigen retrieval was by heat mediation with a citrate buffer (pH6). Samples were incubated with primary antibody overnight at 4 ˚C. A goat anti-rabbit IgG H&L (HRP) at 1/250 was used as secondary. Counter stained with Hematoxylin.
风险提示:丁香通仅作为第三方平台,为商家信息发布提供平台空间。用户咨询产品时请注意保护个人信息及财产安全,合理判断,谨慎选购商品,商家和用户对交易行为负责。对于医疗器械类产品,请先查证核实企业经营资质和医疗器械产品注册证情况。
技术资料暂无技术资料 索取技术资料
NCOA4 (IN) Antibody抗体,orb1238076,biorbyt
¥3770










