相关产品推荐更多 >
万千商家帮你免费找货
0 人在求购买到急需产品
- 详细信息
- 技术资料
- 抗体名:
TSC22D3 Antibody抗体
- 抗体英文名:
TSC22D3 Antibody
- 靶点:
TSC22D3
- 浓度:
1 mg/mL
- 应用范围:
ELISA, IF, IHC-P, WB
- 适应物种:
Human, Mouse
- 保质期:
6-12个月
- 抗原来源:
详询
- 目录编号:
orb1238663
- 级别:
科研级
- 库存:
88
- 供应商:
biorbyt
- 标记物:
Unconjugated
- 克隆性:
Polyclonal
- 形态:
Liquid
- 亚型:
IgG
- 免疫原:
Rabbit polyclonal TSC22D3 antibody was raised against a 16 amino acid peptide near the amino terminus of human TSC22D3.The immunogen is located within amino acids 40 - 90 of TSC22D3.
- 规格:
0.02 mg
产品描述:TSC22D3 Antibody
别名:TSC22D3 Antibody: DIP, GILZ, hDIP, DSIPI, TSC-22R, TSC22 domain family protein 3, DSIP-immunoreactive peptide, Protein DIP
免疫原:Rabbit polyclonal TSC22D3 antibody was raised against a 16 amino acid peptide near the amino terminus of human TSC22D3.The 免疫原 is located within amino acids 40 - 90 of TSC22D3.
分子量:Predicted: 22 kDa Observed: 23 kDa
应用注释:TSC22D3 antibody can be used for detection of TSC22D3 by Western blot at 1 - 2 μg/mL.Antibody validated: Western Blot in human samples; Immunohistochemistry in human samples and Immunofluorescence in human samples. All other applications and species not yet tested.
防腐剂:TSC22D3 Antibody is supplied in PBS containing 0.02% sodium azide.
纯化:TSC22D3 Antibody is affinity chromatography purified via peptide column.
保存说明:Antibody can be stored at 4°C up to one year. Antibodies should not be exposed to prolonged high temperatures
NCBI:NP_932174
UniProt ID:Q99576
Note:For research use only.



别名:TSC22D3 Antibody: DIP, GILZ, hDIP, DSIPI, TSC-22R, TSC22 domain family protein 3, DSIP-immunoreactive peptide, Protein DIP
免疫原:Rabbit polyclonal TSC22D3 antibody was raised against a 16 amino acid peptide near the amino terminus of human TSC22D3.The 免疫原 is located within amino acids 40 - 90 of TSC22D3.
分子量:Predicted: 22 kDa Observed: 23 kDa
应用注释:TSC22D3 antibody can be used for detection of TSC22D3 by Western blot at 1 - 2 μg/mL.Antibody validated: Western Blot in human samples; Immunohistochemistry in human samples and Immunofluorescence in human samples. All other applications and species not yet tested.
防腐剂:TSC22D3 Antibody is supplied in PBS containing 0.02% sodium azide.
纯化:TSC22D3 Antibody is affinity chromatography purified via peptide column.
保存说明:Antibody can be stored at 4°C up to one year. Antibodies should not be exposed to prolonged high temperatures
NCBI:NP_932174
UniProt ID:Q99576
Note:For research use only.

Western blot analysis of TSC22D3 in human small intestine tissue lysate with TSC22D3 antibody at (A) 1 and (B) 2 µg/mL.

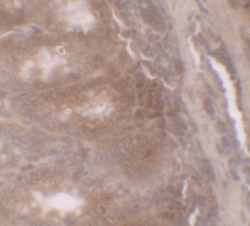
Immunohistochemistry of TSC22D3 in human small intestine tissue with TSC22D3 antibody at 5 µg/ml.

Immunofluorescence of TSC22D3 in human small intestine tissue with TSC22D3 antibody at 20 µg/ml.
风险提示:丁香通仅作为第三方平台,为商家信息发布提供平台空间。用户咨询产品时请注意保护个人信息及财产安全,合理判断,谨慎选购商品,商家和用户对交易行为负责。对于医疗器械类产品,请先查证核实企业经营资质和医疗器械产品注册证情况。
技术资料暂无技术资料 索取技术资料
TSC22D3 Antibody抗体,orb1238663,biorbyt
¥3770










