相关产品推荐更多 >
万千商家帮你免费找货
0 人在求购买到急需产品
- 详细信息
- 技术资料
- 抗体名:
TREX1 Antibody抗体
- 抗体英文名:
TREX1 Antibody
- 靶点:
TREX1
- 浓度:
1 mg/mL
- 应用范围:
ELISA, IF, IHC-P, WB
- 适应物种:
Human, Mouse, Rat
- 保质期:
6-12个月
- 抗原来源:
详询
- 目录编号:
orb1238690
- 级别:
科研级
- 库存:
88
- 供应商:
biorbyt
- 标记物:
Unconjugated
- 克隆性:
Polyclonal
- 形态:
Liquid
- 亚型:
IgG
- 免疫原:
TREX1 antibody was raised against a 15 amino acid synthetic peptide near the center of human TREX1.The immunogen is located within amino acids 220 - 270 of TREX1.
- 规格:
0.02 mg
产品描述:TREX1 Antibody
别名:TREX1 Antibody: CRV, AGS1, DRN3, HERNS, Three prime repair exonuclease 1, DNase III
免疫原:TREX1 antibody was raised against a 15 amino acid synthetic peptide near the center of human TREX1.The 免疫原 is located within amino acids 220 - 270 of TREX1.
预测反应性:Bovine
分子量:Predicted: 33, 35, 41 kDa Observed: 31 kDa
应用注释:TREX1 antibody can be used for detection of TREX1 by Western blot at 0.5 and 1 μg/mL. Antibody can also be used for immunohistochemistry starting at 2.5 μg/mL. For immunofluorescence start at 20 μg/mL.Antibody validated: Western Blot in human samples; Immunohistochemistry in human samples and Immunofluorescence in human samples. All other applications and species not yet tested.
防腐剂:TREX1 Antibody is supplied in PBS containing 0.02% sodium azide.
纯化:TREX1 Antibody is affinity chromatography purified via peptide column.
保存说明:Maintain refrigerated at 2-8°C for up to 2 weeks. For long term storage store at -20°C in small aliquots to prevent freeze-thaw cycles.
NCBI:NP_057465
UniProt ID:Q9NSU2
Note:For research use only.



别名:TREX1 Antibody: CRV, AGS1, DRN3, HERNS, Three prime repair exonuclease 1, DNase III
免疫原:TREX1 antibody was raised against a 15 amino acid synthetic peptide near the center of human TREX1.The 免疫原 is located within amino acids 220 - 270 of TREX1.
预测反应性:Bovine
分子量:Predicted: 33, 35, 41 kDa Observed: 31 kDa
应用注释:TREX1 antibody can be used for detection of TREX1 by Western blot at 0.5 and 1 μg/mL. Antibody can also be used for immunohistochemistry starting at 2.5 μg/mL. For immunofluorescence start at 20 μg/mL.Antibody validated: Western Blot in human samples; Immunohistochemistry in human samples and Immunofluorescence in human samples. All other applications and species not yet tested.
防腐剂:TREX1 Antibody is supplied in PBS containing 0.02% sodium azide.
纯化:TREX1 Antibody is affinity chromatography purified via peptide column.
保存说明:Maintain refrigerated at 2-8°C for up to 2 weeks. For long term storage store at -20°C in small aliquots to prevent freeze-thaw cycles.
NCBI:NP_057465
UniProt ID:Q9NSU2
Note:For research use only.

Western blot analysis of TREX1 in human spleen tissue lysate with TREX1 antibody at (A) 0.5 and (B) 1 µg/mL.

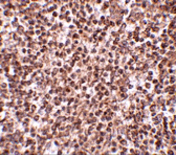
Immunohistochemistry of TREX1 in human spleen tissue with TREX1 antibody at 2.5 µg/mL.

Immunofluorescence of TREX1 in Human Spleen tissue with TREX1 antibody at 20 µg/mL.
风险提示:丁香通仅作为第三方平台,为商家信息发布提供平台空间。用户咨询产品时请注意保护个人信息及财产安全,合理判断,谨慎选购商品,商家和用户对交易行为负责。对于医疗器械类产品,请先查证核实企业经营资质和医疗器械产品注册证情况。
技术资料暂无技术资料 索取技术资料
TREX1 Antibody抗体,orb1238690,biorbyt
¥3770










