相关产品推荐更多 >
万千商家帮你免费找货
0 人在求购买到急需产品
- 详细信息
- 技术资料
- 抗体名:
SPINSTER Antibody抗体
- 抗体英文名:
SPINSTER Antibody
- 靶点:
SPNS1
- 浓度:
1 mg/mL
- 应用范围:
ELISA, IF, IHC-P, WB
- 适应物种:
Human
- 保质期:
6-12个月
- 抗原来源:
详询
- 目录编号:
orb1238903
- 级别:
科研级
- 库存:
88
- 供应商:
biorbyt
- 标记物:
Unconjugated
- 克隆性:
Polyclonal
- 形态:
Liquid
- 亚型:
IgG
- 免疫原:
SPINSTER antibody was raised against an 18 amino acid peptide near the amino terminus of human SPINSTER.The immunogen is located within the first 50 amino acids of SPINSTER.
- 规格:
0.02 mg
产品描述:SPINSTER Antibody
别名:SPINSTER Antibody: LAT, nrs, SPIN1, SPINL, HSpin1, PP2030, PP20300, Protein spinster homolog 1
免疫原:SPINSTER antibody was raised against an 18 amino acid peptide near the amino terminus of human SPINSTER.The 免疫原 is located within the first 50 amino acids of SPINSTER.
预测反应性:Bovine, Mouse, Rat
分子量:Predicted: 58 kDa Observed: 56 kDa
应用注释:SPINSTER antibody can be used for detection of SPINSTER by Western blot at 1 - 2 μg/ml. Antibody can also be used for immunohistochemistry starting at 2.5 μg/mL. For immunofluorescence start at 20 μg/mL.Antibody validated: Western Blot in human samples; Immunohistochemistry in human samples and Immunofluorescence in human samples. All other applications and species not yet tested.
防腐剂:SPINSTER antibody is supplied in PBS containing 0.02% sodium azide.
纯化:SPINSTER antibody is affinity chromatography purified via peptide column.
保存说明:Maintain refrigerated at 2-8°C for up to 2 weeks. For long term storage store at -20°C in small aliquots to prevent freeze-thaw cycles.
NCBI:NP_001135920
UniProt ID:Q9H2V7
Note:For research use only.



别名:SPINSTER Antibody: LAT, nrs, SPIN1, SPINL, HSpin1, PP2030, PP20300, Protein spinster homolog 1
免疫原:SPINSTER antibody was raised against an 18 amino acid peptide near the amino terminus of human SPINSTER.The 免疫原 is located within the first 50 amino acids of SPINSTER.
预测反应性:Bovine, Mouse, Rat
分子量:Predicted: 58 kDa Observed: 56 kDa
应用注释:SPINSTER antibody can be used for detection of SPINSTER by Western blot at 1 - 2 μg/ml. Antibody can also be used for immunohistochemistry starting at 2.5 μg/mL. For immunofluorescence start at 20 μg/mL.Antibody validated: Western Blot in human samples; Immunohistochemistry in human samples and Immunofluorescence in human samples. All other applications and species not yet tested.
防腐剂:SPINSTER antibody is supplied in PBS containing 0.02% sodium azide.
纯化:SPINSTER antibody is affinity chromatography purified via peptide column.
保存说明:Maintain refrigerated at 2-8°C for up to 2 weeks. For long term storage store at -20°C in small aliquots to prevent freeze-thaw cycles.
NCBI:NP_001135920
UniProt ID:Q9H2V7
Note:For research use only.

Western blot analysis of SPINSTER in HepG2 cell lysate with SPINSTER antibody at (A) 1 and (B) 2 µg/ml.

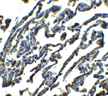
Immunohistochemistry of SPINSTER in human lung tissue with SPINSTER antibody at 2.5 µg/ml.

Immunofluorescence of SPINSTER in human lung tissue with SPINSTER antibody at 20 µg/ml.
风险提示:丁香通仅作为第三方平台,为商家信息发布提供平台空间。用户咨询产品时请注意保护个人信息及财产安全,合理判断,谨慎选购商品,商家和用户对交易行为负责。对于医疗器械类产品,请先查证核实企业经营资质和医疗器械产品注册证情况。
技术资料暂无技术资料 索取技术资料
SPINSTER Antibody抗体,orb1238903,biorbyt
¥3770










