相关产品推荐更多 >
万千商家帮你免费找货
0 人在求购买到急需产品
- 详细信息
- 技术资料
- 抗体名:
SIRT2 Antibody抗体
- 抗体英文名:
SIRT2 Antibody
- 靶点:
SIRT2
- 浓度:
1 mg/mL
- 应用范围:
ELISA, IF, IHC-P, WB
- 适应物种:
Human, Mouse, Rat
- 保质期:
6-12个月
- 抗原来源:
详询
- 目录编号:
orb1238965
- 级别:
科研级
- 库存:
88
- 供应商:
biorbyt
- 标记物:
Unconjugated
- 克隆性:
Polyclonal
- 形态:
Liquid
- 亚型:
IgG
- 免疫原:
SIRT2 antibody was raised against a 19 amino acid synthetic peptide near the carboxy terminus of the human SIRT2.The immunogen is located within the last 50 amino acids of SIRT2.
- 规格:
0.02 mg
产品描述:SIRT2 Antibody
别名:SIRT2 Antibody: SIR2, SIR2L, SIR2L2, NAD-dependent protein deacetylase sirtuin-2, Regulatory protein SIR2 homolog 2
免疫原:SIRT2 antibody was raised against a 19 amino acid synthetic peptide near the carboxy terminus of the human SIRT2.The 免疫原 is located within the last 50 amino acids of SIRT2.
预测反应性:Rabbit
分子量:Predicted: 43 kDa Observed: 52 kDa
应用注释:SIRT2 antibody can be used for detection of SIRT2 by Western blot at 1 - 2 μg/mL. Antibody can also be used for immunohistochemistry starting at 2.5 μg/mL. For immunofluorescence start at 5 μg/mL.Antibody validated: Western Blot in mouse samples; Immunohistochemistry in human samples and Immunofluorescence in human samples. All other applications and species not yet tested.
防腐剂:SIRT2 Antibody is supplied in PBS containing 0.02% sodium azide.
纯化:SIRT2 Antibody is affinity chromatography purified via peptide column.
保存说明:Maintain refrigerated at 2-8°C for up to 2 weeks. For long term storage store at -20°C in small aliquots to prevent freeze-thaw cycles.
NCBI:NP_036369
UniProt ID:Q8IXJ6
Note:For research use only.



别名:SIRT2 Antibody: SIR2, SIR2L, SIR2L2, NAD-dependent protein deacetylase sirtuin-2, Regulatory protein SIR2 homolog 2
免疫原:SIRT2 antibody was raised against a 19 amino acid synthetic peptide near the carboxy terminus of the human SIRT2.The 免疫原 is located within the last 50 amino acids of SIRT2.
预测反应性:Rabbit
分子量:Predicted: 43 kDa Observed: 52 kDa
应用注释:SIRT2 antibody can be used for detection of SIRT2 by Western blot at 1 - 2 μg/mL. Antibody can also be used for immunohistochemistry starting at 2.5 μg/mL. For immunofluorescence start at 5 μg/mL.Antibody validated: Western Blot in mouse samples; Immunohistochemistry in human samples and Immunofluorescence in human samples. All other applications and species not yet tested.
防腐剂:SIRT2 Antibody is supplied in PBS containing 0.02% sodium azide.
纯化:SIRT2 Antibody is affinity chromatography purified via peptide column.
保存说明:Maintain refrigerated at 2-8°C for up to 2 weeks. For long term storage store at -20°C in small aliquots to prevent freeze-thaw cycles.
NCBI:NP_036369
UniProt ID:Q8IXJ6
Note:For research use only.

Western blot analysis of SIRT2 in Mouse brain lysate with SIRT2 antibody at (A) 1 and (B) 2 µg/mL.

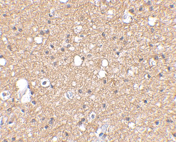
Immunohistochemical staining of Human Brain tissue using SIRT2 antibody at 2.5 µg/mL.

Immunofluorescence of SIRT2 in Human Brain tissue with SIRT2 antibody at 5 µg/mL.
风险提示:丁香通仅作为第三方平台,为商家信息发布提供平台空间。用户咨询产品时请注意保护个人信息及财产安全,合理判断,谨慎选购商品,商家和用户对交易行为负责。对于医疗器械类产品,请先查证核实企业经营资质和医疗器械产品注册证情况。
技术资料暂无技术资料 索取技术资料
SIRT2 Antibody抗体,orb1238965,biorbyt
¥3770










