相关产品推荐更多 >
万千商家帮你免费找货
0 人在求购买到急需产品
- 详细信息
- 技术资料
- 抗体名:
SDPR Antibody抗体
- 抗体英文名:
SDPR Antibody
- 靶点:
SDPR
- 浓度:
1 mg/mL
- 应用范围:
ELISA, IF, IHC-P, WB
- 适应物种:
Human
- 保质期:
6-12个月
- 抗原来源:
详询
- 目录编号:
orb1239002
- 级别:
科研级
- 库存:
88
- 供应商:
biorbyt
- 标记物:
Unconjugated
- 克隆性:
Polyclonal
- 形态:
Liquid
- 亚型:
IgG
- 免疫原:
Rabbit polyclonal SDPR antibody was raised against an 18 amino acid peptide near the amino terminus of human SDPR.The immunogen is located within the first 50 amino acids of SDPR.
- 规格:
0.02 mg
产品描述:SDPR Antibody
别名:SDPR Antibody: SDR, CAVIN2, PS-p68, cavin-2, Serum deprivation-response protein, Cavin-2
免疫原:Rabbit polyclonal SDPR antibody was raised against an 18 amino acid peptide near the amino terminus of human SDPR.The 免疫原 is located within the first 50 amino acids of SDPR.
分子量:Predicted: 22, 33, 43 kDa kDa Observed: 30 kDa
应用注释:SDPR antibody can be used for detection of SDPR by Western blot at 1 - 2 μg/mL.Antibody validated: Western Blot in human samples; Immunohistochemistry in human samples and Immunofluorescence in human samples. All other applications and species not yet tested.
防腐剂:SDPR Antibody is supplied in PBS containing 0.02% sodium azide.
纯化:SDPR Antibody is affinity chromatography purified via peptide column.
保存说明:Maintain refrigerated at 2-8°C for up to 2 weeks. For long term storage store at -20°C in small aliquots to prevent freeze-thaw cycles.
NCBI:NP_004648
UniProt ID:O95810
Note:For research use only.



别名:SDPR Antibody: SDR, CAVIN2, PS-p68, cavin-2, Serum deprivation-response protein, Cavin-2
免疫原:Rabbit polyclonal SDPR antibody was raised against an 18 amino acid peptide near the amino terminus of human SDPR.The 免疫原 is located within the first 50 amino acids of SDPR.
分子量:Predicted: 22, 33, 43 kDa kDa Observed: 30 kDa
应用注释:SDPR antibody can be used for detection of SDPR by Western blot at 1 - 2 μg/mL.Antibody validated: Western Blot in human samples; Immunohistochemistry in human samples and Immunofluorescence in human samples. All other applications and species not yet tested.
防腐剂:SDPR Antibody is supplied in PBS containing 0.02% sodium azide.
纯化:SDPR Antibody is affinity chromatography purified via peptide column.
保存说明:Maintain refrigerated at 2-8°C for up to 2 weeks. For long term storage store at -20°C in small aliquots to prevent freeze-thaw cycles.
NCBI:NP_004648
UniProt ID:O95810
Note:For research use only.

Western blot analysis of SDPR in HeLa cell lysate with SDPR antibody at (A) 1 and (B) 2 µg/mL.

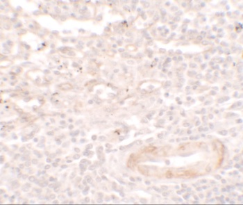
Immunohistochemistry of SDPR in human spleen tissue with SDPR antibody at 5 µg/ml.

Immunofluorescence of SDPR in human spleen tissue with SDPR antibody at 20 µg/ml.
风险提示:丁香通仅作为第三方平台,为商家信息发布提供平台空间。用户咨询产品时请注意保护个人信息及财产安全,合理判断,谨慎选购商品,商家和用户对交易行为负责。对于医疗器械类产品,请先查证核实企业经营资质和医疗器械产品注册证情况。
技术资料暂无技术资料 索取技术资料
SDPR Antibody抗体,orb1239002,biorbyt
¥3770










