相关产品推荐更多 >
万千商家帮你免费找货
0 人在求购买到急需产品
- 详细信息
- 技术资料
- 抗体名:
CD80 Antibody [10A1]抗体
- 抗体英文名:
CD80 Antibody [10A1]
- 靶点:
CD80
- 浓度:
1 mg/mL
- 应用范围:
ELISA, FC, ICC, IF, IHC-P
- 适应物种:
Human
- 保质期:
6-12个月
- 抗原来源:
详询
- 目录编号:
orb1239274
- 级别:
科研级
- 库存:
88
- 供应商:
biorbyt
- 标记物:
Unconjugated
- 克隆性:
Monoclonal
- 形态:
Liquid
- 亚型:
IgG2b
- 免疫原:
CD80 antibody was raised against the extracellular domain of human CD80.
- 规格:
0.02 mg
产品描述:CD80 Antibody [10A1]
别名:CD80 Antibody: CD80 molecule, B7, BB1, B7-1, B7.1, LAB7, CD28LG, CD28LG1
免疫原:CD80 antibody was raised against the extracellular domain of human CD80.
克隆性:10A1
分子量:Predicted: 32 kDa Observed: 50 kDa
应用注释:CD80 antibody can be used for immunohistochemistry starting at 2 - 5 μg/mL. For immunofluorescence start at 5 μg/mL. Flow cytometry at 10 μg/ml.Antibody validated: Immunohistochemistry in human samples; Immunocytochemistry in human samples; Immunofluorescence in human samples and Flow Cytometry in mouse samples. All other applications and species not yet tested.
防腐剂:CD80 Antibody is supplied in PBS containing 0.02% sodium azide and 50% glycerol.
纯化:CD80 Antibody is supplied as protein A purified IgG2b.
保存说明:Maintain refrigerated at 2-8°C for up to 2 weeks. For long term storage store at -20°C in small aliquots to prevent freeze-thaw cycles.
NCBI:NP_005182
UniProt ID:P33681
Note:For research use only.
![CD80 Antibody [10A1]抗体,orb1239](https://img1.dxycdn.com/p/s14/2025/1204/730/8237017833229646991.gif)
![CD80 Antibody [10A1]抗体,orb1239](https://img1.dxycdn.com/p/s14/2025/1204/770/2302163509229646991.gif)
![CD80 Antibody [10A1]抗体,orb1239](https://img1.dxycdn.com/p/s14/2025/1204/644/4245189589229646991.gif)
![CD80 Antibody [10A1]抗体,orb1239](https://img1.dxycdn.com/p/s14/2025/1204/687/6908209404329646991.gif)
![CD80 Antibody [10A1]抗体,orb1239](https://img1.dxycdn.com/p/s14/2025/1204/751/6923816792329646991.gif)
![CD80 Antibody [10A1]抗体,orb1239](https://img1.dxycdn.com/p/s14/2025/1204/856/0464450772229646991.gif)
![CD80 Antibody [10A1]抗体,orb1239](https://img1.dxycdn.com/p/s14/2025/1204/904/4099561040229646991.gif)
别名:CD80 Antibody: CD80 molecule, B7, BB1, B7-1, B7.1, LAB7, CD28LG, CD28LG1
免疫原:CD80 antibody was raised against the extracellular domain of human CD80.
克隆性:10A1
分子量:Predicted: 32 kDa Observed: 50 kDa
应用注释:CD80 antibody can be used for immunohistochemistry starting at 2 - 5 μg/mL. For immunofluorescence start at 5 μg/mL. Flow cytometry at 10 μg/ml.Antibody validated: Immunohistochemistry in human samples; Immunocytochemistry in human samples; Immunofluorescence in human samples and Flow Cytometry in mouse samples. All other applications and species not yet tested.
防腐剂:CD80 Antibody is supplied in PBS containing 0.02% sodium azide and 50% glycerol.
纯化:CD80 Antibody is supplied as protein A purified IgG2b.
保存说明:Maintain refrigerated at 2-8°C for up to 2 weeks. For long term storage store at -20°C in small aliquots to prevent freeze-thaw cycles.
NCBI:NP_005182
UniProt ID:P33681
Note:For research use only.
![CD80 Antibody [10A1]抗体,orb1239](https://img1.dxycdn.com/p/s14/2025/1204/730/8237017833229646991.gif)
Immunocytochemistry of CD80 in transfected HEK293 cells with CD80 antibody at 1 μg/mL. Lower left: Immunocytochemistry in transfected HEK293 cells with control mouse IgG antibody at 1 μg/mL.
![CD80 Antibody [10A1]抗体,orb1239](https://img1.dxycdn.com/p/s14/2025/1204/770/2302163509229646991.gif)
Immunofluorescence of CD80 in transfected HEK293 cells with CD80 antibody at 2 μg/mL. Red: CD80 Antibody [10A1] (orb1239274) Blue: DAPI staining
![CD80 Antibody [10A1]抗体,orb1239](https://img1.dxycdn.com/p/s14/2025/1204/644/4245189589229646991.gif)
Immunofluorescence of CD80 in human stomach carcinoma tissue with CD80 antibody at 20 μg/mL. Red: CD80 Antibody [10A1] (orb1239274) Blue: DAPI staining
![CD80 Antibody [10A1]抗体,orb1239](https://img1.dxycdn.com/p/s14/2025/1204/687/6908209404329646991.gif)
Immunofluorescence of CD80 in human tonsil tissue with CD80 antibody at 2 μg/mL. Red: CD80 Antibody [10A1] (orb1239274) Blue: DAPI staining
![CD80 Antibody [10A1]抗体,orb1239](https://img1.dxycdn.com/p/s14/2025/1204/751/6923816792329646991.gif)
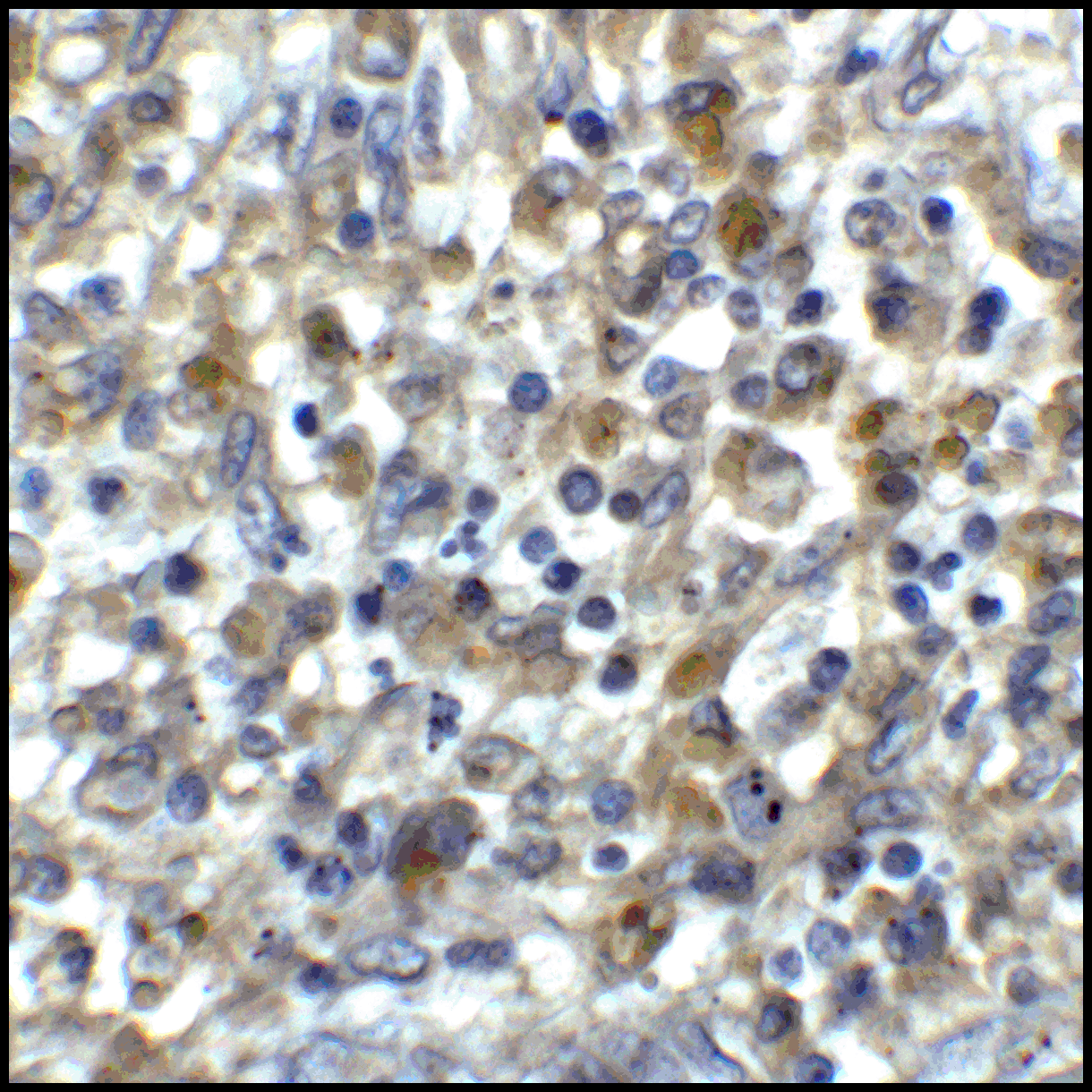
Immunohistochemistry of CD80 in human stomach carcinoma tissue with CD80 antibody at 5 μg/mL.
![CD80 Antibody [10A1]抗体,orb1239](https://img1.dxycdn.com/p/s14/2025/1204/856/0464450772229646991.gif)
Immunohistochemistry of CD80 in human tonsil tissue with CD80 antibody at 5 μg/mL.
![CD80 Antibody [10A1]抗体,orb1239](https://img1.dxycdn.com/p/s14/2025/1204/904/4099561040229646991.gif)
Flow cytometry analysis of CD80 overexpressing HEK293 cells using CD80 antibody and control mouse IgG antibody at 10 μg/ml. Blue: Untransfected HEK293 cells. Yellow: CD80 overexpressing HEK293 cells.
风险提示:丁香通仅作为第三方平台,为商家信息发布提供平台空间。用户咨询产品时请注意保护个人信息及财产安全,合理判断,谨慎选购商品,商家和用户对交易行为负责。对于医疗器械类产品,请先查证核实企业经营资质和医疗器械产品注册证情况。
技术资料暂无技术资料 索取技术资料
CD80 Antibody [10A1]抗体,orb1239274,biorbyt
¥3770


![CD80 Antibody [10A1]抗体,orb1239274,biorbyt](https://img1.dxycdn.com/p/s14/2025/1204/437/6547498850212146991.jpg)







