相关产品推荐更多 >
万千商家帮你免费找货
0 人在求购买到急需产品
- 详细信息
- 技术资料
- 抗体名:
Cystatin C Antibody抗体
- 抗体英文名:
Cystatin C Antibody
- 靶点:
Cystatin C
- 应用范围:
IHC, WB
- 宿主:
Mouse
- 适应物种:
Human
- 保质期:
6-12个月
- 抗原来源:
详询
- 目录编号:
orb1335109
- 级别:
科研级
- 库存:
88
- 供应商:
biorbyt
- 标记物:
Unconjugated
- 克隆性:
Monoclonal
- 亚型:
IgG1
- 免疫原:
Full length human recombinant protein of human CST3(NP_000090) produced in HEK293T cell.
- 规格:
100 ug
产品描述:Mouse monoclonal antibody to Cystatin C (CST3)
免疫原:Full length human recombinant protein of human CST3(NP_000090) produced in HEK293T cell.
克隆性:OTI2C8
分子量:13.3 kDa
应用稀释比例:WB 1:2000, IHC 1:150
应用注释:For reconstitution, we recommend adding 100uL distilled water to a final antibody concentration of about 1 mg/mL. To use this carrier-free antibody for conjugation experiment, we strongly recommend performing another round of desalting process.
保存说明:Maintain refrigerated at 2-8°C for up to 2 weeks. For long term storage store at -20°C in small aliquots to prevent freeze-thaw cycles.
NCBI:NM_000099
UniProt ID:P01034
Note:For research use only.










免疫原:Full length human recombinant protein of human CST3(NP_000090) produced in HEK293T cell.
克隆性:OTI2C8
分子量:13.3 kDa
应用稀释比例:WB 1:2000, IHC 1:150
应用注释:For reconstitution, we recommend adding 100uL distilled water to a final antibody concentration of about 1 mg/mL. To use this carrier-free antibody for conjugation experiment, we strongly recommend performing another round of desalting process.
保存说明:Maintain refrigerated at 2-8°C for up to 2 weeks. For long term storage store at -20°C in small aliquots to prevent freeze-thaw cycles.
NCBI:NM_000099
UniProt ID:P01034
Note:For research use only.

Western blot analysis of extracts (35ug) from human plasma by using anti-CST3 monoclonal antibody (1:500).

Western blot analysis of extracts (35ug) from 3 different cell lines by using anti-CST3 monoclonal antibody (1:500).

Western blot analysis of extracts (10ug) from 3 different cell lines by using anti-CST3 monoclonal antibody (1:200).

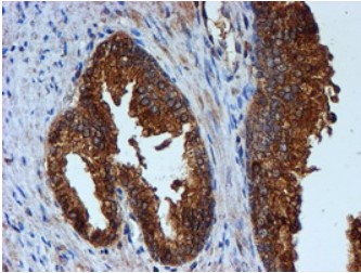
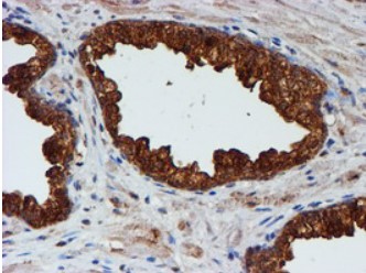
Immunohistochemical staining of paraffin-embedded Human breast tissue within the normal limits using anti-CST3 mouse monoclonal antibody. (Heat-induced epitope retrieval by 10mM citric buffer, pH6.0, 100°C for 10min) (1:150)

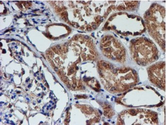
Immunohistochemical staining of paraffin-embedded Human Kidney tissue within the normal limits using anti-CST3 mouse monoclonal antibody. (Heat-induced epitope retrieval by 10mM citric buffer, pH6.0, 100°C for 10min) (1:150)

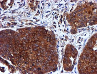
Immunohistochemical staining of paraffin-embedded Carcinoma of Human lung tissue using anti-CST3 mouse monoclonal antibody. (Heat-induced epitope retrieval by 10mM citric buffer, pH6.0, 100°C for 10min) (1:150)

Immunohistochemical staining of paraffin-embedded Adenocarcinoma of Human ovary tissue using anti-CST3 mouse monoclonal antibody. (Heat-induced epitope retrieval by 10mM citric buffer, pH6.0, 100°C for 10min) (1:150)

Immunohistochemical staining of paraffin-embedded Adenocarcinoma of Human endometrium tissue using anti-CST3 mouse monoclonal antibody. (Heat-induced epitope retrieval by 10mM citric buffer, pH6.0, 100°C for 10min)(1:150)

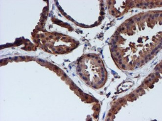
Immunohistochemical staining of paraffin-embedded Human prostate tissue within the normal limits using anti-CST3 mouse monoclonal antibody. (Heat-induced epitope retrieval by 10mM citric buffer, pH6.0, 100°C for 10min) (1:150)

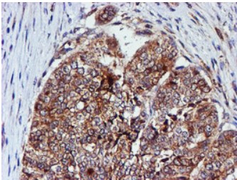
Immunohistochemical staining of paraffin-embedded Carcinoma of Human prostate tissue using anti-CST3 mouse monoclonal antibody. (Heat-induced epitope retrieval by 10mM citric buffer, pH6.0, 100°C for 10min) (1:150)
风险提示:丁香通仅作为第三方平台,为商家信息发布提供平台空间。用户咨询产品时请注意保护个人信息及财产安全,合理判断,谨慎选购商品,商家和用户对交易行为负责。对于医疗器械类产品,请先查证核实企业经营资质和医疗器械产品注册证情况。
技术资料暂无技术资料 索取技术资料
Cystatin C Antibody抗体,orb1335109,biorbyt
¥9750










