相关产品推荐更多 >
万千商家帮你免费找货
0 人在求购买到急需产品
- 详细信息
- 文献和实验
- 技术资料
- 抗体名:
TUBB8 Antibody抗体
- 抗体英文名:
TUBB8 Antibody
- 靶点:
TUBB8
- 浓度:
batch dependent
- 应用范围:
IF, IHC, WB
- 适应物种:
Human, Mouse, Rat
- 保质期:
6-12个月
- 抗原来源:
详询
- 目录编号:
orb1255329
- 级别:
科研级
- 库存:
88
- 供应商:
biorbyt
- 标记物:
Unconjugated
- 克隆性:
Polyclonal
- 形态:
Liquid
- 亚型:
IgG
- 免疫原:
Recombinant fusion protein containing a sequence corresponding to amino acids 140-444 of human TUBB8 (NP_817124.1).
- 规格:
100 ul
别名:Tubulin beta-8 chain, TUBB8
免疫原:Recombinant fusion protein containing a sequence corresponding to amino acids 140-444 of human TUBB8 (NP_817124.1).
分子量:Observed: 50kDa
应用注释:WB: 1:500 - 1:2000IHC: 1:50 - 1:100IF: 1:50 - 1:200
防腐剂:Liquid
纯化:Affinity 纯化
保存说明:Maintain refrigerated at 2-8°C for up to 2 weeks. For long term storage store at -20°C in small aliquots to prevent freeze-thaw cycles.
UniProt ID:Q3ZCM7
Note:For research use only.




风险提示:丁香通仅作为第三方平台,为商家信息发布提供平台空间。用户咨询产品时请注意保护个人信息及财产安全,合理判断,谨慎选购商品,商家和用户对交易行为负责。对于医疗器械类产品,请先查证核实企业经营资质和医疗器械产品注册证情况。
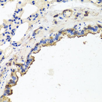
文献和实验.C527T,p.S176L 和 c.G785A,p.R262Q)(图 1)。 分别对家系 1、2、3、4 和 6 中不孕患者的处于减数第一次分裂中期的卵母细胞进行免疫染色,结果显示卵母细胞中的纺锤体要么为非正常状态,要么检测不到纺锤体存在(图 2C)。 因此,所有的不孕患者均不能生成成熟的处于减数第二次分裂中的卵母细胞。针对不同发育阶段的卵母细胞利用特异抗体进行免疫染色,结果证实 TUBB8 定位于纺锤体中。 图
)。 因此,所有的不孕患者均不能生成成熟的处于减数第二次分裂中的卵母细胞。针对不同发育阶段的卵母细胞利用特异抗体进行免疫染色,结果证实 TUBB8 定位于纺锤体中。 图 2 卵细胞成熟受抑制的表型 A 正常卵母细胞显微拍摄图 黑色箭头标示第一极体,白色箭头标示纺锤体 B 家系 1 中不孕患者 III-4 的卵母细胞显微拍摄图 观测不到正常纺锤体及第
技术资料暂无技术资料 索取技术资料










