相关产品推荐更多 >
万千商家帮你免费找货
0 人在求购买到急需产品
- 详细信息
- 技术资料
- 抗体名:
E2F6 Antibody抗体
- 抗体英文名:
E2F6 Antibody
- 靶点:
E2F6
- 浓度:
batch dependent
- 应用范围:
ChIP, IF, IHC, IP, WB
- 适应物种:
Human, Mouse
- 保质期:
6-12个月
- 抗原来源:
详询
- 目录编号:
orb1255346
- 级别:
科研级
- 库存:
88
- 供应商:
biorbyt
- 标记物:
Unconjugated
- 克隆性:
Polyclonal
- 形态:
Liquid
- 亚型:
IgG
- 免疫原:
Recombinant fusion protein containing a sequence corresponding to amino acids 1-281 of human E2F6 (NP_937987.2).
- 规格:
100 ul
产品描述:E2F6 Antibody
别名:E2F6, E2F-6
免疫原:Recombinant fusion protein containing a sequence corresponding to amino acids 1-281 of human E2F6 (NP_937987.2).
分子量:Observed: 37kDa
应用注释:WB: 1:500 - 1:2000IHC: 1:50 - 1:200IF: 1:20 - 1:100IP: 1:50 - 1:100CHIP: 1:20 - 1:50
防腐剂:Liquid
纯化:Affinity 纯化
保存说明:Maintain refrigerated at 2-8°C for up to 2 weeks. For long term storage store at -20°C in small aliquots to prevent freeze-thaw cycles.
UniProt ID:O75461
Note:For research use only.





别名:E2F6, E2F-6
免疫原:Recombinant fusion protein containing a sequence corresponding to amino acids 1-281 of human E2F6 (NP_937987.2).
分子量:Observed: 37kDa
应用注释:WB: 1:500 - 1:2000IHC: 1:50 - 1:200IF: 1:20 - 1:100IP: 1:50 - 1:100CHIP: 1:20 - 1:50
防腐剂:Liquid
纯化:Affinity 纯化
保存说明:Maintain refrigerated at 2-8°C for up to 2 weeks. For long term storage store at -20°C in small aliquots to prevent freeze-thaw cycles.
UniProt ID:O75461
Note:For research use only.

Western blot analysis of extracts of various cell lines, using E2F6 antibody (orb1255346) at 1:1000 dilution. Secondary antibody: HRP Goat Anti-Rabbit IgG (H+L) at 1:10000 dilution. Lysates/proteins: 25 ug per lane. Blocking buffer: 3% nonfat dry milk in TBST. Detection: ECL Basic Kit. Exposure time: 90s.

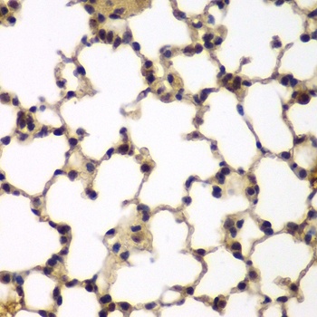
Immunohistochemistry of paraffin-embedded mouse lung using E2F6 antibody (orb1255346) at dilution of 1:200 (40x lens).

Immunofluorescence analysis of U2OS cells using E2F6 antibody (orb1255346). Blue: DAPI for nuclear staining.

Immunoprecipitation analysis of 200 ug extracts of MCF-7 cells using 3 ug E2F6 antibody (orb1255346). Western blot was performed from the immunoprecipitate using E2F6 antibody (orb1255346) at a dilution of 1:500.

Chromatin immunoprecipitation analysis of extracts of HeLa cells, using E2F6 antibody (orb1255346) and rabbit IgG. The amount of immunoprecipitated DNA was checked by quantitative PCR. Histogram was constructed by the ratios of the immunoprecipitated DNA to the input.
风险提示:丁香通仅作为第三方平台,为商家信息发布提供平台空间。用户咨询产品时请注意保护个人信息及财产安全,合理判断,谨慎选购商品,商家和用户对交易行为负责。对于医疗器械类产品,请先查证核实企业经营资质和医疗器械产品注册证情况。
技术资料暂无技术资料 索取技术资料
E2F6 Antibody抗体,orb1255346,biorbyt
¥10400






![VISTA Antibody [6D2]抗体,orb1240293,biorbyt](https://img1.dxycdn.com/p/s14/2025/1204/083/6393812890632146991.jpg!wh200)



