相关产品推荐更多 >
万千商家帮你免费找货
0 人在求购买到急需产品
- 详细信息
- 文献和实验
- 技术资料
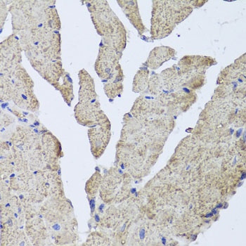
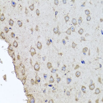
- 抗体名:
HBA2 Antibody抗体
- 抗体英文名:
HBA2 Antibody
- 靶点:
HBA2
- 浓度:
batch dependent
- 应用范围:
IHC, WB
- 适应物种:
Mouse, Rat
- 保质期:
6-12个月
- 抗原来源:
详询
- 目录编号:
orb1255846
- 级别:
科研级
- 库存:
88
- 供应商:
biorbyt
- 标记物:
Unconjugated
- 克隆性:
Polyclonal
- 形态:
Liquid
- 亚型:
IgG
- 免疫原:
Recombinant fusion protein containing a sequence corresponding to amino acids 1-142 of human HBA2 (NP_000508.1).
- 规格:
100 ul
别名:Hemoglobin subunit alpha, Alpha-globinHBH
免疫原:Recombinant fusion protein containing a sequence corresponding to amino acids 1-142 of human HBA2 (NP_000508.1).
分子量:Observed: 13kDa
应用注释:WB: 1:500 - 1:2000IHC: 1:50 - 1:100
防腐剂:Liquid
纯化:Affinity 纯化
保存说明:Maintain refrigerated at 2-8°C for up to 2 weeks. For long term storage store at -20°C in small aliquots to prevent freeze-thaw cycles.
UniProt ID:P69905
Note:For research use only.



风险提示:丁香通仅作为第三方平台,为商家信息发布提供平台空间。用户咨询产品时请注意保护个人信息及财产安全,合理判断,谨慎选购商品,商家和用户对交易行为负责。对于医疗器械类产品,请先查证核实企业经营资质和医疗器械产品注册证情况。
文献和实验参考值 HbA:96%~98% HbA2:1%~% HbF:1%~2% 临床意义 (1)HbA2增高是轻型β-海洋性贫血最重要的诊断依据医`学教育网搜集整理; (2)HbS病、β链异常的不稳定Hb病及某些巨幼细胞性贫血患者HbA2也可增高; (3)缺铁性贫血时,HbA2常降低,可与轻型β-海洋性贫血鉴别; (4)正常人Hb电泳后,一般只见两条区带(HbA和HbA2),若出现新的区带,则可能为异常Hb,应进一步检查。
血红蛋白电泳试验临床意义: 参考值HbA:96%~98% HbA2:1%~% HbF:1%~2% 临床意义 (1)HbA2增高是轻型β-海洋性贫血最重要的诊断依据; (2)HbS病、β链异常的不稳定Hb病及某些巨幼细胞性贫血患者HbA2也可增高; (3)缺铁性贫血时,HbA2常降低,可与轻型β-海洋性贫血鉴别医`学教育网搜集整理; (4)正常人Hb电泳后,一般只见两条区带(HbA和HbA2),若出现新的区带,则可能为异常Hb,应进一步检查。
血红蛋白电泳试验临床意义: 参考值 HbA:96%~98% HbA2:1%~% HbF:1%~2% 临床意义 (1)HbA2增高是轻型β-海洋性贫血最重要的诊断依据; (2)HbS病、β链异常的不稳定Hb病及某些巨幼细胞性贫血患者HbA2也可增高; (3)缺铁性贫血时,HbA2常降低,可与轻型β-海洋性贫血鉴别医`学教育网搜集整理; (4)正常人Hb电泳后,一般只见两条区带(HbA和HbA2),若出现新的区带,则可能为异常Hb,应
技术资料暂无技术资料 索取技术资料





![PSMA7 antibody [N1C3]抗体,orb555979,biorbyt](https://img1.dxycdn.com/p/s14/2025/1204/381/8001351760443146991.jpg!wh200)





