相关产品推荐更多 >
万千商家帮你免费找货
0 人在求购买到急需产品
- 详细信息
- 文献和实验
- 技术资料
- 抗体名:
PSPH Antibody抗体
- 抗体英文名:
PSPH Antibody
- 靶点:
PSPH
- 浓度:
batch dependent
- 应用范围:
IHC, WB
- 适应物种:
Human, Mouse, Rat
- 保质期:
6-12个月
- 抗原来源:
详询
- 目录编号:
orb1256092
- 级别:
科研级
- 库存:
88
- 供应商:
biorbyt
- 标记物:
Unconjugated
- 克隆性:
Polyclonal
- 形态:
Liquid
- 亚型:
IgG
- 免疫原:
Recombinant fusion protein containing a sequence corresponding to amino acids 1-225 of human PSPH (NP_004568.2).
- 规格:
100 ul
产品描述:PSPH Antibody
别名:PSPH, phosphoserine phosphatase, PSP, L-3-phosphoserine phosphatase, O-phosphoserine phosphohydrolase, OTTHUMP00000025059, PSPase, PSPHD
免疫原:Recombinant fusion protein containing a sequence corresponding to amino acids 1-225 of human PSPH (NP_004568.2).
分子量:Observed: 25kDa
应用注释:WB: 1:500 - 1:2000IHC: 1:50 - 1:200
防腐剂:Liquid
纯化:Affinity 纯化
保存说明:Maintain refrigerated at 2-8°C for up to 2 weeks. For long term storage store at -20°C in small aliquots to prevent freeze-thaw cycles.
UniProt ID:P78330
Note:For research use only.



别名:PSPH, phosphoserine phosphatase, PSP, L-3-phosphoserine phosphatase, O-phosphoserine phosphohydrolase, OTTHUMP00000025059, PSPase, PSPHD
免疫原:Recombinant fusion protein containing a sequence corresponding to amino acids 1-225 of human PSPH (NP_004568.2).
分子量:Observed: 25kDa
应用注释:WB: 1:500 - 1:2000IHC: 1:50 - 1:200
防腐剂:Liquid
纯化:Affinity 纯化
保存说明:Maintain refrigerated at 2-8°C for up to 2 weeks. For long term storage store at -20°C in small aliquots to prevent freeze-thaw cycles.
UniProt ID:P78330
Note:For research use only.

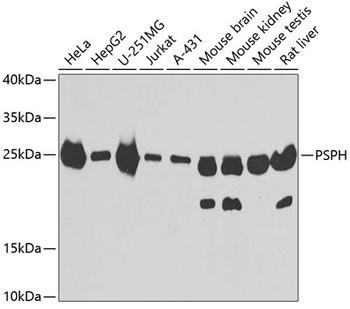
Western blot analysis of extracts of various cell lines, using PSPH antibody (orb1256092) at 1:1000 dilution. Secondary antibody: HRP Goat Anti-Rabbit IgG (H+L) at 1:10000 dilution. Lysates/proteins: 25 ug per lane. Blocking buffer: 3% nonfat dry milk in TBST. Detection: ECL Basic Kit. Exposure time: 90s.

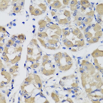
Immunohistochemistry of paraffin-embedded human stomach using PSPH antibody (orb1256092) at dilution of 1:100 (40x lens).

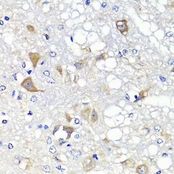
Immunohistochemistry of paraffin-embedded rat brain using PSPH antibody (orb1256092) at dilution of 1:100 (40x lens).
风险提示:丁香通仅作为第三方平台,为商家信息发布提供平台空间。用户咨询产品时请注意保护个人信息及财产安全,合理判断,谨慎选购商品,商家和用户对交易行为负责。对于医疗器械类产品,请先查证核实企业经营资质和医疗器械产品注册证情况。
文献和实验相关实验
多吃这种氨基酸,就能延缓衰老?厦大研究找到驱动衰老的关键因素
Biology Menin 缺乏会导致下丘脑代谢紊乱 为了更深入地了解 VMH 中 Menin 缺失如何调节系统衰老,他们进行了代谢组学的检测。将 ScKO 小鼠的 VMH 与对照组进行比较,结合靶向代谢组学,发现在 ScKO 小鼠中显示了 D-丝氨酸合成途径的变化。此外,老年个体血清中 D-丝氨酸水平也显著降低。 D-丝氨酸从头合成由磷酸甘油酸脱氢酶(PHGDH)、磷酸丝氨酸转氨酶(PSAT1)、磷酸丝氨酸磷酸酶(PSPH)和丝氨酸消旋酶(SRR)催化,它从 3-磷酸甘油酸转化为 3-磷酸羟
技术资料暂无技术资料 索取技术资料
PSPH Antibody抗体,orb1256092,biorbyt
¥10400










