相关产品推荐更多 >
万千商家帮你免费找货
0 人在求购买到急需产品
- 详细信息
- 文献和实验
- 技术资料
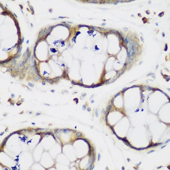
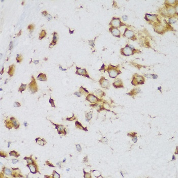
- 抗体名:
MTDH Antibody抗体
- 抗体英文名:
MTDH Antibody
- 靶点:
MTDH
- 浓度:
batch dependent
- 应用范围:
IF, IHC, WB
- 适应物种:
Human, Mouse, Rat
- 保质期:
6-12个月
- 抗原来源:
详询
- 目录编号:
orb1257269
- 级别:
科研级
- 库存:
88
- 供应商:
biorbyt
- 标记物:
Unconjugated
- 克隆性:
Polyclonal
- 形态:
Liquid
- 亚型:
IgG
- 免疫原:
Recombinant fusion protein containing a sequence corresponding to amino acids 1-260 of human MTDH (NP_848927.2).
- 规格:
100 ul
别名:MTDH, 3D3, AEG1, AEG-1, Metadherin, LYRIC, Metastasis adhesion protein, Protein LYRIC
免疫原:Recombinant fusion protein containing a sequence corresponding to amino acids 1-260 of human MTDH (NP_848927.2).
分子量:Observed: 64kDa
应用注释:WB: 1:500 - 1:2000IHC: 1:50 - 1:200IF: 1:50 - 1:200
防腐剂:Liquid
纯化:Affinity 纯化
保存说明:Maintain refrigerated at 2-8°C for up to 2 weeks. For long term storage store at -20°C in small aliquots to prevent freeze-thaw cycles.
UniProt ID:Q86UE4
Note:For research use only.





风险提示:丁香通仅作为第三方平台,为商家信息发布提供平台空间。用户咨询产品时请注意保护个人信息及财产安全,合理判断,谨慎选购商品,商家和用户对交易行为负责。对于医疗器械类产品,请先查证核实企业经营资质和医疗器械产品注册证情况。
文献和实验lily1218 请问哪位做过关于MTDH的干涉,求助能发挥干涉作用的siRNA序列,十分感谢! freecell 自己在文献里面找,或者dharmacon或者ambion的库里面找。 majian0064 5 CAGAAGAAGAAGAACCGGA 3 可以交流一下你的实验吗?我的邮箱majian10@mails.jlu.edu.cn 本文由丁香园论坛提供,想了解更多
-κB 下游的细胞因子和驱化因子。 进一步,研究者通过免疫印迹和免疫组化分析证实,肝细胞 Miz1 的缺失促进 IKK 介导的 MTDH 的磷酸化,从而促进了 NF-κB 的激活和 NF-κB 下游炎症相关靶基因的表达。 (3)肿瘤特有肝细胞分泌细胞因子促进肿瘤浸润巨噬细胞向促炎表型转化 对巨噬细胞亚群和肝脏特有巨噬细胞(Kupffer cell)进一步细分,并进行差异基因分析和 Qusage 分析,发现 Miz1∆hep 小鼠的肿瘤浸润巨噬细胞和 Kupffer 细胞的一些亚群 NF-κB 强烈
表达NF-κB下游的细胞因子和驱化因子。 进一步,研究者通过免疫印迹和免疫组化分析证实,肝细胞 Miz1 的缺失促进IKK介导的MTDH的磷酸化,从而促进了 NF-κB 的激活和 NF-κB 下游炎症相关靶基因的表达。 3. 肿瘤特有肝细胞分泌细胞因子促进肿瘤浸润巨噬细胞向促炎表型转化 对巨噬细胞亚群和肝脏特有巨噬细胞(Kupffer cell)进一步细分,并进行差异基因分析和Qusage分析,发现Miz1∆hep小鼠的肿瘤浸润巨噬细胞和 Kupffer 细胞的一些亚群NF-κB 强烈激活
技术资料暂无技术资料 索取技术资料











