相关产品推荐更多 >
万千商家帮你免费找货
0 人在求购买到急需产品
- 详细信息
- 技术资料
- 抗体名:
DiMethyl-Histone H3-K79 pAb抗体
- 抗体英文名:
DiMethyl-Histone H3-K79 pAb
- 靶点:
H3K79me2
- 浓度:
batch dependent
- 应用范围:
ChIP, IF, IHC, IP, WB
- 适应物种:
Human, Mouse, Other, Rat
- 保质期:
6-12个月
- 抗原来源:
详询
- 目录编号:
orb1258180
- 级别:
科研级
- 库存:
88
- 供应商:
biorbyt
- 标记物:
Unconjugated
- 克隆性:
Polyclonal
- 形态:
Liquid
- 亚型:
IgG
- 免疫原:
A synthetic peptide of human DiMethyl-Histone H3-K79
- 规格:
100 ul
产品描述:DiMethyl-Histone H3-K79 pAb
别名:H3F3A, H3t, H3.4, H3/g, H3FT
免疫原:A synthetic peptide of human DiMethyl-Histone H3-K79
分子量:Observed: 17kDa
应用注释:WB: 1:500 - 1:1000IHC: 1:50 - 1:100IF: 1:50 - 1:200IP: 1:50 - 1:200ChIP: 1:50 - 1:200CHIP seq: 1:50 - 1:200
防腐剂:Liquid
纯化:Affinity 纯化
保存说明:Maintain refrigerated at 2-8°C for up to 2 weeks. For long term storage store at -20°C in small aliquots to prevent freeze-thaw cycles.
UniProt ID:Q16695
Note:For research use only.







别名:H3F3A, H3t, H3.4, H3/g, H3FT
免疫原:A synthetic peptide of human DiMethyl-Histone H3-K79
分子量:Observed: 17kDa
应用注释:WB: 1:500 - 1:1000IHC: 1:50 - 1:100IF: 1:50 - 1:200IP: 1:50 - 1:200ChIP: 1:50 - 1:200CHIP seq: 1:50 - 1:200
防腐剂:Liquid
纯化:Affinity 纯化
保存说明:Maintain refrigerated at 2-8°C for up to 2 weeks. For long term storage store at -20°C in small aliquots to prevent freeze-thaw cycles.
UniProt ID:Q16695
Note:For research use only.

Western blot analysis of extracts of various cell lines, using DiMethyl-Histone H3-K79 antibody (orb1258180). Secondary antibody: HRP Goat Anti-Rabbit IgG (H+L) at 1:10000 dilution. Lysates/proteins: 25 ug per lane. Blocking buffer: 3% nonfat dry milk in TBST.

Dot-blot analysis of all sorts of methylation peptides using DiMethyl-Histone H3-K79 antibody (orb1258180).

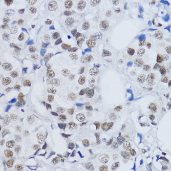
Immunohistochemistry of paraffin-embedded human mammary cancer using DiMethyl-Histone H3-K79 antibody (orb1258180) at dilution of 1:200 (40x lens).

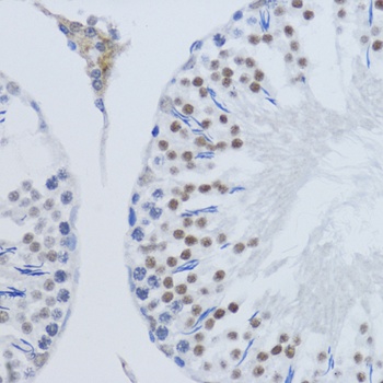
Immunohistochemistry of paraffin-embedded rat testis using DiMethyl-Histone H3-K79 antibody (orb1258180) at dilution of 1:200 (40x lens).

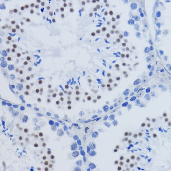
Immunohistochemistry of paraffin-embedded mouse testis using DiMethyl-Histone H3-K79 antibody (orb1258180) at dilution of 1:200 (40x lens).

Immunofluorescence analysis of 293T cells using DiMethyl-Histone H3-K79 antibody (orb1258180). Blue: DAPI for nuclear staining.

Chromatin Immunoprecipitation analysis of γ-actin gene from 293 cell line, using DiMethyl-Histone H3-K79 antibody (orb1258180) and rabbit IgG. P1, P2 and P3 were probes located on γ-actin gene as the schematic diagram illustrated. The amount of immunoprecipitated DNA was checked by quantitative PCR. Histogram was constructed by the ratios of the immunoprecipitated DNA to the input.
风险提示:丁香通仅作为第三方平台,为商家信息发布提供平台空间。用户咨询产品时请注意保护个人信息及财产安全,合理判断,谨慎选购商品,商家和用户对交易行为负责。对于医疗器械类产品,请先查证核实企业经营资质和医疗器械产品注册证情况。
技术资料暂无技术资料 索取技术资料
DiMethyl-Histone H3-K79 pAb抗体,orb1258180,biorbyt
¥12480









![Anti-CD35 (complement receptor 1) [8C12]抗体,orb348915,biorbyt](https://img1.dxycdn.com/p/s14/2025/1203/171/0004241594798316991.jpg!wh200)
