相关产品推荐更多 >
万千商家帮你免费找货
0 人在求购买到急需产品
- 详细信息
- 技术资料
- 抗体名:
MANF Antibody抗体
- 抗体英文名:
MANF Antibody
- 靶点:
MANF
- 浓度:
1 mg/mL
- 应用范围:
ELISA, IF, IHC-P, WB
- 适应物种:
Human, Mouse, Rat
- 保质期:
6-12个月
- 抗原来源:
详询
- 目录编号:
orb1239620
- 级别:
科研级
- 库存:
88
- 供应商:
biorbyt
- 标记物:
Unconjugated
- 克隆性:
Polyclonal
- 形态:
Liquid
- 亚型:
IgG
- 免疫原:
Anti-MANF antibody (orb1239620) was raised against a peptide corresponding to 12 amino acids near the amino terminus of human MANF. The immunogen is located within the first 50 amino acids of MANF.
- 规格:
0.02 mg
产品描述:MANF Antibody
别名:MANF Antibody: ARP, ARMET, ARP, Mesencephalic astrocyte-derived neurotrophic factor, Arginine-rich protein
免疫原:Anti-MANF antibody (orb1239620) was raised against a peptide corresponding to 12 amino acids near the amino terminus of human MANF. The 免疫原 is located within the first 50 amino acids of MANF.
预测反应性:Bovine
分子量:Predicted: 20kDObserved: 26 kD
防腐剂:MANF Antibody is supplied in PBS containing 0.02% sodium azide.
纯化:MANF Antibody is affinity chromatography purified via peptide column.
保存说明:Maintain refrigerated at 2-8°C for up to 2 weeks. For long term storage store at -20°C in small aliquots to prevent freeze-thaw cycles.
NCBI:P55145
UniProt ID:P55145
Note:For research use only.






别名:MANF Antibody: ARP, ARMET, ARP, Mesencephalic astrocyte-derived neurotrophic factor, Arginine-rich protein
免疫原:Anti-MANF antibody (orb1239620) was raised against a peptide corresponding to 12 amino acids near the amino terminus of human MANF. The 免疫原 is located within the first 50 amino acids of MANF.
预测反应性:Bovine
分子量:Predicted: 20kDObserved: 26 kD
防腐剂:MANF Antibody is supplied in PBS containing 0.02% sodium azide.
纯化:MANF Antibody is affinity chromatography purified via peptide column.
保存说明:Maintain refrigerated at 2-8°C for up to 2 weeks. For long term storage store at -20°C in small aliquots to prevent freeze-thaw cycles.
NCBI:P55145
UniProt ID:P55145
Note:For research use only.

Western Blot Validation in Human Cell Lines. Loading: 15 µg of lysates per lane. Antibodies: MANF orb1239620, (2 µg/mL), 1h incubation at RT in 5% NFDM/TBST. Secondary: Goat anti-rabbit IgG HRP conjugate at 1:10000 dilution.

Western Blot Validation with Recombinant Protein. Loading: 30 ng of human MANF recombinant protein per lane. Antibodies: MANF orb1239620 (Lane 1: 0.125 µg/mL, Lane 2: 0.25 µg/mL and Lane 3: 0.5 µg/mL), 1h incubation at RT in 5% NFDM/TBST. Secondary: Goat anti-rabbit IgG HRP conjugate at 1:10000 dilution. Observed at around 55kD.

Western Blot Validation in Rat Brain Tissue Lysate. Loading: 15 µg of lysates per lane. Antibodies: MANF orb1239620 (A: 1 µg /mL and B: 2 µg /mL), 1h incubation at RT in 5% NFDM/TBST. Secondary: Goat anti-rabbit IgG HRP conjugate at 1:10000 dilution.

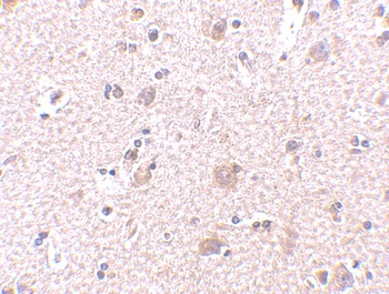
Immunohistochemistry Validation of MANF in Human Brain Tissue. Immunohistochemical analysis of paraffin-embedded human brain tissue using anti-MANF antibody (orb1239620) at 2.5 µg /ml. Tissue was fixed with formaldehyde and blocked with 10% serum for 1 h at RT; antigen retrieval was by heat mediation with a citrate buffer (pH6). Samples were incubated with primary antibody overnight at 4°C. A goat anti-rabbit IgG H&L (HRP) at 1/250 was used as secondary. Counter stained with Hematoxylin.

Immunofluorescence Validation of MANF in Human Brain Tissue. Immunofluorescent analysis of 4% Fixative-fixed human brain tissue labeling MANF with orb1239620 at 20 µg /mL, followed by goat anti-rabbit IgG secondary antibody at 1/500 dilution (red).

Induced Expression Validation of MANF in Mouse C17.2 Neural Stem Cells (Almutawaa et al., 2014). Concentration- and time-dependent effects of Valproic acid (VPA) on MANF at 48 h examined by Western blot analysis with anti-MANF antibodies. MANF was markedly increased 48h after VPA treatment. Lanes 1–4: control, 0.5 mM VPA, 1 mM VPA, 3 mM VPA.
风险提示:丁香通仅作为第三方平台,为商家信息发布提供平台空间。用户咨询产品时请注意保护个人信息及财产安全,合理判断,谨慎选购商品,商家和用户对交易行为负责。对于医疗器械类产品,请先查证核实企业经营资质和医疗器械产品注册证情况。
技术资料暂无技术资料 索取技术资料
MANF Antibody抗体,orb1239620,biorbyt
¥3770










