相关产品推荐更多 >
万千商家帮你免费找货
0 人在求购买到急需产品
- 详细信息
- 技术资料
- 抗体名:
ZC3H3 Antibody抗体
- 抗体英文名:
ZC3H3 Antibody
- 靶点:
ZC3H3
- 浓度:
batch dependent
- 应用范围:
IHC-P, WB
- 适应物种:
Human
- 保质期:
6-12个月
- 抗原来源:
详询
- 目录编号:
orb1270440
- 级别:
科研级
- 库存:
88
- 供应商:
biorbyt
- 标记物:
Unconjugated
- 克隆性:
Polyclonal
- 形态:
Liquid
- 亚型:
Rabbit Ig
- 免疫原:
This ZC3H3 antibody is generated from rabbits immunized with a KLH conjugated synthetic peptide between 920-948 amino acids from the C-terminal region of human ZC3H3.
- 规格:
400 ul
产品描述:ZC3H3 Antibody
别名:Zinc finger CCCH domain-containing protein 3, ZC3H3, KIAA0150, ZC3HDC3
免疫原:This ZC3H3 antibody is generated from rabbits immunized with a KLH conjugated synthetic peptide between 920-948 amino acids from the C-terminal region of human ZC3H3.
预测反应性:Mouse
分子量:102 kDa
应用注释:For WB starting dilution is: 1:1000For IHC-P starting dilution is: 1:50~100
防腐剂:Supplied in PBS with 0.09% (W/V) sodium azide.
纯化:This antibody is purified through a protein A column, followed by peptide affinity 纯化.
保存说明:Maintain refrigerated at 2-8°C for up to 2 weeks. For long term storage store at -20°C in small aliquots to prevent freeze-thaw cycles.
NCBI:Q8IXZ2
UniProt ID:Q8IXZ2
Note:For research use only.


别名:Zinc finger CCCH domain-containing protein 3, ZC3H3, KIAA0150, ZC3HDC3
免疫原:This ZC3H3 antibody is generated from rabbits immunized with a KLH conjugated synthetic peptide between 920-948 amino acids from the C-terminal region of human ZC3H3.
预测反应性:Mouse
分子量:102 kDa
应用注释:For WB starting dilution is: 1:1000For IHC-P starting dilution is: 1:50~100
防腐剂:Supplied in PBS with 0.09% (W/V) sodium azide.
纯化:This antibody is purified through a protein A column, followed by peptide affinity 纯化.
保存说明:Maintain refrigerated at 2-8°C for up to 2 weeks. For long term storage store at -20°C in small aliquots to prevent freeze-thaw cycles.
NCBI:Q8IXZ2
UniProt ID:Q8IXZ2
Note:For research use only.

Western blot analysis in MDA-MB435 cell line lysates (35 ug/lane).

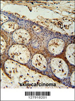
ZC3H3 Antibody immunohistochemistry analysis in formalin fixed and paraffin embedded human skin carcinoma followed by peroxidase conjugation of the secondary antibody and DAB staining.
风险提示:丁香通仅作为第三方平台,为商家信息发布提供平台空间。用户咨询产品时请注意保护个人信息及财产安全,合理判断,谨慎选购商品,商家和用户对交易行为负责。对于医疗器械类产品,请先查证核实企业经营资质和医疗器械产品注册证情况。
技术资料暂无技术资料 索取技术资料
ZC3H3 Antibody抗体,orb1270440,biorbyt
¥11440










