相关产品推荐更多 >
万千商家帮你免费找货
0 人在求购买到急需产品
- 详细信息
- 技术资料
- 抗体名:
AWAT2 Antibody抗体
- 抗体英文名:
AWAT2 Antibody
- 靶点:
AWAT2
- 浓度:
batch dependent
- 应用范围:
IHC-P, WB
- 适应物种:
Human, Mouse
- 保质期:
6-12个月
- 抗原来源:
详询
- 目录编号:
orb1270556
- 级别:
科研级
- 库存:
88
- 供应商:
biorbyt
- 标记物:
Unconjugated
- 克隆性:
Polyclonal
- 形态:
Liquid
- 亚型:
Rabbit Ig
- 免疫原:
This AWAT2 antibody is generated from rabbits immunized with a KLH conjugated synthetic peptide between 303-331 amino acids from the C-terminal region of human AWAT2.
- 规格:
400 ul
产品描述:AWAT2 Antibody
别名:Acyl-CoA wax alcohol acyltransferase 2, Acyl-CoA retinol O-fatty-acyltransferase, ARAT, Retinol O-fatty-acyltransferase, Diacylglycerol O-acyltransferase 2-like protein 4, Diacylglycerol O-acyltransferase candidate 4, hDC4, Long-chain-alcohol O-fatty-acyltransferase 2, Multifunctional O-acyltransferase, Wax synthase, hWS, AWAT2, DC4, DGAT2L4, MFAT, WS
免疫原:This AWAT2 antibody is generated from rabbits immunized with a KLH conjugated synthetic peptide between 303-331 amino acids from the C-terminal region of human AWAT2.
分子量:38 kDa
应用注释:For IHC-P starting dilution is: 1:50~100For WB starting dilution is: 1:1000
防腐剂:Supplied in PBS with 0.09% (W/V) sodium azide.
纯化:This antibody is purified through a protein A column, followed by peptide affinity 纯化.
保存说明:Maintain refrigerated at 2-8°C for up to 2 weeks. For long term storage store at -20°C in small aliquots to prevent freeze-thaw cycles.
NCBI:Q6E213
UniProt ID:Q6E213
Note:For research use only.


别名:Acyl-CoA wax alcohol acyltransferase 2, Acyl-CoA retinol O-fatty-acyltransferase, ARAT, Retinol O-fatty-acyltransferase, Diacylglycerol O-acyltransferase 2-like protein 4, Diacylglycerol O-acyltransferase candidate 4, hDC4, Long-chain-alcohol O-fatty-acyltransferase 2, Multifunctional O-acyltransferase, Wax synthase, hWS, AWAT2, DC4, DGAT2L4, MFAT, WS
免疫原:This AWAT2 antibody is generated from rabbits immunized with a KLH conjugated synthetic peptide between 303-331 amino acids from the C-terminal region of human AWAT2.
分子量:38 kDa
应用注释:For IHC-P starting dilution is: 1:50~100For WB starting dilution is: 1:1000
防腐剂:Supplied in PBS with 0.09% (W/V) sodium azide.
纯化:This antibody is purified through a protein A column, followed by peptide affinity 纯化.
保存说明:Maintain refrigerated at 2-8°C for up to 2 weeks. For long term storage store at -20°C in small aliquots to prevent freeze-thaw cycles.
NCBI:Q6E213
UniProt ID:Q6E213
Note:For research use only.

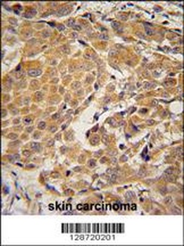
AWAT2 Antibody immunohistochemistry analysis in formalin fixed and paraffin embedded human skin carcinoma followed by peroxidase conjugation of the secondary antibody and DAB staining.

Western blot analysis in mouse liver, spleen tissue lysates (35 ug/lane).
风险提示:丁香通仅作为第三方平台,为商家信息发布提供平台空间。用户咨询产品时请注意保护个人信息及财产安全,合理判断,谨慎选购商品,商家和用户对交易行为负责。对于医疗器械类产品,请先查证核实企业经营资质和医疗器械产品注册证情况。
技术资料暂无技术资料 索取技术资料
AWAT2 Antibody抗体,orb1270556,biorbyt
¥11440










