相关产品推荐更多 >
万千商家帮你免费找货
0 人在求购买到急需产品
- 详细信息
- 技术资料
- 抗体名:
BMPR1A Antibody抗体
- 抗体英文名:
BMPR1A Antibody
- 靶点:
BMPR1A
- 浓度:
batch dependent
- 应用范围:
IHC-P, WB
- 适应物种:
Human
- 保质期:
6-12个月
- 抗原来源:
详询
- 目录编号:
orb1271036
- 级别:
科研级
- 库存:
88
- 供应商:
biorbyt
- 标记物:
Unconjugated
- 克隆性:
Polyclonal
- 形态:
Liquid
- 亚型:
Rabbit Ig
- 免疫原:
This BMPR1A antibody is generated from rabbits immunized with a KLH conjugated synthetic peptide between 166-195 amino acids from the Central region of human BMPR1A.
- 规格:
200 ul
产品描述:BMPR1A Antibody
别名:Bone morphogenetic protein receptor type-1A, BMP type-1A receptor, BMPR-1A, Activin receptor-like kinase 3, ALK-3, Serine/threonine-protein kinase receptor R5, SKR5, CD292, BMPR1A, ACVRLK3, ALK3
免疫原:This BMPR1A antibody is generated from rabbits immunized with a KLH conjugated synthetic peptide between 166-195 amino acids from the Central region of human BMPR1A.
分子量:60 kDa
应用注释:For WB starting dilution is: 1:1000For IHC-P starting dilution is: 1:50~100
防腐剂:Supplied in PBS with 0.09% (W/V) sodium azide.
纯化:This antibody is prepared by Saturated Ammonium Sulfate (SAS) precipitation followed by dialysis
保存说明:Maintain refrigerated at 2-8°C for up to 2 weeks. For long term storage store at -20°C in small aliquots to prevent freeze-thaw cycles.
NCBI:P36894
UniProt ID:P36894
Note:For research use only.



别名:Bone morphogenetic protein receptor type-1A, BMP type-1A receptor, BMPR-1A, Activin receptor-like kinase 3, ALK-3, Serine/threonine-protein kinase receptor R5, SKR5, CD292, BMPR1A, ACVRLK3, ALK3
免疫原:This BMPR1A antibody is generated from rabbits immunized with a KLH conjugated synthetic peptide between 166-195 amino acids from the Central region of human BMPR1A.
分子量:60 kDa
应用注释:For WB starting dilution is: 1:1000For IHC-P starting dilution is: 1:50~100
防腐剂:Supplied in PBS with 0.09% (W/V) sodium azide.
纯化:This antibody is prepared by Saturated Ammonium Sulfate (SAS) precipitation followed by dialysis
保存说明:Maintain refrigerated at 2-8°C for up to 2 weeks. For long term storage store at -20°C in small aliquots to prevent freeze-thaw cycles.
NCBI:P36894
UniProt ID:P36894
Note:For research use only.

Western Blot at 1:2000 dilution + Hela whole cell lysate Lysates/proteins at 20 ug per lane.

Western blot analysis of lysates from 293, mouse NIH/3T3 cell line (from left to right), using BMPR1A Antibody (C180) at 1:1000 at each lane.

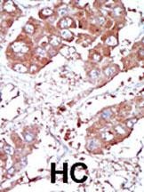
Formalin-fixed and paraffin-embedded human cancer tissue reacted with the primary antibody, which was peroxidase-conjugated to the secondary antibody, followed by DAB staining. BC = breast carcinoma; HC = hepatocarcinoma.
风险提示:丁香通仅作为第三方平台,为商家信息发布提供平台空间。用户咨询产品时请注意保护个人信息及财产安全,合理判断,谨慎选购商品,商家和用户对交易行为负责。对于医疗器械类产品,请先查证核实企业经营资质和医疗器械产品注册证情况。
技术资料暂无技术资料 索取技术资料
BMPR1A Antibody抗体,orb1271036,biorbyt
¥11440










