相关产品推荐更多 >
万千商家帮你免费找货
0 人在求购买到急需产品
- 详细信息
- 技术资料
- 抗体名:
CD48 Rabbit Polyclonal Antibody抗体
- 抗体英文名:
CD48 Rabbit Polyclonal Antibody
- 靶点:
CD48
- 浓度:
1mg/ml
- 应用范围:
FC, IF, IHC-Fr, IHC-P
- 宿主:
Rabbit
- 适应物种:
Human, Mouse, Rat
- 保质期:
6-12个月
- 抗原来源:
详询
- 目录编号:
orb1152083
- 级别:
科研级
- 库存:
88
- 供应商:
biorbyt
- 标记物:
Unconjugated
- 克隆性:
Polyclonal
- 形态:
Liquid
- 亚型:
IgG
- 免疫原:
KLH conjugated synthetic peptide derived from mouse CD48 (151-240/240aa)
- 规格:
50 ul
产品描述:CD48 Rabbit Polyclonal Antibody
别名:SLAMF2; Antigen CD48; Antigen CD48; B cell membrane protein; B lymphocyte activation marker BLAST 1 [Precursor]; B lymphocyte activation marker BLAST 1; B-lymphocyte activation marker BLAST-1; BCM 1 surface antigen; BCM1; BCM1 surface antigen; BCM1 surface antigen; BLAST 1; BLAST; BLAST1; BLAST1; CD 48; CD48 antigen(B cell membrane protein); CD48 antigen; CD48 molecule; CD48 protein; CD48_HUMAN; hCD48; Leucocyte antigen MEM 102; Leukocyte antigen MEM-102; mCD48; MEM 102; MEM102; SLAMF 2; TCT.1; TCT.1.
免疫原:KLH conjugated synthetic peptide derived from mouse CD48 (151-240/240aa)
预测反应性:Bovine, Porcine
分子量:45 kDa
应用稀释比例:IHC-P=1:100-500, IHC-F=1:100-500, IF=1:100-500, Flow-Cyt=1μg/Test
防腐剂:0.01M TBS (pH7.4) with 1% rAlbumin, 0.02% Proclin300 and 50% Glycerol.
纯化:Affinity purified by Protein A
保存说明:Maintain refrigerated at 2-8°C for up to 2 weeks. For long term storage store at -20°C in small aliquots to prevent freeze-thaw cycles.
Note:For research use only.




别名:SLAMF2; Antigen CD48; Antigen CD48; B cell membrane protein; B lymphocyte activation marker BLAST 1 [Precursor]; B lymphocyte activation marker BLAST 1; B-lymphocyte activation marker BLAST-1; BCM 1 surface antigen; BCM1; BCM1 surface antigen; BCM1 surface antigen; BLAST 1; BLAST; BLAST1; BLAST1; CD 48; CD48 antigen(B cell membrane protein); CD48 antigen; CD48 molecule; CD48 protein; CD48_HUMAN; hCD48; Leucocyte antigen MEM 102; Leukocyte antigen MEM-102; mCD48; MEM 102; MEM102; SLAMF 2; TCT.1; TCT.1.
免疫原:KLH conjugated synthetic peptide derived from mouse CD48 (151-240/240aa)
预测反应性:Bovine, Porcine
分子量:45 kDa
应用稀释比例:IHC-P=1:100-500, IHC-F=1:100-500, IF=1:100-500, Flow-Cyt=1μg/Test
防腐剂:0.01M TBS (pH7.4) with 1% rAlbumin, 0.02% Proclin300 and 50% Glycerol.
纯化:Affinity purified by Protein A
保存说明:Maintain refrigerated at 2-8°C for up to 2 weeks. For long term storage store at -20°C in small aliquots to prevent freeze-thaw cycles.
Note:For research use only.

Blank control (blue): mouse spleen cells (fixed with 2% Fixative (10 min)). Primary Antibody: Rabbit Anti-CD48 antibody (orb1152083), Dilution: 1 µg in 100 µl 1X PBS containing 0.5% BSA, Isotype Control Antibody: Rabbit IgG (orange), used under the same conditions, Secondary Antibody: Goat anti-rabbit IgG-PE (white blue), Dilution: 1:200 in 1 X PBS containing 0.5% BSA.

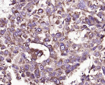
Fixative-fixed, paraffin embedded (human liver carcinoma), Antigen retrieval by boiling in sodium citrate buffer (pH6.0) for 15 min, Block endogenous peroxidase by 3% hydrogen peroxide for 20 minutes, Blocking buffer (normal goat serum) at 37°C for 30 min, Incubation with (KLK4 Rabbit pAb) Polyclonal Antibody, Unconjugated (orb1152083) at 1:200 overnight at 4°C, followed by operating according to SP Kit (Rabbit) instructionsand DAB staining.

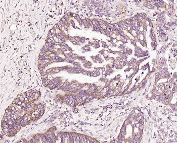
Fixative-fixed, paraffin embedded (human lung carcinoma), Antigen retrieval by boiling in sodium citrate buffer (pH6.0) for 15 min, Block endogenous peroxidase by 3% hydrogen peroxide for 20 minutes, Blocking buffer (normal goat serum) at 37°C for 30 min, Incubation with (KLK4 Rabbit pAb) Polyclonal Antibody, Unconjugated (orb1152083) at 1:200 overnight at 4°C, followed by operating according to SP Kit (Rabbit) instructionsand DAB staining.

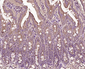
Fixative-fixed, paraffin embedded (rat intestine), Antigen retrieval by boiling in sodium citrate buffer (pH6.0) for 15 min, Block endogenous peroxidase by 3% hydrogen peroxide for 20 minutes, Blocking buffer (normal goat serum) at 37°C for 30 min, Incubation with (KLK4 Rabbit pAb) Polyclonal Antibody, Unconjugated (orb1152083) at 1:200 overnight at 4°C, followed by operating according to SP Kit (Rabbit) instructionsand DAB staining.
风险提示:丁香通仅作为第三方平台,为商家信息发布提供平台空间。用户咨询产品时请注意保护个人信息及财产安全,合理判断,谨慎选购商品,商家和用户对交易行为负责。对于医疗器械类产品,请先查证核实企业经营资质和医疗器械产品注册证情况。
技术资料暂无技术资料 索取技术资料
CD48 Rabbit Polyclonal Antibody抗体,orb1152083,biorbyt
¥3120










