相关产品推荐更多 >
万千商家帮你免费找货
0 人在求购买到急需产品
- 详细信息
- 技术资料
- 抗体名:
Tau-4 Mouse Monoclonal Antibody抗体
- 抗体英文名:
Tau-4 Mouse Monoclonal Antibody
- 靶点:
MAPT
- 浓度:
1mg/ml
- 应用范围:
IF, IHC-Fr, IHC-P, WB
- 宿主:
Mouse
- 适应物种:
Human, Mouse, Rat
- 保质期:
6-12个月
- 抗原来源:
详询
- 目录编号:
orb1152186
- 级别:
科研级
- 库存:
88
- 供应商:
biorbyt
- 标记物:
Unconjugated
- 克隆性:
Monoclonal
- 形态:
Liquid
- 亚型:
IgG3
- 免疫原:
Recombinant Human Tau-4 Protein (1-441/441aa)
- 规格:
50 ul
产品描述:Tau-4 Mouse Monoclonal Antibody
别名:MAPT; Microtuble-associted protein Tau; AI413597; AW045860; DDPAC; Disinhibition dementia parkinsonism amyotrophy complex; FLJ31424; FTDP 17; FTDP17; G Protein beta 1 gamma 2 subunit interacting factor 1; G protein beta1/gamma2 subunit interacting factor 1; MAPTL; MGC134287; MGC138549; MGC156663; Microtubule associated protein tau isoform 4; MSTD; Mtapt; MTBT1; MTBT2; Neurofibrillary tangle protein; Paired helical filament tau; PHF tau; PHF-tau; PPND; pTau; RNPTAU; Tauopathy and respiratory failure, included; microtubule-associated protein tau isoform 4; TAU_HUMAN; Isoform Tau-F; 2N4R
免疫原:Recombinant Human Tau-4 Protein (1-441/441aa)
克隆性:6E2
分子量:46/79 kDa
应用稀释比例:WB=1:500-2000, IHC-P=1:100-500, IHC-F=1:100-500, IF=1:100-500
防腐剂:0.01M TBS(pH7.4) with 1% rAlbumin, 0.02% Proclin300 and 50% Glycerol.
纯化:Affinity purified by Protein A
保存说明:Maintain refrigerated at 2-8°C for up to 2 weeks. For long term storage store at -20°C in small aliquots to prevent freeze-thaw cycles.
UniProt ID:P10636
Note:For research use only.





别名:MAPT; Microtuble-associted protein Tau; AI413597; AW045860; DDPAC; Disinhibition dementia parkinsonism amyotrophy complex; FLJ31424; FTDP 17; FTDP17; G Protein beta 1 gamma 2 subunit interacting factor 1; G protein beta1/gamma2 subunit interacting factor 1; MAPTL; MGC134287; MGC138549; MGC156663; Microtubule associated protein tau isoform 4; MSTD; Mtapt; MTBT1; MTBT2; Neurofibrillary tangle protein; Paired helical filament tau; PHF tau; PHF-tau; PPND; pTau; RNPTAU; Tauopathy and respiratory failure, included; microtubule-associated protein tau isoform 4; TAU_HUMAN; Isoform Tau-F; 2N4R
免疫原:Recombinant Human Tau-4 Protein (1-441/441aa)
克隆性:6E2
分子量:46/79 kDa
应用稀释比例:WB=1:500-2000, IHC-P=1:100-500, IHC-F=1:100-500, IF=1:100-500
防腐剂:0.01M TBS(pH7.4) with 1% rAlbumin, 0.02% Proclin300 and 50% Glycerol.
纯化:Affinity purified by Protein A
保存说明:Maintain refrigerated at 2-8°C for up to 2 weeks. For long term storage store at -20°C in small aliquots to prevent freeze-thaw cycles.
UniProt ID:P10636
Note:For research use only.

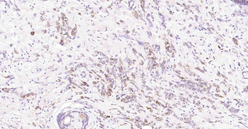
paraffin embedded Human Breast Cancer, Antigen retrieval by boiling in sodium citrate buffer (pH6.0) for 15 min, Antibody incubation with Human Tau-4 Monoclonal Antibody, Unconjugated (orb1152186) at 1:200overnight at 4°C, followed by conjugation to the SP Kit (Mouse) and DAB staining.

Fixative-fixed, paraffin embedded Human Breast, Antigen retrieval by boiling in sodium citrate buffer (pH6.0) for 15 min, Antibody incubation with Human Tau-4 Monoclonal Antibody, Unconjugated (orb1152186) at 1:200overnight at 4°C, followed by conjugation to the SP Kit (Mouse) and DAB staining.

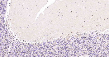
Fixative-fixed, paraffin embedded Human Cerebellum, Antigen retrieval by boiling in sodium citrate buffer (pH6.0) for 15 min, Antibody incubation with Human Tau-4 Monoclonal Antibody, Unconjugated (orb1152186) at 1:200overnight at 4°C, followed by conjugation to the SP Kit (Mouse) and DAB staining.

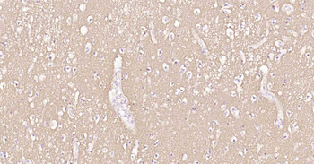
Fixative-fixed, paraffin embedded Human Cerebrum, Antigen retrieval by boiling in sodium citrate buffer (pH6.0) for 15 min, Antibody incubation with Human Tau-4 Monoclonal Antibody, Unconjugated (orb1152186) at 1:200overnight at 4°C, followed by conjugation to the SP Kit (Mouse) and DAB staining.

Fixative-fixed, paraffin embedded Human Colon, Antigen retrieval by boiling in sodium citrate buffer (pH6.0) for 15 min, Antibody incubation with Human Tau-4 Monoclonal Antibody, Unconjugated (orb1152186) at 1:200overnight at 4°C, followed by conjugation to the SP Kit (Mouse) and DAB staining.
风险提示:丁香通仅作为第三方平台,为商家信息发布提供平台空间。用户咨询产品时请注意保护个人信息及财产安全,合理判断,谨慎选购商品,商家和用户对交易行为负责。对于医疗器械类产品,请先查证核实企业经营资质和医疗器械产品注册证情况。
技术资料暂无技术资料 索取技术资料
Tau-4 Mouse Monoclonal Antibody抗体,orb1152186,biorbyt
¥3120








![PHKA1 antibody [C2C3], C-term抗体,orb556608,biorbyt](https://img1.dxycdn.com/p/s14/2025/1204/381/8001351760443146991.jpg!wh200)

