相关产品推荐更多 >
万千商家帮你免费找货
0 人在求购买到急需产品
- 详细信息
- 文献和实验
- 技术资料
- 抗体名:
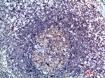
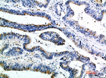
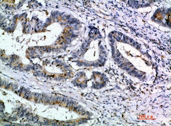
6CKine rabbit pAb抗体
- 抗体英文名:
6CKine rabbit pAb
- 浓度:
1 mg/ml
- 应用范围:
ELISA, IHC-P
- 适应物种:
Human, Mouse, Rat
- 保质期:
6-12个月
- 抗原来源:
详询
- 目录编号:
orb771605
- 级别:
科研级
- 库存:
88
- 供应商:
biorbyt
- 标记物:
Unconjugated
- 克隆性:
Polyclonal
- 亚型:
IgG
- 免疫原:
The antiserum was produced against synthesized peptide derived from the Internal region of human CCL21. AA range:71-120
- 规格:
50 ul
别名:Anti-C-C motif chemokine 21 (6Ckine) (Beta-chemokine exodus-2) (Secondary lymphoid-tissue chemokine) (SLC) (Small-inducible cytokine A21) antibody
免疫原:The antiserum was produced against synthesized peptide derived from the Internal region of human CCL21. AA range:71-120
应用稀释比例:IHC-p 1:50-200, ELISA 1:10000-20000
防腐剂:PBS with 0.02% sodium azide and 50% glycerol pH 7.4.
纯化:The antibody was affinity-purified from rabbit antiserum by affinity-chromatography using epitope-specific immunogen.
来源:Rabbit
保存说明:Maintain refrigerated at 2-8°C for up to 2 weeks. For long term storage store at -20°C in small aliquots to prevent freeze-thaw cycles.
Note:For research use only.




风险提示:丁香通仅作为第三方平台,为商家信息发布提供平台空间。用户咨询产品时请注意保护个人信息及财产安全,合理判断,谨慎选购商品,商家和用户对交易行为负责。对于医疗器械类产品,请先查证核实企业经营资质和医疗器械产品注册证情况。
文献和实验/3000 进口分装 F0040 CD23 ELISA 48T/96T 2000/3000 进口分装 F0041 可溶性细胞表面分化抗原40 配体 (sCD40L) ELISA 48T/96T 2000/3000 进口分装 F0042 环磷酸鸟苷(cGMP) ELISA 48T/96T 2000/3000 进口分装 F0043 6Ckine ELISA 48T/96T 2000/3000 进口分装 F0044 睫状神经营养因子(CNTF
/3000 进口分装 F0040 CD23 ELISA 48T/96T 2000/3000 进口分装 F0041 可溶性细胞表面分化抗原40 配体 (sCD40L) ELISA 48T/96T 2000/3000 进口分装 F0042 环磷酸鸟苷(cGMP) ELISA 48T/96T 2000/3000 进口分装 F0043 6Ckine ELISA 48T/96T 2000/3000 进口分装 F0044 睫状神经营养因子(CNTF
技术资料暂无技术资料 索取技术资料










