相关产品推荐更多 >
万千商家帮你免费找货
0 人在求购买到急需产品
- 详细信息
- 技术资料
- 抗体名:
Histone H3 (phospho Thr3) rabbit pAb抗体
- 抗体英文名:
Histone H3 (phospho Thr3) rabbit pAb
- 浓度:
1 mg/ml
- 应用范围:
ELISA, IHC-P, WB
- 适应物种:
Human, Mouse, Rat
- 保质期:
6-12个月
- 抗原来源:
详询
- 目录编号:
orb770561
- 级别:
科研级
- 库存:
88
- 供应商:
biorbyt
- 标记物:
Unconjugated
- 克隆性:
Polyclonal
- 亚型:
IgG
- 免疫原:
The antiserum was produced against synthesized peptide derived from human Histone H3 around the phosphorylation site of Thr3. AA range:1-50
- 规格:
50 ul
产品描述:Rabbit polyclonal antibody to Histone H3 (phospho-Thr3)
别名:Anti-HIST1H3A antibody, anti-H3FA antibody, anti-HIST1H3B antibody, anti-H3FL antibody, anti-HIST1H3C antibody, anti-H3FC antibody, anti-HIST1H3D antibody, anti-H3FB antibody, anti-HIST1H3E antibody, anti-H3FD antibody, anti-HIST1H3F antibody, anti-H3FI antibody, anti-HIST1H3G antibody, anti-H3FH antibody, anti-HIST1H3H antibody, anti-H3FK antibody, anti-HIST1H3I antibody, anti-H3FF antibody, anti-HIST1H3J antibody, anti-H3FJ antibody, anti-Histone H3.1 antibody, anti-Histone H3/a antibody, anti-Histone H3/b antibody
免疫原:The antiserum was produced against synthesized peptide derived from human Histone H3 around the phosphorylation site of Thr3. AA range:1-50
分子量:20
应用稀释比例:Western Blot: 1/500 - 1/2000. Immunohistochemistry: 1/100 - 1/300. ELISA: 1/5000. Not yet tested in other applications.
防腐剂:PBS with 0.02% sodium azide and 50% glycerol pH 7.4.
纯化:The antibody was affinity-purified from rabbit antiserum by affinity-chromatography using epitope-specific immunogen.
来源:Rabbit
保存说明:Maintain refrigerated at 2-8°C for up to 2 weeks. For long term storage store at -20°C in small aliquots to prevent freeze-thaw cycles.
Note:For research use only.


别名:Anti-HIST1H3A antibody, anti-H3FA antibody, anti-HIST1H3B antibody, anti-H3FL antibody, anti-HIST1H3C antibody, anti-H3FC antibody, anti-HIST1H3D antibody, anti-H3FB antibody, anti-HIST1H3E antibody, anti-H3FD antibody, anti-HIST1H3F antibody, anti-H3FI antibody, anti-HIST1H3G antibody, anti-H3FH antibody, anti-HIST1H3H antibody, anti-H3FK antibody, anti-HIST1H3I antibody, anti-H3FF antibody, anti-HIST1H3J antibody, anti-H3FJ antibody, anti-Histone H3.1 antibody, anti-Histone H3/a antibody, anti-Histone H3/b antibody
免疫原:The antiserum was produced against synthesized peptide derived from human Histone H3 around the phosphorylation site of Thr3. AA range:1-50
分子量:20
应用稀释比例:Western Blot: 1/500 - 1/2000. Immunohistochemistry: 1/100 - 1/300. ELISA: 1/5000. Not yet tested in other applications.
防腐剂:PBS with 0.02% sodium azide and 50% glycerol pH 7.4.
纯化:The antibody was affinity-purified from rabbit antiserum by affinity-chromatography using epitope-specific immunogen.
来源:Rabbit
保存说明:Maintain refrigerated at 2-8°C for up to 2 weeks. For long term storage store at -20°C in small aliquots to prevent freeze-thaw cycles.
Note:For research use only.

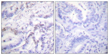
Immunohistochemistry analysis of paraffin-embedded human lung carcinoma, using Histone H3 (Phospho-Thr3) Antibody. The picture on the right is blocked with the phospho peptide.

Western blot analysis of lysates from HUVEC cells treated with Serum 20% 30', using Histone H3 (Phospho-Thr3) Antibody. The lane on the right is blocked with the phospho peptide.
风险提示:丁香通仅作为第三方平台,为商家信息发布提供平台空间。用户咨询产品时请注意保护个人信息及财产安全,合理判断,谨慎选购商品,商家和用户对交易行为负责。对于医疗器械类产品,请先查证核实企业经营资质和医疗器械产品注册证情况。
技术资料暂无技术资料 索取技术资料
Histone H3 (phospho Thr3) rabbit pAb抗体,orb770561,biorbyt
¥3250










