相关产品推荐更多 >

HEN2 rabbit pAb抗体,orb773446,biorbyt
¥3250
IL1RA Antibody / Interleukin-1 Receptor Antagonist / IL1RN 抗体,orb1823880,Biorbyt
¥5265
TIMP3 Antibody - N-terminal region : Biotin 抗体,orb2099077,Biorbyt
¥8216
HEY1 Antibody (aa215-264) 抗体,orb1536110,Biorbyt
¥8255
Zc3h10 Antibody - N-terminal region : Biotin 抗体,orb2097061,Biorbyt
¥8216
万千商家帮你免费找货
0 人在求购买到急需产品
- 详细信息
- 技术资料
- 抗体名:
CIDE-3 rabbit pAb抗体
- 抗体英文名:
CIDE-3 rabbit pAb
- 浓度:
1 mg/ml
- 应用范围:
ELISA, IF, IHC-P
- 适应物种:
Human, Mouse, Rat
- 保质期:
6-12个月
- 抗原来源:
详询
- 目录编号:
orb770016
- 级别:
科研级
- 库存:
88
- 供应商:
biorbyt
- 标记物:
Unconjugated
- 克隆性:
Polyclonal
- 亚型:
IgG
- 免疫原:
The antiserum was produced against synthesized peptide derived from human CIDEC. AA range:189-238
- 规格:
50 ul
产品描述:Rabbit polyclonal antibody to CIDE-3
别名:Anti-CIDEC antibody, anti-FSP27 antibody, anti-Cell death activator CIDE-3 antibody, anti-Cell death-inducing DFFA-like effector protein C antibody, anti-Fat-specific protein FSP27 homolog antibody
免疫原:The antiserum was produced against synthesized peptide derived from human CIDEC. AA range:189-238
分子量:27kD
应用稀释比例:Immunohistochemistry: 1/100 - 1/300. Immunofluorescence: 1/200 - 1/1000. ELISA: 1/5000. Not yet tested in other applications.
防腐剂:PBS with 0.02% sodium azide and 50% glycerol pH 7.4.
纯化:The antibody was affinity-purified from rabbit antiserum by affinity-chromatography using epitope-specific immunogen.
来源:Rabbit
保存说明:Maintain refrigerated at 2-8°C for up to 2 weeks. For long term storage store at -20°C in small aliquots to prevent freeze-thaw cycles.
Note:For research use only.


别名:Anti-CIDEC antibody, anti-FSP27 antibody, anti-Cell death activator CIDE-3 antibody, anti-Cell death-inducing DFFA-like effector protein C antibody, anti-Fat-specific protein FSP27 homolog antibody
免疫原:The antiserum was produced against synthesized peptide derived from human CIDEC. AA range:189-238
分子量:27kD
应用稀释比例:Immunohistochemistry: 1/100 - 1/300. Immunofluorescence: 1/200 - 1/1000. ELISA: 1/5000. Not yet tested in other applications.
防腐剂:PBS with 0.02% sodium azide and 50% glycerol pH 7.4.
纯化:The antibody was affinity-purified from rabbit antiserum by affinity-chromatography using epitope-specific immunogen.
来源:Rabbit
保存说明:Maintain refrigerated at 2-8°C for up to 2 weeks. For long term storage store at -20°C in small aliquots to prevent freeze-thaw cycles.
Note:For research use only.

Immunofluorescence analysis of HeLa cells, using CIDEC Antibody. The picture on the right is blocked with the synthesized peptide.

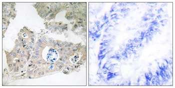
Immunohistochemistry analysis of paraffin-embedded human colon carcinoma tissue, using CIDEC Antibody. The picture on the right is blocked with the synthesized peptide.
风险提示:丁香通仅作为第三方平台,为商家信息发布提供平台空间。用户咨询产品时请注意保护个人信息及财产安全,合理判断,谨慎选购商品,商家和用户对交易行为负责。对于医疗器械类产品,请先查证核实企业经营资质和医疗器械产品注册证情况。
技术资料暂无技术资料 索取技术资料
CIDE-3 rabbit pAb抗体,orb770016,biorbyt
¥3250





