相关产品推荐更多 >

phospho-Fos B (Ser27) Antibody (BF594) 抗体,orb1601560,Biorbyt
¥4796
IL17F Antibody - N-terminal region : FITC 抗体,orb2144481,Biorbyt
¥8216
MPXV M1R Rabbit Polyclonal Antibody抗体,orb1291564,biorbyt
¥2080
MENT Antibody抗体,orb394803,biorbyt
¥3120
Mri1 Antibody - N-terminal region : Biotin 抗体,orb2130593,Biorbyt
¥7345
万千商家帮你免费找货
0 人在求购买到急需产品
- 详细信息
- 技术资料
- 抗体名:
TRIM59 rabbit pAb抗体
- 抗体英文名:
TRIM59 rabbit pAb
- 浓度:
1 mg/ml
- 应用范围:
ELISA, IF, IHC-P, WB
- 适应物种:
Human, Mouse
- 保质期:
6-12个月
- 抗原来源:
详询
- 目录编号:
orb768498
- 级别:
科研级
- 库存:
88
- 供应商:
biorbyt
- 标记物:
Unconjugated
- 克隆性:
Polyclonal
- 亚型:
IgG
- 免疫原:
The antiserum was produced against synthesized peptide derived from human TRIM59. AA range:191-240
- 规格:
50 ul
产品描述:Rabbit polyclonal antibody to TRIM59
别名:Anti-TRIM59 antibody, anti-RNF104 antibody, anti-TRIM57 antibody, anti-TSBF1 antibody, anti-Tripartite motif-containing protein 59 antibody, anti-RING finger protein 104 antibody, anti-Tumor suppressor TSBF-1 antibody
免疫原:The antiserum was produced against synthesized peptide derived from human TRIM59. AA range:191-240
分子量:47
应用稀释比例:Western Blot: 1/500 - 1/2000. Immunohistochemistry: 1/100 - 1/300. Immunofluorescence: 1/200 - 1/1000. ELISA: 1/40000. Not yet tested in other applications.
防腐剂:PBS with 0.02% sodium azide and 50% glycerol pH 7.4.
纯化:The antibody was affinity-purified from rabbit antiserum by affinity-chromatography using epitope-specific immunogen.
来源:Rabbit
保存说明:Maintain refrigerated at 2-8°C for up to 2 weeks. For long term storage store at -20°C in small aliquots to prevent freeze-thaw cycles.
Note:For research use only.




别名:Anti-TRIM59 antibody, anti-RNF104 antibody, anti-TRIM57 antibody, anti-TSBF1 antibody, anti-Tripartite motif-containing protein 59 antibody, anti-RING finger protein 104 antibody, anti-Tumor suppressor TSBF-1 antibody
免疫原:The antiserum was produced against synthesized peptide derived from human TRIM59. AA range:191-240
分子量:47
应用稀释比例:Western Blot: 1/500 - 1/2000. Immunohistochemistry: 1/100 - 1/300. Immunofluorescence: 1/200 - 1/1000. ELISA: 1/40000. Not yet tested in other applications.
防腐剂:PBS with 0.02% sodium azide and 50% glycerol pH 7.4.
纯化:The antibody was affinity-purified from rabbit antiserum by affinity-chromatography using epitope-specific immunogen.
来源:Rabbit
保存说明:Maintain refrigerated at 2-8°C for up to 2 weeks. For long term storage store at -20°C in small aliquots to prevent freeze-thaw cycles.
Note:For research use only.

Western Blot analysis of 3T3 cells using TRIM59 Polyclonal Antibody. Secondary antibody was diluted at 1:20000.

Immunofluorescence analysis of HeLa cells, using TRIM59 Antibody. The picture on the right is blocked with the synthesized peptide.

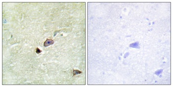
Immunohistochemistry analysis of paraffin-embedded human brain tissue, using TRIM59 Antibody. The picture on the right is blocked with the synthesized peptide.

Western blot analysis of lysates from NIH/3T3 cells, using TRIM59 Antibody. The lane on the right is blocked with the synthesized peptide.
风险提示:丁香通仅作为第三方平台,为商家信息发布提供平台空间。用户咨询产品时请注意保护个人信息及财产安全,合理判断,谨慎选购商品,商家和用户对交易行为负责。对于医疗器械类产品,请先查证核实企业经营资质和医疗器械产品注册证情况。
技术资料暂无技术资料 索取技术资料
TRIM59 rabbit pAb抗体,orb768498,biorbyt
¥3250






