相关产品推荐更多 >

Integrase interactor 1 Antibody / INI-1 / SMARCB1 / BAF47 抗体,orb1824014,Biorbyt
¥9932
Aacs Antibody - N-terminal region : FITC 抗体,orb2096838,Biorbyt
¥8216
PSMB8 Antibody抗体,orb1256454,biorbyt
¥10400
TLE4 Antibody - N-terminal region : HRP 抗体,orb2140427,Biorbyt
¥8216
Anti-Insulin receptor subunit beta/Cy5.5 抗体,orb1057425,Biorbyt
¥4796
万千商家帮你免费找货
0 人在求购买到急需产品
- 详细信息
- 技术资料
- 抗体名:
SF-1 rabbit pAb抗体
- 抗体英文名:
SF-1 rabbit pAb
- 浓度:
1 mg/ml
- 应用范围:
ELISA, WB
- 适应物种:
Human, Mouse, Rat
- 保质期:
6-12个月
- 抗原来源:
详询
- 目录编号:
orb768284
- 级别:
科研级
- 库存:
88
- 供应商:
biorbyt
- 标记物:
Unconjugated
- 克隆性:
Polyclonal
- 亚型:
IgG
- 免疫原:
The antiserum was produced against synthesized peptide derived from human NR5A1. AA range:169-218
- 规格:
50 ul
产品描述:Rabbit polyclonal antibody to SF-1
别名:Anti-NR5A1 antibody, anti-AD4BP antibody, anti-FTZF1 antibody, anti-SF1 antibody, anti-Steroidogenic factor 1 antibody, anti-SF-1 antibody, anti-STF-1 antibody, anti-Adrenal 4-binding protein antibody, anti-Fushi tarazu factor homolog 1 antibody, anti-Nuclear receptor subfamily 5 group A member 1 antibody, anti-Steroid hormone receptor Ad4BP antibody
免疫原:The antiserum was produced against synthesized peptide derived from human NR5A1. AA range:169-218
分子量:50
应用稀释比例:WB 1:500-2000;IHC-p 1:50-300; ELISA 2000-20000
防腐剂:PBS with 0.02% sodium azide and 50% glycerol pH 7.4.
纯化:The antibody was affinity-purified from rabbit antiserum by affinity-chromatography using epitope-specific immunogen.
来源:Rabbit
保存说明:Maintain refrigerated at 2-8°C for up to 2 weeks. For long term storage store at -20°C in small aliquots to prevent freeze-thaw cycles.
Note:For research use only.


别名:Anti-NR5A1 antibody, anti-AD4BP antibody, anti-FTZF1 antibody, anti-SF1 antibody, anti-Steroidogenic factor 1 antibody, anti-SF-1 antibody, anti-STF-1 antibody, anti-Adrenal 4-binding protein antibody, anti-Fushi tarazu factor homolog 1 antibody, anti-Nuclear receptor subfamily 5 group A member 1 antibody, anti-Steroid hormone receptor Ad4BP antibody
免疫原:The antiserum was produced against synthesized peptide derived from human NR5A1. AA range:169-218
分子量:50
应用稀释比例:WB 1:500-2000;IHC-p 1:50-300; ELISA 2000-20000
防腐剂:PBS with 0.02% sodium azide and 50% glycerol pH 7.4.
纯化:The antibody was affinity-purified from rabbit antiserum by affinity-chromatography using epitope-specific immunogen.
来源:Rabbit
保存说明:Maintain refrigerated at 2-8°C for up to 2 weeks. For long term storage store at -20°C in small aliquots to prevent freeze-thaw cycles.
Note:For research use only.

Western blot analysis of lysates from rat lung, using STF-1 Antibody. The lane on the right is blocked with the synthesized peptide.

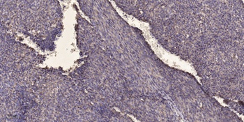
Immunohistochemical analysis of paraffin-embedded human Colon cancer. 1, Antibody was diluted at 1:200 (4°C overnight). 2, Tris-EDTA, pH9.0 was used for antigen retrieval. 3, Secondary antibody was diluted at 1:200 (room temperature, 45min).
风险提示:丁香通仅作为第三方平台,为商家信息发布提供平台空间。用户咨询产品时请注意保护个人信息及财产安全,合理判断,谨慎选购商品,商家和用户对交易行为负责。对于医疗器械类产品,请先查证核实企业经营资质和医疗器械产品注册证情况。
技术资料暂无技术资料 索取技术资料
SF-1 rabbit pAb抗体,orb768284,biorbyt
¥3250






