相关产品推荐更多 >
万千商家帮你免费找货
0 人在求购买到急需产品
- 详细信息
- 技术资料
- 抗体名:
COX5b rabbit pAb抗体
- 抗体英文名:
COX5b rabbit pAb
- 浓度:
1 mg/ml
- 应用范围:
ELISA, IHC-P
- 适应物种:
Human, Mouse, Rat
- 保质期:
6-12个月
- 抗原来源:
详询
- 目录编号:
orb767644
- 级别:
科研级
- 库存:
88
- 供应商:
biorbyt
- 标记物:
Unconjugated
- 克隆性:
Polyclonal
- 亚型:
IgG
- 免疫原:
The antiserum was produced against synthesized peptide derived from human COX5B. AA range:11-60
- 规格:
50 ul
产品描述:Rabbit polyclonal antibody to COX5b
别名:Anti-COX5B antibody, anti-Cytochrome c oxidase subunit 5B antibody, anti- mitochondrial antibody, anti-Cytochrome c oxidase polypeptide Vb antibody
免疫原:The antiserum was produced against synthesized peptide derived from human COX5B. AA range:11-60
分子量:14kD
应用稀释比例:Immunohistochemistry: 1/100 - 1/300. ELISA: 1/20000. Not yet tested in other applications.
防腐剂:PBS with 0.02% sodium azide and 50% glycerol pH 7.4.
纯化:The antibody was affinity-purified from rabbit antiserum by affinity-chromatography using epitope-specific immunogen.
来源:Rabbit
保存说明:Maintain refrigerated at 2-8°C for up to 2 weeks. For long term storage store at -20°C in small aliquots to prevent freeze-thaw cycles.
Note:For research use only.


别名:Anti-COX5B antibody, anti-Cytochrome c oxidase subunit 5B antibody, anti- mitochondrial antibody, anti-Cytochrome c oxidase polypeptide Vb antibody
免疫原:The antiserum was produced against synthesized peptide derived from human COX5B. AA range:11-60
分子量:14kD
应用稀释比例:Immunohistochemistry: 1/100 - 1/300. ELISA: 1/20000. Not yet tested in other applications.
防腐剂:PBS with 0.02% sodium azide and 50% glycerol pH 7.4.
纯化:The antibody was affinity-purified from rabbit antiserum by affinity-chromatography using epitope-specific immunogen.
来源:Rabbit
保存说明:Maintain refrigerated at 2-8°C for up to 2 weeks. For long term storage store at -20°C in small aliquots to prevent freeze-thaw cycles.
Note:For research use only.

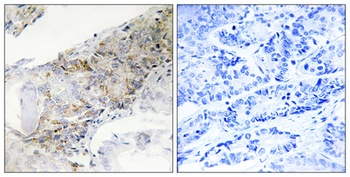
Immunohistochemistry analysis of paraffin-embedded human breast carcinoma tissue, using COX5B Antibody. The picture on the right is blocked with the synthesized peptide.

Western blot analysis of the lysates from HUVECcells using AS250 antibody.
风险提示:丁香通仅作为第三方平台,为商家信息发布提供平台空间。用户咨询产品时请注意保护个人信息及财产安全,合理判断,谨慎选购商品,商家和用户对交易行为负责。对于医疗器械类产品,请先查证核实企业经营资质和医疗器械产品注册证情况。
技术资料暂无技术资料 索取技术资料
COX5b rabbit pAb抗体,orb767644,biorbyt
¥3250










