相关产品推荐更多 >

progesterone receptor Antibody (BF405) 抗体,orb1574887,Biorbyt
¥4796
NAT8 Antibody抗体,orb1256200,biorbyt
¥10400
phospho-IKB alpha (Tyr305) Antibody (BF555) 抗体,orb1594742,Biorbyt
¥4796
CHST1 Antibody - middle region : HRP 抗体,orb2117999,Biorbyt
¥8216
Cytochrome C Rabbit Polyclonal Antibody抗体,orb221350,biorbyt
¥3120
万千商家帮你免费找货
0 人在求购买到急需产品
- 详细信息
- 技术资料
- 抗体名:
NFAT5 (phospho Ser1197) rabbit pAb抗体
- 抗体英文名:
NFAT5 (phospho Ser1197) rabbit pAb
- 浓度:
1 mg/ml
- 应用范围:
ELISA, IF
- 适应物种:
Human, Mouse
- 保质期:
6-12个月
- 抗原来源:
详询
- 目录编号:
orb767415
- 级别:
科研级
- 库存:
88
- 供应商:
biorbyt
- 标记物:
Unconjugated
- 克隆性:
Polyclonal
- 亚型:
IgG
- 免疫原:
The antiserum was produced against synthesized peptide derived from human NFAT5 around the phosphorylation site of Ser1197. AA range:1171-1220
- 规格:
50 ul
产品描述:Rabbit polyclonal antibody to NFAT5 (phospho-Ser1197)
别名:Anti-NFAT5 antibody, anti-KIAA0827 antibody, anti-TONEBP antibody, anti-Nuclear factor of activated T-cells 5 antibody, anti-NF-AT5 antibody, anti-T-cell transcription factor NFAT5 antibody, anti-Tonicity-responsive enhancer-binding protein antibody, anti-TonE-binding protein antibody, anti-TonEBP antibody
免疫原:The antiserum was produced against synthesized peptide derived from human NFAT5 around the phosphorylation site of Ser1197. AA range:1171-1220
分子量:166kD
应用稀释比例:WB 1:500-2000;IHC-p 1:50-300
防腐剂:PBS with 0.02% sodium azide and 50% glycerol pH 7.4.
纯化:The antibody was affinity-purified from rabbit antiserum by affinity-chromatography using epitope-specific immunogen.
来源:Rabbit
保存说明:Maintain refrigerated at 2-8°C for up to 2 weeks. For long term storage store at -20°C in small aliquots to prevent freeze-thaw cycles.
Note:For research use only.



别名:Anti-NFAT5 antibody, anti-KIAA0827 antibody, anti-TONEBP antibody, anti-Nuclear factor of activated T-cells 5 antibody, anti-NF-AT5 antibody, anti-T-cell transcription factor NFAT5 antibody, anti-Tonicity-responsive enhancer-binding protein antibody, anti-TonE-binding protein antibody, anti-TonEBP antibody
免疫原:The antiserum was produced against synthesized peptide derived from human NFAT5 around the phosphorylation site of Ser1197. AA range:1171-1220
分子量:166kD
应用稀释比例:WB 1:500-2000;IHC-p 1:50-300
防腐剂:PBS with 0.02% sodium azide and 50% glycerol pH 7.4.
纯化:The antibody was affinity-purified from rabbit antiserum by affinity-chromatography using epitope-specific immunogen.
来源:Rabbit
保存说明:Maintain refrigerated at 2-8°C for up to 2 weeks. For long term storage store at -20°C in small aliquots to prevent freeze-thaw cycles.
Note:For research use only.

Enzyme-Linked Immunosorbent Assay (Phospho-ELISA) for Immunogen Phosphopeptide (Phospho-left) and Non-Phosphopeptide (Phospho-right), using NFAT5 (Phospho-Ser1197) Antibody.

Immunofluorescence analysis of COS7 cells, using NFAT5 (Phospho-Ser1197) Antibody. The picture on the right is blocked with the phospho peptide.

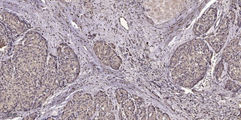
Immunohistochemical analysis of paraffin-embedded human liver cancer. 1, Antibody was diluted at 1:200 (4°C overnight). 2, Tris-EDTA, pH9.0 was used for antigen retrieval. 3, Secondary antibody was diluted at 1:200 (room temperature, 45min).
风险提示:丁香通仅作为第三方平台,为商家信息发布提供平台空间。用户咨询产品时请注意保护个人信息及财产安全,合理判断,谨慎选购商品,商家和用户对交易行为负责。对于医疗器械类产品,请先查证核实企业经营资质和医疗器械产品注册证情况。
技术资料暂无技术资料 索取技术资料
NFAT5 (phospho Ser1197) rabbit pAb抗体,orb767415,biorbyt
¥3250





