相关产品推荐更多 >

Kallistatin rabbit pAb抗体,orb766821,biorbyt
¥3250
EPN3 Antibody (N-term) 抗体,orb1930013,Biorbyt
¥7293
Histone H3 (Nuclear Loading Control) Antibody (BF350) 抗体,orb1593087,Biorbyt
¥4796
Goat Anti-Human IgG+IgM+IgA - Cy7 抗体,orb1786299,Biorbyt
¥1958
phospho-IKB alpha (Ser32) Antibody (Cy7) 抗体,orb1601705,Biorbyt
¥4796
万千商家帮你免费找货
0 人在求购买到急需产品
- 详细信息
- 文献和实验
- 技术资料
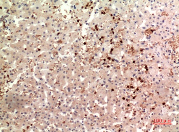
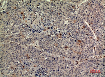
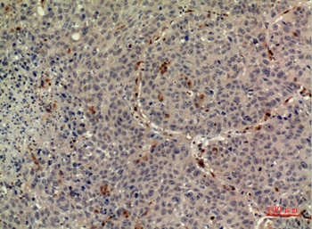
- 抗体名:
TPO rabbit pAb抗体
- 抗体英文名:
TPO rabbit pAb
- 浓度:
1 mg/ml
- 应用范围:
ELISA, IHC-P, WB
- 适应物种:
Human, Mouse, Rat
- 保质期:
6-12个月
- 抗原来源:
详询
- 目录编号:
orb767018
- 级别:
科研级
- 库存:
88
- 供应商:
biorbyt
- 标记物:
Unconjugated
- 克隆性:
Polyclonal
- 亚型:
IgG
- 免疫原:
The antiserum was produced against synthesized peptide derived from the Internal region of human THPO. AA range:41-90
- 规格:
50 ul
别名:Anti-THPO antibody, anti-MGDF antibody, anti-Thrombopoietin antibody, anti-C-mpl ligand antibody, anti-ML antibody, anti-Megakaryocyte colony-stimulating factor antibody, anti-Megakaryocyte growth and development factor antibody, anti-MGDF antibody, anti-Myeloproliferative leukemia virus oncogene ligand antibody
免疫原:The antiserum was produced against synthesized peptide derived from the Internal region of human THPO. AA range:41-90
分子量:38
应用稀释比例:Western Blot: 1/500 - 1/2000. IHC-p: 1/100-1/300. ELISA: 1/20000. Not yet tested in other applications.
防腐剂:PBS with 0.02% sodium azide and 50% glycerol pH 7.4.
纯化:The antibody was affinity-purified from rabbit antiserum by affinity-chromatography using epitope-specific immunogen.
来源:Rabbit
保存说明:Maintain refrigerated at 2-8°C for up to 2 weeks. For long term storage store at -20°C in small aliquots to prevent freeze-thaw cycles.
Note:For research use only.




风险提示:丁香通仅作为第三方平台,为商家信息发布提供平台空间。用户咨询产品时请注意保护个人信息及财产安全,合理判断,谨慎选购商品,商家和用户对交易行为负责。对于医疗器械类产品,请先查证核实企业经营资质和医疗器械产品注册证情况。
文献和实验) ELISA 48T/96T 2000/3000 进口分装 F0045 人COX-2 ELISA 48T/96T 2000/3000 进口分装 F0046 ★ 粒细胞集落刺激因子(G-CSF) ELISA 48T/96T 1200/2000 进口分装 F0047 ★ 粒细胞- 巨噬细胞集落刺激因子 (GM-CSF) ELISA 48T/96T 1200/2000 进口分装 F0048 粒细胞- 巨噬细胞集落刺激因子抗体 (GM-CSF Ab
) ELISA 48T/96T 2000/3000 进口分装 F0045 人COX-2 ELISA 48T/96T 2000/3000 进口分装 F0046 ★ 粒细胞集落刺激因子(G-CSF) ELISA 48T/96T 1200/2000 进口分装 F0047 ★ 粒细胞- 巨噬细胞集落刺激因子 (GM-CSF) ELISA 48T/96T 1200/2000 进口分装 F0048 粒细胞- 巨噬细胞集落刺激因子抗体 (GM-CSF Ab
Transplantation Models to Characterize the Mechanisms of Stem Cell–Induced Islet Regeneration
‐3 ligand, SCF, and TPO EGM2‐Bulletkit (to prepare ECFC expansion medium; Lonza, cat. no. CC‐3162) including: EBM
技术资料暂无技术资料 索取技术资料






